Skip to main content

Histone H4 [ac Lys8] Antibody (GT478) - Azide and BSA Free

Novus Biologicals, part of Bio-Techne | Catalog # NBP3-13539

Novus Biologicals, part of Bio-Techne
Catalog #
Availability
Size / Price
Qty
Loading...
NBP3-13539

Key Product Details

Validated by

Biological Validation

Species Reactivity

Validated:

Human, Mouse, Rat

Predicted:

Xenopus (100%). Backed by our 100% Guarantee.

Applications

Immunohistochemistry, Immunohistochemistry-Paraffin, Western Blot, Immunocytochemistry/ Immunofluorescence

Label

Unconjugated

Antibody Source

Monoclonal Mouse IgG3 Clone # GT478

Format

Azide and BSA Free

Concentration

Concentrations vary lot to lot. See vial label for concentration. If unlisted please contact technical services.

Product Specifications

Immunogen

Carrier-protein conjugated synthetic peptide surrounding acetyl Lys8 of human Histone H4. The exact sequence is proprietary.

Modification

ac Lys 8

Clonality

Monoclonal

Host

Mouse

Isotype

IgG3

Description

Centrifuge briefly prior to opening.

Scientific Data Images for Histone H4 [ac Lys8] Antibody (GT478) - Azide and BSA Free

Western Blot: Histone H4 [ac Lys8] Antibody (GT478) [NBP3-13539] - Untreated (-) and treated (+) HeLa whole cell extracts (30 ug) were separated by 15% SDS-PAGE, and the membrane was blotted with Histone H4 (acetyl Lys8) antibody (NBP3-13539) diluted at 1:1000.
Immunocytochemistry/Immunofluorescence: Histone H4 [ac Lys8] Antibody (GT478) [NBP3-13539] - Histone H4 (acetyl Lys8) antibody [GT478] detects Histone H4 (acetyl Lys8) protein at nucleus by immunofluorescent analysis. Sample: HeLa cells were fixed in 4% paraformaldehyde at RT for 15 min. Green: Histone H4 (acetyl Lys8) protein stained by Histone H4 (acetyl Lys8) antibody [GT478] (NBP3-13539) diluted at 1:400. Red: alpha Tubulin, a cytoskeleton marker, stained by alpha Tubulin antibody (NBP2-20759) diluted at 1:300. Scale bar = 10 um.
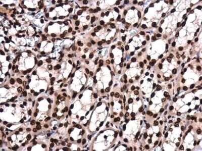
Immunohistochemistry-Paraffin: Histone H4 [ac Lys8] Antibody (GT478) [NBP3-13539] - Histone H4 (acetyl Lys8) antibody [GT478] detects Histone H4 (acetyl Lys8) protein at cytoplasm and nucleus in rat kidney by immunohistochemical analysis. Sample: Paraffin-embedded rat kidney. Histone H4 (acetyl Lys8) antibody [GT478] (NBP3-13539) diluted at 1:200. Antigen Retrieval: Citrate buffer, pH 6.0, 15 min

Applications for Histone H4 [ac Lys8] Antibody (GT478) - Azide and BSA Free

Application
Recommended Usage

Immunocytochemistry/ Immunofluorescence

Optimal dilutions of this antibody should be experimentally determined.

Immunohistochemistry

Optimal dilutions of this antibody should be experimentally determined.

Immunohistochemistry-Paraffin

Optimal dilutions of this antibody should be experimentally determined.

Western Blot

Optimal dilutions of this antibody should be experimentally determined.

Formulation, Preparation, and Storage

Purification

Protein G purified

Formulation

PBS

Format

Azide and BSA Free

Preservative

No Preservative

Concentration

Concentrations vary lot to lot. See vial label for concentration. If unlisted please contact technical services.

Shipping

The product is shipped with polar packs. Upon receipt, store it immediately at the temperature recommended below.

Stability & Storage

Store at 4C short term. Aliquot and store at -20C long term. Avoid freeze-thaw cycles.

Background: Histone H4

Histone proteins H3, H4, H2A, and H2B function as building blocks to package eukaryotic DNA into repeating nucleosome units that are folded in higher order chromatin fibers. The nucleosome is composed of an octamer containing a H3/H4 tetramer and two H2A/H2B dimers, surrounded by approximately 146 base pairs of DNA. A diverse and elaborate array of post-translational modifications including acetylation, phosphorylation, methylation, ubiquitination, and ADP-ribosylation occurs on the N-terminal tail domains of histones. Methylation of position-specific lysine residues in histone N termini is a central modification for regulating epigenetic transitions in chromatin. Each methylatable lysine residue can exist in a mono, di, or tri methylated state. Arginine resdiues can also by mono or di methylated.

Alternate Names

H4, H4/M, H4FM, H4M, HIST1H4I, HIST4H4, Histone Cluster 1 H4, Histone Cluster 1 H4i, Histone Cluster 4 H4

Gene Symbol

H4C16

Additional Histone H4 Products

Product Documents for Histone H4 [ac Lys8] Antibody (GT478) - Azide and BSA Free

Certificate of Analysis

To download a Certificate of Analysis, please enter a lot number in the search box below.

Product Specific Notices for Histone H4 [ac Lys8] Antibody (GT478) - Azide and BSA Free

This product is for research use only and is not approved for use in humans or in clinical diagnosis. Primary Antibodies are guaranteed for 1 year from date of receipt.

Loading...
Loading...
Loading...
Loading...