Skip to main content

Histone H1.4 Antibody

Novus Biologicals, part of Bio-Techne | Catalog # NBP2-16847

Novus Biologicals, part of Bio-Techne
Catalog #
Availability
Size / Price
Qty
Loading...
NBP2-16847

Key Product Details

Species Reactivity

Human

Applications

Immunohistochemistry, Immunohistochemistry-Paraffin, Western Blot

Label

Unconjugated

Antibody Source

Polyclonal Rabbit IgG

Concentration

Concentrations vary lot to lot. See vial label for concentration. If unlisted please contact technical services.

Product Specifications

Immunogen

Carrier-protein conjugated synthetic peptide encompassing a sequence within the N-terminus region of human Histone H1.4.4. The exact sequence is proprietary.

Reactivity Notes

Bovine (88%).

Localization

Nucleus

Clonality

Polyclonal

Host

Rabbit

Isotype

IgG

Theoretical MW

22 kDa.
Disclaimer note: The observed molecular weight of the protein may vary from the listed predicted molecular weight due to post translational modifications, post translation cleavages, relative charges, and other experimental factors.

Description

Novus Biologicals Rabbit Histone H1.4 Antibody (NBP2-16847) is a polyclonal antibody validated for use in IHC and WB. All Novus Biologicals antibodies are covered by our 100% guarantee.

Scientific Data Images for Histone H1.4 Antibody

Western Blot: Histone H1.4 Antibody [NBP2-16847]

Western Blot: Histone H1.4 Antibody [NBP2-16847]

Western Blot: Histone H1.4 Antibody [NBP2-16847] - Sample (20 ug of cell lysate ) A: HeLa nucleus 12% SDS PAGE gel, diluted at 1:1000.
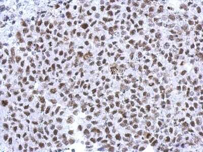
Immunohistochemistry-Paraffin: Histone H1.4 Antibody [NBP2-16847]

Immunohistochemistry-Paraffin: Histone H1.4 Antibody [NBP2-16847]

Immunohistochemistry-Paraffin: Histone H1.4 Antibody [NBP2-16847] - Hela xenograft, using Histone H1.4 antibody at 1:500 dilution. Antigen Retrieval: Trilogy™ (EDTA based, pH 8.0) buffer, 15min.

Applications for Histone H1.4 Antibody

Application
Recommended Usage

Immunohistochemistry

1:100-1:1000

Immunohistochemistry-Paraffin

1:100-1:1000

Western Blot

1:500-1:3000

Formulation, Preparation, and Storage

Purification

Antigen Affinity-purified

Formulation

PBS, 1% BSA, 20% Glycerol

Preservative

0.01% Thimerosal

Concentration

Concentrations vary lot to lot. See vial label for concentration. If unlisted please contact technical services.

Shipping

The product is shipped with polar packs. Upon receipt, store it immediately at the temperature recommended below.

Stability & Storage

Aliquot and store at -20C or -80C. Avoid freeze-thaw cycles.

Background: Histone H1.4

Histones are basic nuclear proteins responsible for nucleosome structure of the chromosomal fiber in eukaryotes. Two molecules of each of the four core histones (H2A, H2B, H3, and H4) form an octamer, around which approximately 146 bp of DNA is wrapped in repeating units, called nucleosomes. The linker histone, H1, interacts with linker DNA between nucleosomes and functions in the compaction of chromatin into higher order structures. This gene is intronless and encodes a member of the histone H1 family. Transcripts from this gene lack polyA tails but instead contain a palindromic termination element. This gene is found in the large histone gene cluster on chromosome 6. [provided by RefSeq]

Alternate Names

dJ221C16.5, H1 histone family, member 4, H1.4, H1F4H1E, histone 1, H1e, histone cluster 1, H1e, histone H1.4, Histone H1b, MGC116819

Gene Symbol

H1-4

UniProt

Additional Histone H1.4 Products

Product Documents for Histone H1.4 Antibody

Certificate of Analysis

To download a Certificate of Analysis, please enter a lot number in the search box below.

Product Specific Notices for Histone H1.4 Antibody

This product is for research use only and is not approved for use in humans or in clinical diagnosis. Primary Antibodies are guaranteed for 1 year from date of receipt.

Loading...
Loading...
Loading...
Loading...

⚠ WARNING: This product can expose you to chemicals including mercury, which is known to the State of California to cause reproductive toxicity with developmental effects.  For more information go to www.P65Warnings.ca.gov.