Skip to main content

HIST1H3A [ac Lys18] Antibody

Novus Biologicals, part of Bio-Techne | Catalog # NBP2-43535

Novus Biologicals, part of Bio-Techne
Catalog #
Availability
Size / Price
Qty
Loading...
NBP2-43535

Key Product Details

Validated by

Biological Validation

Species Reactivity

Validated:

Human, Mouse, Rat

Predicted:

Chimpanzee (100%). Backed by our 100% Guarantee.

Applications

Immunohistochemistry, Immunohistochemistry-Paraffin, Western Blot, Immunocytochemistry/ Immunofluorescence, Immunoprecipitation, Chromatin Immunoprecipitation (ChIP), Dot Blot

Label

Unconjugated

Antibody Source

Polyclonal Rabbit IgG

Concentration

Concentrations vary lot to lot. See vial label for concentration. If unlisted please contact technical services.

Product Specifications

Immunogen

Carrier-protein conjugated synthetic peptide surrounding acetyl Lys18 of human HIST1H3A. The exact sequence is proprietary.

Modification

ac Lys18

Clonality

Polyclonal

Host

Rabbit

Isotype

IgG

Description

Novus Biologicals Rabbit HIST1H3A [ac Lys18] Antibody (NBP2-43535) is a polyclonal antibody validated for use in IHC, WB, ICC/IF, IP and ChIP. Anti-HIST1H3A Antibody: Cited in 1 publication. All Novus Biologicals antibodies are covered by our 100% guarantee.

Scientific Data Images for HIST1H3A [ac Lys18] Antibody

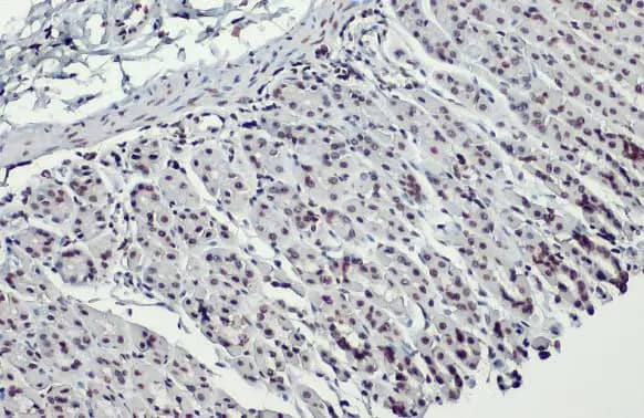
Immunohistochemistry-Paraffin: HIST1H3A [ac Lys18] Antibody [NBP2-43535]

Immunohistochemistry-Paraffin: HIST1H3A [ac Lys18] Antibody [NBP2-43535]

Immunohistochemistry-Paraffin: HIST1H3A [ac Lys18] Antibody [NBP2-43535] - Analysis of rat fore brain. Histone H3K18ac (acetyl Lys18) antibody dilution: 1:500.
Chromatin Immunoprecipitation: HIST1H3A [ac Lys18] Antibody [NBP2-43535] - Cross-linked ChIP was performed with HeLa chromatin extract treated with Trichostatin A (0.4 uM for 18 h) and 5 ug of either control rabbit IgG or anti-Histone H3K18ac (acetyl Lys18) antibody. The precipitated DNA was detected by PCR with primer set targeting to GAPDH or beta-globin promoter.
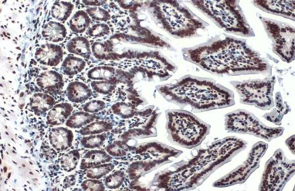
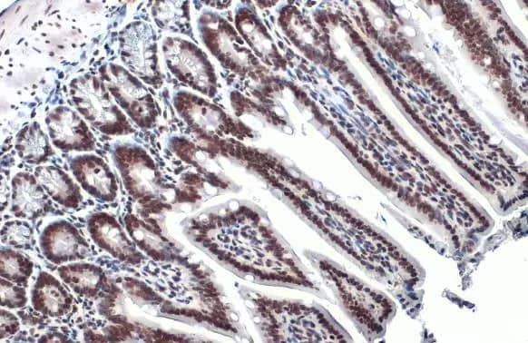
Immunohistochemistry-Paraffin: HIST1H3A [ac Lys18] Antibody [NBP2-43535]

Immunohistochemistry-Paraffin: HIST1H3A [ac Lys18] Antibody [NBP2-43535]

Immunohistochemistry-Paraffin: HIST1H3A [ac Lys18] Antibody [NBP2-43535] - Analysis of mouse duodenum. Histone H3K18ac (acetyl Lys18) antibody dilution: 1:500.

Applications for HIST1H3A [ac Lys18] Antibody

Application
Recommended Usage

Immunocytochemistry/ Immunofluorescence

1:100-1:1000

Immunohistochemistry-Paraffin

1:100-1:1000

Immunoprecipitation

1:100-1:500

Western Blot

1:1000-1:10000
Application Notes
Dot Blot, Chip assay- Assay dependent

Formulation, Preparation, and Storage

Purification

Antigen Affinity-purified

Formulation

PBS, 1% BSA, 20% Glycerol

Preservative

0.025% Proclin 300

Concentration

Concentrations vary lot to lot. See vial label for concentration. If unlisted please contact technical services.

Shipping

The product is shipped with polar packs. Upon receipt, store it immediately at the temperature recommended below.

Stability & Storage

Aliquot and store at -20C or -80C. Avoid freeze-thaw cycles.

Background: HIST1H3A

Alternate Names

H3 histone family, member A, H3/A, H3FAHIST1H3E, H3FB, H3FC, H3FD, H3FF, H3FH, H3FI, H3FJ, H3FK, H3FL, HIST1H3B, HIST1H3C, HIST1H3D, HIST1H3F, HIST1H3G, HIST1H3H, HIST1H3I, HIST1H3J, histone 1, H3a, histone cluster 1, H3a, histone H3.1, Histone H3/a, Histone H3/b, Histone H3/c, Histone H3/d, Histone H3/f, Histone H3/h, Histone H3/i, Histone H3/j, Histone H3/k, Histone H3/l

Gene Symbol

H3C1

Additional HIST1H3A Products

Product Documents for HIST1H3A [ac Lys18] Antibody

Certificate of Analysis

To download a Certificate of Analysis, please enter a lot number in the search box below.

Product Specific Notices for HIST1H3A [ac Lys18] Antibody

This product is for research use only and is not approved for use in humans or in clinical diagnosis. Primary Antibodies are guaranteed for 1 year from date of receipt.

Loading...
Loading...
Loading...
Loading...

⚠ WARNING: This product can expose you to chemicals including mercury, which is known to the State of California to cause reproductive toxicity with developmental effects.  For more information go to www.P65Warnings.ca.gov.