Skip to main content

Histone H4 [ac Lys8] Antibody (PS01-25)

Novus Biologicals, part of Bio-Techne | Catalog # NBP3-32432

Recombinant Monoclonal Antibody
Novus Biologicals, part of Bio-Techne
Catalog #
Availability
Size / Price
Qty
Loading...
NBP3-32432

Key Product Details

Species Reactivity

Human, Mouse, Rat

Applications

Immunohistochemistry, Immunohistochemistry-Paraffin, Western Blot, Immunocytochemistry/ Immunofluorescence

Label

Unconjugated

Antibody Source

Recombinant Monoclonal Rabbit IgG Clone # PS01-25 expressed in HEK293

Concentration

1 mg/ml

Product Specifications

Immunogen

Synthetic peptide within Human Histone H4 aa 1-20 (ac Lys 8). (Uniprot: P62805)

Modification

ac Lys 8

Localization

Nucleus. Chromosome.

Clonality

Monoclonal

Host

Rabbit

Isotype

IgG

Theoretical MW

11 kDa.
Disclaimer note: The observed molecular weight of the protein may vary from the listed predicted molecular weight due to post translational modifications, post translation cleavages, relative charges, and other experimental factors.

Description

Novus Biologicals Rabbit Histone H4 [ac Lys8] Antibody (PS01-25) (NBP3-32432) is a recombinant monoclonal antibody validated for use in IHC, WB and ICC/IF. All Novus Biologicals antibodies are covered by our 100% guarantee.

Scientific Data Images for Histone H4 [ac Lys8] Antibody (PS01-25)

Histone H4 [ac Lys8] Antibody (PS01-25)

Western Blot: Histone H4 [ac Lys8] Antibody (PS01-25) [NBP3-32432]

Western Blot: Histone H4 [ac Lys8] Antibody (PS01-25) [NBP3-32432] - Western blot analysis of Histone H4 on different lysates with Rabbit anti-Histone H4 antibody (NBP3-32432) at 1/500 dilution.

Lane 1: Hela cell lysate, 10 ug/Lane
Lane 2: NIH/3T3 cell lysate, 10 ug/Lane
Lane 3: PC-12 cell lysate, 10 ug/Lane

Predicted band size: 11 kDa
Observed band size: 14/16 kDa

Exposure time: 2 minutes;

15% SDS-PAGE gel.

Proteins were transferred to a PVDF membrane and blocked with 5% NFDM/TBST for 1 hour at room temperature. The primary antibody (NBP3-32432) at 1/500 dilution was used in 5% NFDM/TBST at room temperature for 2 hours. Goat Anti-Rabbit IgG - HRP Secondary Antibody at 1:300,000 dilution was used for 1 hour at room temperature.
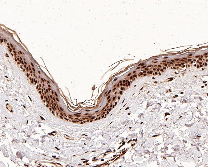
Histone H4 [ac Lys8] Antibody (PS01-25)

Immunohistochemistry: Histone H4 [ac Lys8] Antibody (PS01-25) [NBP3-32432]

Immunohistochemistry: Histone H4 [ac Lys8] Antibody (PS01-25) [NBP3-32432] - Immunohistochemical analysis of paraffin-embedded human skin tissue with Rabbit anti-Histone H4 antibody (NBP3-32432) at 1/1,000 dilution.

The section was pre-treated using heat mediated antigen retrieval with sodium citrate buffer (pH 6.0) for 2 minutes. The tissues were blocked in 1% BSA for 20 minutes at room temperature, washed with ddH2O and PBS, and then probed with the primary antibody (NBP3-32432) at 1/1,000 dilution for 1 hour at room temperature. The detection was performed using an HRP conjugated compact polymer system. DAB was used as the chromogen. Tissues were counterstained with hematoxylin and mounted with DPX.
Histone H4 [ac Lys8] Antibody (PS01-25)

Immunocytochemistry/ Immunofluorescence: Histone H4 [ac Lys8] Antibody (PS01-25) [NBP3-32432]

Immunocytochemistry/ Immunofluorescence: Histone H4 [ac Lys8] Antibody (PS01-25) [NBP3-32432] - Immunocytochemistry analysis of PC-12 cells labeling Histone H4 with Rabbit anti-Histone H4 antibody (NBP3-32432) at 1/50 dilution.

Cells were fixed in 4% paraformaldehyde for 10 minutes at 37 ℃, permeabilized with 0.05% Triton X-100 in PBS for 20 minutes, and then blocked with 2% negative goat serum for 30 minutes at room temperature. Cells were then incubated with Rabbit anti-Histone H4 antibody (NBP3-32432) at 1/50 dilution in 2% negative goat serum overnight at 4 ℃. Goat Anti-Rabbit IgG H&L (iFluor™ 488) was used as the secondary antibody at 1/1,000 dilution. PBS instead of the primary antibody was used as the secondary antibody only control. Nuclear DNA was labelled in blue with DAPI.

Applications for Histone H4 [ac Lys8] Antibody (PS01-25)

Application
Recommended Usage

Immunocytochemistry/ Immunofluorescence

1:50

Immunohistochemistry-Paraffin

1:1000-1:5000

Western Blot

1:1000

Formulation, Preparation, and Storage

Purification

Protein A purified

Formulation

PBS (pH7.4), 0.1% BSA and 40% Glycerol

Preservative

0.05% Sodium Azide

Concentration

1 mg/ml

Shipping

The product is shipped with polar packs. Upon receipt, store it immediately at the temperature recommended below.

Stability & Storage

Store at 4C short term. Aliquot and store at -20C long term. Avoid freeze-thaw cycles.

Background: Histone H4

Histone proteins H3, H4, H2A, and H2B function as building blocks to package eukaryotic DNA into repeating nucleosome units that are folded in higher order chromatin fibers. The nucleosome is composed of an octamer containing a H3/H4 tetramer and two H2A/H2B dimers, surrounded by approximately 146 base pairs of DNA. A diverse and elaborate array of post-translational modifications including acetylation, phosphorylation, methylation, ubiquitination, and ADP-ribosylation occurs on the N-terminal tail domains of histones. Methylation of position-specific lysine residues in histone N termini is a central modification for regulating epigenetic transitions in chromatin. Each methylatable lysine residue can exist in a mono, di, or tri methylated state. Arginine resdiues can also by mono or di methylated.

Alternate Names

H4, H4/M, H4FM, H4M, HIST1H4I, HIST4H4, Histone Cluster 1 H4, Histone Cluster 1 H4i, Histone Cluster 4 H4

Gene Symbol

H4C16

Additional Histone H4 Products

Product Documents for Histone H4 [ac Lys8] Antibody (PS01-25)

Certificate of Analysis

To download a Certificate of Analysis, please enter a lot number in the search box below.

Product Specific Notices for Histone H4 [ac Lys8] Antibody (PS01-25)

This product is for research use only and is not approved for use in humans or in clinical diagnosis. Primary Antibodies are guaranteed for 1 year from date of receipt.

Loading...
Loading...
Loading...
Loading...