Skip to main content

Histone H3.3B Antibody

Novus Biologicals, part of Bio-Techne | Catalog # NBP3-48508

Novus Biologicals, part of Bio-Techne
Catalog #
Availability
Size / Price
Qty
Loading...
NBP3-48508

Key Product Details

Species Reactivity

Human, Mouse, Rat

Applications

Immunohistochemistry, Immunohistochemistry-Paraffin, Western Blot, Immunocytochemistry/ Immunofluorescence

Label

Unconjugated

Antibody Source

Polyclonal Rabbit IgG

Concentration

Concentrations vary lot to lot. See vial label for concentration. If unlisted please contact technical services.

Product Specifications

Immunogen

Full length human Histone H3.3B Recombinant protein.

Clonality

Polyclonal

Host

Rabbit

Isotype

IgG

Description

Novus Biologicals Rabbit Histone H3.3B Antibody (NBP3-48508) is a polyclonal antibody validated for use in IHC, WB and ICC/IF. All Novus Biologicals antibodies are covered by our 100% guarantee.

Scientific Data Images for Histone H3.3B Antibody

Histone H3.3B Antibody

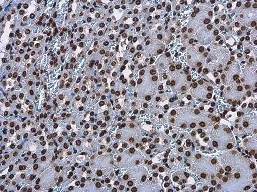
Immunohistochemistry-Paraffin: Histone H3.3B Antibody [NBP3-48508] -

Histone H3.3B antibody detects Histone H3.3B protein at nucleus in mouse muscle by immunohistochemical analysis.
Sample: Paraffin-embedded mouse muscle.
Histone H3.3B antibody (NBP3-48508) diluted at 1:500.
^[^GTX]br>Antigen Retrieval: Citrate buffer, pH 6.0, 15 min
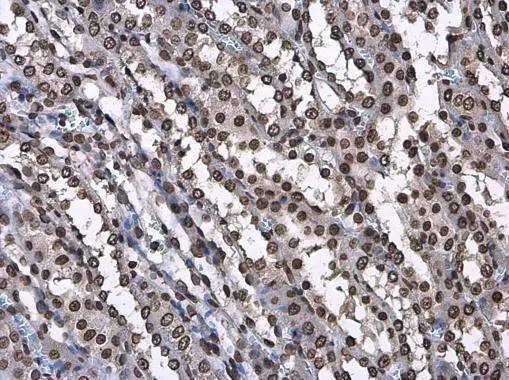
Histone H3.3B Antibody

Immunohistochemistry-Paraffin: Histone H3.3B Antibody [NBP3-48508] -

Histone H3.3B antibody detects Histone H3.3B protein at nucleus in rat kidney by immunohistochemical analysis.
Sample: Paraffin-embedded rat kidney.
Histone H3.3B antibody (NBP3-48508) diluted at 1:500.
^[^GTX]br>Antigen Retrieval: Citrate buffer, pH 6.0, 15 min
Histone H3.3B Antibody

Immunohistochemistry: Histone H3.3B Antibody [NBP3-48508] -

Histone H3.3B antibody detects Histone H3.3B protein at nucleus on mouse prostate by immunohistochemical analysis.
Sample: Paraffin-embedded mouse prostate.
Histone H3.3B antibody (NBP3-48508) dilution: 1:500.


Antigen Retrieval: (EDTA based, pH 8.0) buffer, 15min

Applications for Histone H3.3B Antibody

Application
Recommended Usage

Immunocytochemistry/ Immunofluorescence

1:100-1:1000

Immunohistochemistry-Paraffin

1:100-1:1000

Western Blot

1:500-1:20000

Formulation, Preparation, and Storage

Purification

Antigen Affinity-purified

Formulation

PBS, 1% BSA, 20% Glycerol

Preservative

0.025% Proclin 300

Concentration

Concentrations vary lot to lot. See vial label for concentration. If unlisted please contact technical services.

Shipping

The product is shipped with polar packs. Upon receipt, store it immediately at the temperature recommended below.

Stability & Storage

Store at 4C short term. Aliquot and store at -20C long term. Avoid freeze-thaw cycles.

Background: Histone H3.3B

Histone H3.3B is 136 amino acids long, weighs approximately 15 kDa, and is part of a group of basic nuclear proteins called histones, which are responsible for nucleosome structure of the chromosomal fiber in eukaryotes. Current studies are being done on several diseases and disorders including systemic lupus erythematosus, lupus erythematosus, malaria, leukemia, retinoblastoma, and immunodeficiency. Histone H3.3B has also been shown to have interactions with PELP1, HIST1H4A, HIST1H4B, HIST1H4C, and HIST1H4D in pathways such as the histone modification, development notch signaling, signal transduction for Activin A, amyloids, hemostasis, meiosis, meiotic recombination, and systemic lupus erythematosus pathways.

Alternate Names

H3 histone, family 3A, H3 histone, family 3B (H3.3B), H3.3BH3.3A, H3F3, H3F3A, histone H3.3

Gene Symbol

H3F3B

Additional Histone H3.3B Products

Product Documents for Histone H3.3B Antibody

Certificate of Analysis

To download a Certificate of Analysis, please enter a lot number in the search box below.

Product Specific Notices for Histone H3.3B Antibody

This product is for research use only and is not approved for use in humans or in clinical diagnosis. Primary Antibodies are guaranteed for 1 year from date of receipt.

Loading...
Loading...
Loading...
Loading...