Histone H3.3 Antibody (S04-5J3)
Novus Biologicals, part of Bio-Techne | Catalog # NBP3-14894
Recombinant Monoclonal Antibody
Key Product Details
Species Reactivity
Human, Mouse, Rat
Applications
Immunohistochemistry, Immunohistochemistry-Paraffin, Western Blot
Label
Unconjugated
Antibody Source
Recombinant Monoclonal Rabbit IgG Clone # S04-5J3 expressed in HEK293
Concentration
Please see the vial label for concentration. If unlisted please contact technical services.
Product Specifications
Immunogen
A synthetic peptide of human Histone H3.3 (Uniprot#: P84243)
Clonality
Monoclonal
Host
Rabbit
Isotype
IgG
Theoretical MW
15 kDa.
Disclaimer note: The observed molecular weight of the protein may vary from the listed predicted molecular weight due to post translational modifications, post translation cleavages, relative charges, and other experimental factors.
Disclaimer note: The observed molecular weight of the protein may vary from the listed predicted molecular weight due to post translational modifications, post translation cleavages, relative charges, and other experimental factors.
Description
Novus Biologicals Rabbit Histone H3.3 Antibody (S04-5J3) (NBP3-14894) is a recombinant monoclonal antibody validated for use in IHC and WB. All Novus Biologicals antibodies are covered by our 100% guarantee.
Scientific Data Images for Histone H3.3 Antibody (S04-5J3)
Western Blot: Histone H3.3 Antibody (S04-5J3) [NBP3-14894]
Western Blot: Histone H3.3 Antibody (S04-5J3) [NBP3-14894] - Western blot detection of Histone H3. 3 in K562, C6, 3T3 cell lysates using Histone H3. 3 Rabbit mAb (1:1000 diluted). Predicted band size: 15kDa. Observed band size: 15kDa.Immunohistochemistry-Paraffin: Histone H3.3 Antibody (S04-5J3) [NBP3-14894]
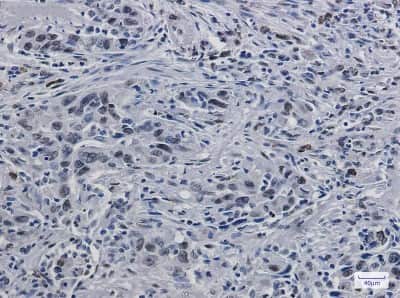
Immunohistochemistry-Paraffin: Histone H3.3 Antibody (S04-5J3) [NBP3-14894] - Immunohistochemistry of Histone H3. 3 in paraffin-embedded Human lung cancer tissue using Histone H3. 3 Rabbit mAb at dilution 1/50Applications for Histone H3.3 Antibody (S04-5J3)
Application
Recommended Usage
Immunohistochemistry
1/200
Western Blot
1/1000
Formulation, Preparation, and Storage
Purification
Affinity purified
Formulation
50mM Tris-Glycine (pH 7.4), 0.15M NaCl, 40% Glycerol, 0.05% BSA
Preservative
0.01% Sodium Azide
Concentration
Please see the vial label for concentration. If unlisted please contact technical services.
Shipping
The product is shipped with polar packs. Upon receipt, store it immediately at the temperature recommended below.
Stability & Storage
Store at 4C short term. Aliquot and store at -20C long term. Avoid freeze-thaw cycles.
Background: Histone H3.3
Alternate Names
H3.3A, H3F3, H3F3A, Histone H3.3, Histone H3.3A, Histone H3.3B, MGC87782, MGC87783
Gene Symbol
H3-3A
Additional Histone H3.3 Products
Product Documents for Histone H3.3 Antibody (S04-5J3)
Product Specific Notices for Histone H3.3 Antibody (S04-5J3)
This product is for research use only and is not approved for use in humans or in clinical diagnosis. Primary Antibodies are guaranteed for 1 year from date of receipt.
Loading...
Loading...
Loading...
Loading...