Skip to main content

HHMJG Antibody - BSA Free

Novus Biologicals, part of Bio-Techne | Catalog # NBP3-12673

Novus Biologicals, part of Bio-Techne
Catalog #
Availability
Size / Price
Qty
Loading...
NBP3-12673-50ul
NBP3-12673-100ul

Key Product Details

Species Reactivity

Human

Applications

Immunohistochemistry, Immunohistochemistry-Paraffin, Western Blot

Label

Unconjugated

Antibody Source

Polyclonal Rabbit IgG

Format

BSA Free

Concentration

Please see the vial label for concentration. If unlisted please contact technical services.

Product Specifications

Immunogen

Produced in rabbits immunized with E. coli-derived Human HHMJG fragment

Clonality

Polyclonal

Host

Rabbit

Isotype

IgG

Description

This antibody can be stored at 2-8C for one month without detectable loss of activity. Antibody products are stable for twelve months from date of receipt when stored at -20C to -80C. Avoid repeated freeze-thaw cycles.

Protein A & Antigen Affinity purified

Scientific Data Images for HHMJG Antibody - BSA Free

Western Blot: HHMJG Antibody [NBP3-12673]

Western Blot: HHMJG Antibody [NBP3-12673]

Western Blot: HHMJG Antibody [NBP3-12673] - Lane A: Jurkat Whole Cell LysateLane B: U-251MG Whole Cell LysateLysates/proteins at 30 ug per lane.SecondaryGoat Anti-Rabbit IgG (H+L)/HRP at 1/10000 dilution.Developed using the ECL technique.Performed under reducing conditions.Predicted band size:60 kDaObserved band size:70 kDa(We are unsure as to the identity of these extra bands.)
Immunohistochemistry-Paraffin: HHMJG Antibody [NBP3-12673]

Immunohistochemistry-Paraffin: HHMJG Antibody [NBP3-12673]

Immunohistochemistry-Paraffin: HHMJG Antibody [NBP3-12673] - Staining of human JRKL in human stomach with rabbit polyclonal antibody at 1:1000 dilution.
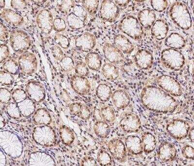
Immunohistochemistry-Paraffin: HHMJG Antibody [NBP3-12673]

Immunohistochemistry-Paraffin: HHMJG Antibody [NBP3-12673]

Immunohistochemistry-Paraffin: HHMJG Antibody [NBP3-12673] - Staining of human JRKL in human kidney with rabbit polyclonal antibody at 1:1000 dilution.

Applications for HHMJG Antibody - BSA Free

Application
Recommended Usage

Immunohistochemistry-Paraffin

1:500-1:2000

Western Blot

1:500-1:2000

Formulation, Preparation, and Storage

Purification

Antigen and protein A Affinity-purified

Formulation

PBS

Format

BSA Free

Preservative

0.03% Proclin 300

Concentration

Please see the vial label for concentration. If unlisted please contact technical services.

Shipping

The product is shipped with polar packs. Upon receipt, store it immediately at the temperature recommended below.

Stability & Storage

Store at 4C short term. Aliquot and store at -20C long term. Avoid freeze-thaw cycles.

Background: HHMJG

HHMJG is short for the human homolog of mouse jerky gene protein, may act as a nuclear regulatory protein that is abundantly expressed in the brain and skeletal muscle, and is comprised of 524 amino acids with a weight of approximately 60 kDa.

Alternate Names

erky (mouse) homolog-like, HHMJGHuman homolog of mouse jerky gene protein, jerky homolog-like (mouse), jerky protein homolog-like, MGC129608

Gene Symbol

JRKL

Additional HHMJG Products

Product Documents for HHMJG Antibody - BSA Free

Certificate of Analysis

To download a Certificate of Analysis, please enter a lot number in the search box below.

Product Specific Notices for HHMJG Antibody - BSA Free

This product is for research use only and is not approved for use in humans or in clinical diagnosis. Primary Antibodies are guaranteed for 1 year from date of receipt.

Loading...
Loading...
Loading...
Loading...