Skip to main content

Histone H3 [p Thr3] Antibody (RM159) - Azide and BSA Free

Novus Biologicals, part of Bio-Techne | Catalog # NBP3-26019

Recombinant Monoclonal Antibody
Novus Biologicals, part of Bio-Techne

Key Product Details

Validated by

Biological Validation

Species Reactivity

Human, Vertebrate

Applications

Multiplex Immunofluorescence, Immunohistochemistry, Western Blot, ELISA, Immunocytochemistry/ Immunofluorescence

Label

Unconjugated

Antibody Source

Recombinant Monoclonal Rabbit IgG Clone # RM159 expressed in HEK293

Format

Azide and BSA Free

Concentration

1 mg/ml

Product Specifications

Immunogen

This Histone H3 [p Thr3] antibody (RM159) was raised against a phospho-peptide corresponding to Histone H3 [p Thr3]

Specificity

This Histone H3 [p Thr3] antibody (RM159) reacts to Histone H3 phosphorylated at Threonine 3. No cross reactivity with other phosphorylated histones

Clonality

Monoclonal

Host

Rabbit

Isotype

IgG

Description

Novus Biologicals Rabbit Histone H3 [p Thr3] Antibody (RM159) - Azide and BSA Free (NBP2-61546) is a recombinant monoclonal antibody validated for use in Multiplex Immunofluorescence, IHC, WB, ELISA and ICC/IF. All Novus Biologicals antibodies are covered by our 100% guarantee.

Scientific Data Images for Histone H3 [p Thr3] Antibody (RM159) - Azide and BSA Free

Histone H3 [p Thr3] Antibody (RM159) - Azide and BSA Free

Western Blot: Histone H3 [p Thr3] Antibody (RM159) - Azide and BSA Free [NBP3-26019] -

Western Blot: Histone H3 [p Thr3] Antibody (RM159) - Azide and BSA Free [NBP3-26019] - Western Blot of acid extracts of HeLa cells non-treated (1) or treated (2) with Nocodazole, and recombinant Histone H3.3 (3), using RM159 at 0.1 ug/mL, showed a band of Histone H3 phosphorylated at threonine 3 in HeLa cells.
Histone H3 [p Thr3] Antibody (RM159) - Azide and BSA Free

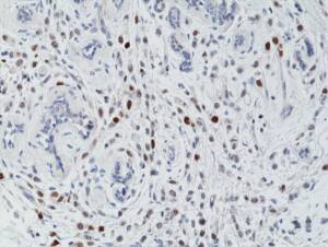
Immunohistochemistry-Paraffin: Histone H3 [p Thr3] Antibody (RM159) - Azide and BSA Free [NBP3-26019] -

Immunohistochemistry-Paraffin: Histone H3 [p Thr3] Antibody (RM159) - Azide and BSA Free [NBP3-26019] - Immunohistochemical staining of formalin fixed and paraffin embedded human breast cancer tissue section using Clone RM159 at a 1 ug/mL.
Histone H3 [p Thr3] Antibody (RM159) - Azide and BSA Free

Immunocytochemistry/ Immunofluorescence: Histone H3 [p Thr3] Antibody (RM159) - Azide and BSA Free [NBP3-26019] -

Immunocytochemistry/ Immunofluorescence: Histone H3 [p Thr3] Antibody (RM159) - Azide and BSA Free [NBP3-26019] - Immunocytochemistry of HeLa cells using Clone RM159 (red). Actin filaments have been labeled with fluorescein phalloidin (green).

Applications for Histone H3 [p Thr3] Antibody (RM159) - Azide and BSA Free

Application
Recommended Usage

ELISA

0.2 ug/mL - 1 ug/mL

Immunocytochemistry/ Immunofluorescence

0.5 ug/ml - 2 ug/ml

Immunohistochemistry

0.5 ug/ml - 2 ug/ml

Western Blot

0.1 ug/ml-1 ug/ml

Formulation, Preparation, and Storage

Purification

Protein A purified

Formulation

PBS

Format

Azide and BSA Free

Preservative

No Preservative

Concentration

1 mg/ml

Shipping

The product is shipped with polar packs. Upon receipt, store it immediately at the temperature recommended below.

Stability & Storage

Store at -20C. Avoid freeze-thaw cycles.

Background: Histone H3

Chromatin is an arrangement of DNA and proteins which form chromosomes. Chromatin is formed from nucleosomes, which are comprised of a set of four histone proteins (H2A, H2B, H3, H4) wrapped with DNA. Chromatin is very dynamic, where post-translational modifications can regulate DNA to be copied, transcribed, or repaired.

Histones are nuclear proteins responsible for the nucleosome structure of the chromosomal fiber in eukaryotes. Changes in chromatin structure play a large role in the regulation of transcription. The chromatin fibers are compacted through the interaction of a linker histone, H1, with the DNA between the nucleosomes to form higher order chromatin structures.

Common histone modifications include methylation of lysine and arginine, acetylation of lysine, phosphorylation of threonine and serine, and sumoylation, biotinylation, and ubiquitylation of lysine. Posttranslational modifications such as acetylation of core histones regulates gene expression, thus altering protein function and regulation (1). Histone H3 is primarily acetylated at lysines 9, 14, 18, and 23 and have a theoretical molecular weight of 15 kDa. Acetylation at lysine 9 and 14 appears to control histone deposition, chromatin assembly and active transcription. Methylation of arginine residues within histone H3 has also been linked to transcription regulation. Histone H3 has been linked to various types of cancer as a biomarker through the aberrant expression of histone deacetylase (HDAC) enzymes and changes to chromatins (2-4).

References

1. Zhang, Y. X., Akumuo, R. C., Espana, R. A., Yan, C. X., Gao, W. J., & Li, Y. C. (2018). The histone demethylase KDM6B in the medial prefrontal cortex epigenetically regulates cocaine reward memory. Neuropharmacology, 141, 113-125. doi:10.1016/j.neuropharm.2018.08.030

2. Nandakumar, V., Hansen, N., Glenn, H. L., Han, J. H., Helland, S., Hernandez, K, ...Meldrum, D. R. (2016). Vorinostat differentially alters 3D nuclear structure of cancer and non-cancerous esophageal cells. Sci Rep, 6, 30593. doi:10.1038/srep30593

3. Zhou, M., Li, Y., Lin, S., Chen, Y., Qian, Y., Zhao, Z., & Fan, H. (2019). H3K9me3, H3K36me3, and H4K20me3 Expression Correlates with Patient Outcome in Esophageal Squamous Cell Carcinoma as Epigenetic Markers. Dig Dis Sci, 64(8), 2147-2157. doi:10.1007/s10620-019-05529-2

4. Li, Y., Guo, D., Sun, R., Chen, P., Qian, Q., & Fan, H. (2019). Methylation Patterns of Lys9 and Lys27 on Histone H3 Correlate with Patient Outcome in Gastric Cancer. Dig Dis Sci, 64(2), 439-446. doi:10.1007/s10620-018-5341-8

Alternate Names

H3F3A

Gene Symbol

H3C14

Additional Histone H3 Products

Product Documents for Histone H3 [p Thr3] Antibody (RM159) - Azide and BSA Free

Certificate of Analysis

To download a Certificate of Analysis, please enter a lot number in the search box below.

Product Specific Notices for Histone H3 [p Thr3] Antibody (RM159) - Azide and BSA Free

This product is for research use only and is not approved for use in humans or in clinical diagnosis. Primary Antibodies are guaranteed for 1 year from date of receipt.

Loading...
Loading...
Loading...
Loading...