Skip to main content

Histone H4 [ac Lys16] Antibody (1271) - Azide and BSA Free

Novus Biologicals, part of Bio-Techne | Catalog # NBP2-42858

Novus Biologicals, part of Bio-Techne
Catalog #
Availability
Size / Price
Qty
Loading...
NBP2-42858

Key Product Details

Validated by

Biological Validation

Species Reactivity

Human, Mouse, Rat

Applications

Immunocytochemistry/ Immunofluorescence, Immunohistochemistry, Immunohistochemistry-Paraffin, Western Blot

Label

Unconjugated

Antibody Source

Monoclonal Mouse IgG2A Clone # 1271

Format

Azide and BSA Free

Concentration

Concentrations vary lot to lot. See vial label for concentration. If unlisted please contact technical services.

Product Specifications

Immunogen

Carrier-protein conjugated synthetic peptide surrounding acetyl Lys16 of human Histone H4. The exact sequence is proprietary.

Modification

ac Lys16

Clonality

Monoclonal

Host

Mouse

Isotype

IgG2A

Theoretical MW

11 kDa.
Disclaimer note: The observed molecular weight of the protein may vary from the listed predicted molecular weight due to post translational modifications, post translation cleavages, relative charges, and other experimental factors.

Description

Novus Biologicals Mouse Histone H4 [ac Lys16] Antibody (1271) - Azide and BSA Free (NBP2-42858) is a monoclonal antibody validated for use in IHC, WB and ICC/IF. All Novus Biologicals antibodies are covered by our 100% guarantee.

Scientific Data Images for Histone H4 [ac Lys16] Antibody (1271) - Azide and BSA Free

Western Blot: Histone H4 [ac Lys16] Antibody (1271) [NBP2-42858] - Analysis of Un-treated (-) and treated (+, 0.4uM Trichostatin A treatment for 18hr) HeLa whole cell extracts (30 ug) were separated by 15% SDS-PAGE, and the membrane was blotted with Histone H4 (acetyl Lys16) antibody.
Immunocytochemistry/Immunofluorescence: Histone H4 [ac Lys16] Antibody (1271) [NBP2-42858] - Analysis of Sample: HeLa cells were fixed in 4% paraformaldehyde at RT for 15 min. Green: Histone H4 (acetyl Lys16) protein stained by Histone H4 (acetyl Lys16) antibody [1271] diluted at 1:500. Red: phalloidin, a cytoskeleton marker, diluted at 1:200. Blue: Hoechst 33342 staining.
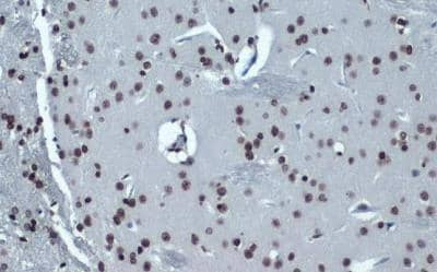
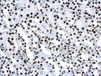
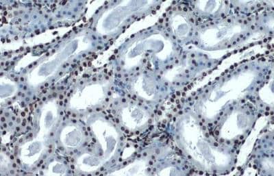
Immunohistochemistry-Paraffin: Histone H4 [ac Lys16] Antibody (1271) [NBP2-42858] - Rat kidney. Histone H4K16ac (Acetyl Lys16) stained by Histone H4K16ac (Acetyl Lys16) antibody [1271] diluted at 1:500. Antigen Retrieval: Citrate buffer, pH 6.0, 15 min.

Applications for Histone H4 [ac Lys16] Antibody (1271) - Azide and BSA Free

Application
Recommended Usage

Immunocytochemistry/ Immunofluorescence

1:100-1:1000

Immunohistochemistry

1:100-1:1000

Immunohistochemistry-Paraffin

1:100-1:1000

Western Blot

1:500-1:3000

Formulation, Preparation, and Storage

Purification

Protein A purified

Formulation

PBS

Format

Azide and BSA Free

Preservative

No Preservative

Concentration

Concentrations vary lot to lot. See vial label for concentration. If unlisted please contact technical services.

Shipping

The product is shipped with polar packs. Upon receipt, store it immediately at the temperature recommended below.

Stability & Storage

Aliquot and store at -20C or -80C. Avoid freeze-thaw cycles.

Background: Histone H4

Histone proteins H3, H4, H2A, and H2B function as building blocks to package eukaryotic DNA into repeating nucleosome units that are folded in higher order chromatin fibers. The nucleosome is composed of an octamer containing a H3/H4 tetramer and two H2A/H2B dimers, surrounded by approximately 146 base pairs of DNA. A diverse and elaborate array of post-translational modifications including acetylation, phosphorylation, methylation, ubiquitination, and ADP-ribosylation occurs on the N-terminal tail domains of histones. Methylation of position-specific lysine residues in histone N termini is a central modification for regulating epigenetic transitions in chromatin. Each methylatable lysine residue can exist in a mono, di, or tri methylated state. Arginine resdiues can also by mono or di methylated.

Alternate Names

H4, H4/M, H4FM, H4M, HIST1H4I, HIST4H4, Histone Cluster 1 H4, Histone Cluster 1 H4i, Histone Cluster 4 H4, H4K16ac

Gene Symbol

H4C16

Additional Histone H4 Products

Product Documents for Histone H4 [ac Lys16] Antibody (1271) - Azide and BSA Free

Certificate of Analysis

To download a Certificate of Analysis, please enter a lot number in the search box below.

Product Specific Notices for Histone H4 [ac Lys16] Antibody (1271) - Azide and BSA Free

This product is for research use only and is not approved for use in humans or in clinical diagnosis. Primary Antibodies are guaranteed for 1 year from date of receipt.

Loading...
Loading...
Loading...
Loading...