HIC1 Antibody - BSA Free
Novus Biologicals, part of Bio-Techne | Catalog # NBP1-80607
Key Product Details
Species Reactivity
Validated:
Human
Cited:
Human
Predicted:
Mouse (98%), Rat (97%). Backed by our 100% Guarantee.
Applications
Validated:
Immunohistochemistry, Immunohistochemistry-Paraffin, Immunocytochemistry/ Immunofluorescence
Cited:
Western Blot, IF/IHC
Label
Unconjugated
Antibody Source
Polyclonal Rabbit IgG
Format
BSA Free
Concentration
Concentrations vary lot to lot. See vial label for concentration. If unlisted please contact technical services.
Product Specifications
Immunogen
This antibody was developed against Recombinant Protein corresponding to amino acids: ELLAQTTHFLHDPKVALESLYPLAKFTAELGLSPDKAAEVLSQGAHLAAGPDGRTIDRFSPT
Clonality
Polyclonal
Host
Rabbit
Isotype
IgG
Description
Novus Biologicals Rabbit HIC1 Antibody - BSA Free (NBP1-80607) is a polyclonal antibody validated for use in IHC, WB and ICC/IF. Anti-HIC1 Antibody: Cited in 2 publications. All Novus Biologicals antibodies are covered by our 100% guarantee.
Scientific Data Images for HIC1 Antibody - BSA Free
Immunocytochemistry/ Immunofluorescence: HIC1 Antibody [NBP1-80607]
Immunocytochemistry/Immunofluorescence: HIC1 Antibody [NBP1-80607] - Staining of human cell line U-251 MG shows localization to nucleoplasm & cytosol. Antiboody staining is shown in green.Immunohistochemistry-Paraffin: HIC1 Antibody [NBP1-80607]
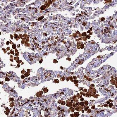
Immunohistochemistry-Paraffin: HIC1 Antibody [NBP1-80607] - Staining of human lung shows strong cytoplasmic positivity in macrophages.Applications for HIC1 Antibody - BSA Free
Application
Recommended Usage
Immunocytochemistry/ Immunofluorescence
0.25-2 ug/ml
Immunohistochemistry
1:20 - 1:50
Immunohistochemistry-Paraffin
1:20 - 1:50
Application Notes
For IHC-Paraffin, HIER pH 6 retrieval method is recommended. ICC/IF Fixation Permeabilization: Use PFA/Triton X-100.
Formulation, Preparation, and Storage
Purification
Affinity purified
Formulation
PBS (pH 7.2) and 40% Glycerol
Format
BSA Free
Preservative
0.02% Sodium Azide
Concentration
Concentrations vary lot to lot. See vial label for concentration. If unlisted please contact technical services.
Shipping
The product is shipped with polar packs. Upon receipt, store it immediately at the temperature recommended below.
Stability & Storage
Store at 4C short term. Aliquot and store at -20C long term. Avoid freeze-thaw cycles.
Background: HIC1
Alternate Names
Hic-1, hypermethylated in cancer 1, ZBTB29hypermethylated in cancer 1 protein, Zinc finger and BTB domain-containing protein 29, ZNF901
Entrez Gene IDs
3090 (Human)
Gene Symbol
HIC1
UniProt
Additional HIC1 Products
Product Documents for HIC1 Antibody - BSA Free
Product Specific Notices for HIC1 Antibody - BSA Free
This product is for research use only and is not approved for use in humans or in clinical diagnosis. Primary Antibodies are guaranteed for 1 year from date of receipt.
Loading...
Loading...
Loading...
Loading...