Skip to main content

Hikeshi Antibody - BSA Free

Novus Biologicals, part of Bio-Techne | Catalog # NBP3-46119

Novus Biologicals, part of Bio-Techne
Catalog #
Availability
Size / Price
Qty
Loading...
NBP3-46119

Key Product Details

Species Reactivity

Human, Mouse, Rat

Applications

ELISA, Immunohistochemistry, Western Blot

Label

Unconjugated

Antibody Source

Polyclonal Rabbit IgG

Format

BSA Free

Concentration

Please see the vial label for concentration. If unlisted please contact technical services.

Product Specifications

Immunogen

chromosome 11 open reading frame 73. (Uniprot# Q53FT3)

Clonality

Polyclonal

Host

Rabbit

Isotype

IgG

Theoretical MW

22 kDa.
Disclaimer note: The observed molecular weight of the protein may vary from the listed predicted molecular weight due to post translational modifications, post translation cleavages, relative charges, and other experimental factors.

Description

Novus Biologicals Rabbit Hikeshi Antibody - BSA Free (NBP3-46119) is a polyclonal antibody validated for use in IHC, WB and ELISA. All Novus Biologicals antibodies are covered by our 100% guarantee.

Scientific Data Images for Hikeshi Antibody - BSA Free

Hikeshi Antibody - BSA Free

Western Blot: Hikeshi Antibody - BSA Free [NBP3-46119] -

Western Blot: Hikeshi Antibody - BSA Free [NBP3-46119] - PC-3 cells were subjected to SDS PAGE followed by western blot with (Hikeshi antibody) at dilution of 1:500
Hikeshi Antibody - BSA Free

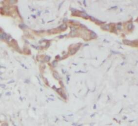
Immunohistochemistry: Hikeshi Antibody - BSA Free [NBP3-46119] -

Immunohistochemistry: Hikeshi Antibody - BSA Free [NBP3-46119] - Immunohistochemistry of paraffin-embedded human lung using (Hikeshi antibody) at dilution of 1:100

Applications for Hikeshi Antibody - BSA Free

Application
Recommended Usage

Immunohistochemistry

1:20-1:200

Western Blot

1:500-1:2000

Formulation, Preparation, and Storage

Purification

Immunogen affinity purified

Formulation

PBS, 50% Glycerol, pH (7.3)

Format

BSA Free

Preservative

0.02% Sodium Azide

Concentration

Please see the vial label for concentration. If unlisted please contact technical services.

Shipping

The product is shipped with polar packs. Upon receipt, store it immediately at the temperature recommended below.

Stability & Storage

Store at -20C. Avoid freeze-thaw cycles.

Background: Hikeshi

Hikeshi is required for organization and/or function of the secretory apparatus in Clara cells in lung

Alternate Names

chromosome 11 open reading frame 73, FLJ43020, Hikeshi, HSPC138, HSPC179, L7RN6, lethal, Chr 7, Rinchik 6

Gene Symbol

C11ORF73

Additional Hikeshi Products

Product Documents for Hikeshi Antibody - BSA Free

Certificate of Analysis

To download a Certificate of Analysis, please enter a lot number in the search box below.

Product Specific Notices for Hikeshi Antibody - BSA Free

This product is for research use only and is not approved for use in humans or in clinical diagnosis. Primary Antibodies are guaranteed for 1 year from date of receipt.

Loading...
Loading...
Loading...
Loading...