Skip to main content

HINT1 Antibody - BSA Free

Novus Biologicals, part of Bio-Techne | Catalog # NBP1-83257

Novus Biologicals, part of Bio-Techne
Catalog #
Availability
Size / Price
Qty
Loading...
NBP1-83257
NBP1-83257-25ul

Key Product Details

Species Reactivity

Human, Mouse, Rat

Applications

Immunohistochemistry, Immunohistochemistry-Paraffin, Western Blot, Immunocytochemistry/ Immunofluorescence

Label

Unconjugated

Antibody Source

Polyclonal Rabbit IgG

Format

BSA Free

Concentration

Concentrations vary lot to lot. See vial label for concentration. If unlisted please contact technical services.

Product Specifications

Immunogen

This antibody was developed against Recombinant Protein corresponding to amino acids: IPKKHISQISVAEDDDESLLGHLMIVGKKCAADLGLNKGYRMVVNEGSDGGQSVYHVHLHVL

Clonality

Polyclonal

Host

Rabbit

Isotype

IgG

Scientific Data Images for HINT1 Antibody - BSA Free

Immunocytochemistry/ Immunofluorescence: HINT1 Antibody [NBP1-83257]

Immunocytochemistry/ Immunofluorescence: HINT1 Antibody [NBP1-83257]

Immunocytochemistry/Immunofluorescence: HINT1 Antibody [NBP1-83257] - Immunofluorescent staining of human cell line U-251 MG shows localization to plasma membrane & cytosol.
Immunohistochemistry-Paraffin: HINT1 Antibody [NBP1-83257]

Immunohistochemistry-Paraffin: HINT1 Antibody [NBP1-83257]

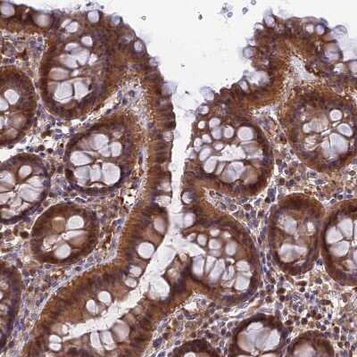
Immunohistochemistry-Paraffin: HINT1 Antibody [NBP1-83257] - Staining of human gastrointestinal shows cytoplasmic positivity in glandular cells.
Immunohistochemistry-Paraffin: HINT1 Antibody [NBP1-83257]

Immunohistochemistry-Paraffin: HINT1 Antibody [NBP1-83257]

Immunohistochemistry-Paraffin: HINT1 Antibody [NBP1-83257] - Staining of human cerebral cortex shows moderate positivity in neuropil.

Applications for HINT1 Antibody - BSA Free

Application
Recommended Usage

Immunocytochemistry/ Immunofluorescence

0.25-2 ug/ml

Immunohistochemistry

1:500 - 1:1000

Immunohistochemistry-Paraffin

1:500-1:1000

Western Blot

0.04-0.4 ug/ml
Application Notes
For IHC-Paraffin, HIER pH 6 retrieval is recommended. Immunocytochemistry/Immunofluorescence Fixation Permeabilization: Use PFA/Triton X-100.

Formulation, Preparation, and Storage

Purification

Affinity purified

Formulation

PBS (pH 7.2) and 40% Glycerol

Format

BSA Free

Preservative

0.02% Sodium Azide

Concentration

Concentrations vary lot to lot. See vial label for concentration. If unlisted please contact technical services.

Shipping

The product is shipped with polar packs. Upon receipt, store it immediately at the temperature recommended below.

Stability & Storage

Store at 4C short term. Aliquot and store at -20C long term. Avoid freeze-thaw cycles.

Background: HINT1

Hydrolyzes adenosine 5'-monophosphoramidate substrates such as AMP-morpholidate, AMP-N-alanine methyl ester,AMP-alpha-acetyl lysine methyl ester and AMP-NH2

Alternate Names

Adenosine 5'-monophosphoramidase, EC 3.-, HINT, histidine triad nucleotide binding protein 1, histidine triad nucleotide-binding protein, histidine triad nucleotide-binding protein 1, PKCI1, PKCI-1FLJ30414, PRKCNH1FLJ32340, Protein kinase C inhibitor 1, Protein kinase C-interacting protein 1

Gene Symbol

HINT1

Additional HINT1 Products

Product Documents for HINT1 Antibody - BSA Free

Certificate of Analysis

To download a Certificate of Analysis, please enter a lot number in the search box below.

Product Specific Notices for HINT1 Antibody - BSA Free

This product is for research use only and is not approved for use in humans or in clinical diagnosis. Primary Antibodies are guaranteed for 1 year from date of receipt.

Loading...
Loading...
Loading...
Loading...