Skip to main content

Histone H4 [Trimethyl Lys20] Antibody

Novus Biologicals, part of Bio-Techne | Catalog # NBP2-42862

Novus Biologicals, part of Bio-Techne
Catalog #
Availability
Size / Price
Qty
Loading...
NBP2-42862

Key Product Details

Species Reactivity

Validated:

Human, Mouse, Rat

Predicted:

Xenopus (100%). Backed by our 100% Guarantee.

Applications

Immunohistochemistry, Immunohistochemistry-Paraffin, Western Blot, Immunocytochemistry/ Immunofluorescence, Dot Blot

Label

Unconjugated

Antibody Source

Polyclonal Rabbit IgG

Concentration

Concentrations vary lot to lot. See vial label for concentration. If unlisted please contact technical services.

Product Specifications

Immunogen

Carrier-protein conjugated synthetic peptide surrounding tri-methyl Lys20 of human Histone H4. The exact sequence is proprietary.

Modification

Trimethyl Lys20

Clonality

Polyclonal

Host

Rabbit

Isotype

IgG

Description

Novus Biologicals Rabbit Histone H4 [Trimethyl Lys20] Antibody (NBP2-42862) is a polyclonal antibody validated for use in IHC, WB and ICC/IF. All Novus Biologicals antibodies are covered by our 100% guarantee.

Scientific Data Images for Histone H4 [Trimethyl Lys20] Antibody

Western Blot: Histone H4 [Trimethyl Lys20] Antibody [NBP2-42862]

Western Blot: Histone H4 [Trimethyl Lys20] Antibody [NBP2-42862]

Western Blot: Histone H4 [Trimethyl Lys20] Antibody [NBP2-42862] - Analysis of A. 30 ug HeLa whole cell lysate/extract B. 30 ug HeLa nuclear lysate/extract 15 % SDS-PAGE Histone H4 (tri methyl Lys20) antibody dilution: 1:2000
Immunocytochemistry/Immunofluorescence: Histone H4 [Trimethyl Lys20] Antibody [NBP2-42862] - Analysis of HeLa cells were fixed in 4% paraformaldehyde at RT for 15 min. Green: Histone H4 (tri methyl Lys20) protein stained by Histone H4 (tri methyl Lys20) antibody diluted at 1:500. Red: alpha Tubulin antibody [114], a cytoskeleton marker, stained by diluted at 1:500. Blue: Hoechst 33342 staining.
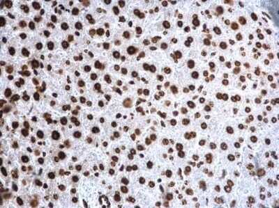
Immunohistochemistry-Paraffin: Histone H4 [Trimethyl Lys20] Antibody [NBP2-42862]

Immunohistochemistry-Paraffin: Histone H4 [Trimethyl Lys20] Antibody [NBP2-42862]

Immunohistochemistry-Paraffin: Histone H4 [Trimethyl Lys20] Antibody [NBP2-42862] - Analysis of rat fore brain. Histone H4K20me3 (trimethyl Lys20) antibody dilution: 1:500.

Applications for Histone H4 [Trimethyl Lys20] Antibody

Application
Recommended Usage

Dot Blot

1:500

Immunocytochemistry/ Immunofluorescence

1:100-1:1000

Immunohistochemistry-Paraffin

1:100-1:1000

Western Blot

1:500-1:3000

Formulation, Preparation, and Storage

Purification

Antigen Affinity-purified

Formulation

PBS, 1% BSA, 20% Glycerol

Preservative

0.01% Thimerosal

Concentration

Concentrations vary lot to lot. See vial label for concentration. If unlisted please contact technical services.

Shipping

The product is shipped with polar packs. Upon receipt, store it immediately at the temperature recommended below.

Stability & Storage

Aliquot and store at -20C or -80C. Avoid freeze-thaw cycles.

Background: Histone H4

Histone proteins H3, H4, H2A, and H2B function as building blocks to package eukaryotic DNA into repeating nucleosome units that are folded in higher order chromatin fibers. The nucleosome is composed of an octamer containing a H3/H4 tetramer and two H2A/H2B dimers, surrounded by approximately 146 base pairs of DNA. A diverse and elaborate array of post-translational modifications including acetylation, phosphorylation, methylation, ubiquitination, and ADP-ribosylation occurs on the N-terminal tail domains of histones. Methylation of position-specific lysine residues in histone N termini is a central modification for regulating epigenetic transitions in chromatin. Each methylatable lysine residue can exist in a mono, di, or tri methylated state. Arginine resdiues can also by mono or di methylated.

Alternate Names

H4, H4/M, H4FM, H4M, HIST1H4I, HIST4H4, Histone Cluster 1 H4, Histone Cluster 1 H4i, Histone Cluster 4 H4, H4K20Me3

Gene Symbol

H4C16

Additional Histone H4 Products

Product Documents for Histone H4 [Trimethyl Lys20] Antibody

Certificate of Analysis

To download a Certificate of Analysis, please enter a lot number in the search box below.

Product Specific Notices for Histone H4 [Trimethyl Lys20] Antibody

This product is for research use only and is not approved for use in humans or in clinical diagnosis. Primary Antibodies are guaranteed for 1 year from date of receipt.

Loading...
Loading...
Loading...
Loading...

⚠ WARNING: This product can expose you to chemicals including mercury, which is known to the State of California to cause reproductive toxicity with developmental effects.  For more information go to www.P65Warnings.ca.gov.