Skip to main content

HIF-3 alpha Antibody (OTI2D2) - Azide and BSA Free

Novus Biologicals, part of Bio-Techne | Catalog # NBP2-72136

Novus Biologicals, part of Bio-Techne

Key Product Details

Species Reactivity

Human

Applications

Immunohistochemistry, Immunohistochemistry-Paraffin, Western Blot

Label

Unconjugated

Antibody Source

Monoclonal Mouse IgG1 Clone # OTI2D2

Format

Azide and BSA Free

Concentration

LYOPH mg/ml

Product Specifications

Immunogen

Human recombinant protein fragment corresponding to amino acids 355-669 of human HIF3A (NP_690008) produced in E.coli.

Clonality

Monoclonal

Host

Mouse

Isotype

IgG1

Theoretical MW

72.3 kDa.
Disclaimer note: The observed molecular weight of the protein may vary from the listed predicted molecular weight due to post translational modifications, post translation cleavages, relative charges, and other experimental factors.

Description

Novus Biologicals Mouse HIF-3 alpha Antibody (OTI2D2) - Azide and BSA Free (NBP2-45735) is a monoclonal antibody validated for use in IHC and WB. All Novus Biologicals antibodies are covered by our 100% guarantee.

Scientific Data Images for HIF-3 alpha Antibody (OTI2D2) - Azide and BSA Free

Western Blot: HIF-3 alpha Antibody (OTI2D2)Azide and BSA Free [NBP2-72136]

Western Blot: HIF-3 alpha Antibody (OTI2D2)Azide and BSA Free [NBP2-72136]

Western Blot: HIF-3 alpha Antibody (OTI2D2) - Azide and BSA Free [NBP2-72136] - Analysis of HEK293T cells were transfected with the pCMV6-ENTRY control (Left lane) or pCMV6-ENTRY HIF3A.
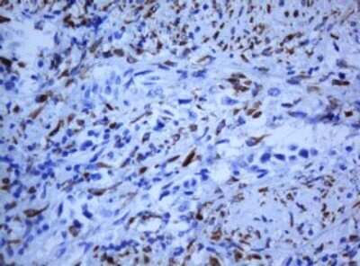
Immunohistochemistry: HIF-3 alpha Antibody (OTI2D2) - Azide and BSA Free [NBP2-72136]

Immunohistochemistry: HIF-3 alpha Antibody (OTI2D2) - Azide and BSA Free [NBP2-72136]

Immunohistochemistry: HIF-3 alpha Antibody (OTI2D2) - Azide and BSA Free [NBP2-72136] - Analysis of Carcinoma of Human bladder tissue. (Heat-induced epitope retrieval by 10mM citric buffer, pH6.0, 120C for 3min)

Applications for HIF-3 alpha Antibody (OTI2D2) - Azide and BSA Free

Application
Recommended Usage

Immunohistochemistry

1:150

Western Blot

1:2000

Formulation, Preparation, and Storage

Purification

Immunogen affinity purified

Reconstitution

we recommend adding 100uL distilled water to a final antibody concentration of about 1 mg/mL. To use this carrier-free antibody for conjugation experiment, we strongly recommend performing another round of desalting process.

Formulation

Lyophilized from PBS (pH 7.3) with 8% Trehalose

Format

Azide and BSA Free

Preservative

No Preservative

Concentration

LYOPH mg/ml

Shipping

The product is shipped with polar packs. Upon receipt, store it immediately at the temperature recommended below.

Stability & Storage

Store at -20C. Avoid freeze-thaw cycles.

Background: HIF-3 alpha/HIF3A

Hypoxia-inducible factor (HIF) is one of the most important factors in the cellular response to hypoxia, by transcriptionally activating genes encoding proteins that mediate adaptive responses to reduced oxygen availability. HIF is a heterodimer consisting of one of three subunits, HIF1 alpha, HIF2 alpha, or HIF3 alpha. HIF target genes play critical roles in metabolism, angiogenesis, cell proliferation and cell survival. HIF3 alpha protein is one of several alpha/beta-subunit heterodimeric transcription factors that regulate many adaptive responses to low oxygen tension (hypoxia). The alpha 3 subunit lacks the transactivation domain found in factors containing either the alpha 1 or alpha 2 subunits. HIF3 alpha may be a marker for tumor growth and angiogenesis.

Long Name

Hypoxia Inducible Factor 3 Subunit Alpha

Alternate Names

BHLHe17, HIF3A, IPAS, MOP7, PASD7

Gene Symbol

HIF3A

Additional HIF-3 alpha/HIF3A Products

Product Documents for HIF-3 alpha Antibody (OTI2D2) - Azide and BSA Free

Certificate of Analysis

To download a Certificate of Analysis, please enter a lot number in the search box below.

Product Specific Notices for HIF-3 alpha Antibody (OTI2D2) - Azide and BSA Free

This product is for research use only and is not approved for use in humans or in clinical diagnosis. Primary Antibodies are guaranteed for 1 year from date of receipt.

Loading...
Loading...
Loading...
Loading...
Loading...