Skip to main content

HHMJG Antibody - BSA Free

Novus Biologicals, part of Bio-Techne | Catalog # NBP1-91986

Novus Biologicals, part of Bio-Techne
Catalog #
Availability
Size / Price
Qty
Loading...
NBP1-91986
NBP1-91986-25ul

Key Product Details

Species Reactivity

Validated:

Human

Predicted:

Mouse (90%). Backed by our 100% Guarantee.

Applications

Immunohistochemistry, Immunohistochemistry-Paraffin

Label

Unconjugated

Antibody Source

Polyclonal Rabbit IgG

Format

BSA Free

Concentration

Concentrations vary lot to lot. See vial label for concentration. If unlisted please contact technical services.

Product Specifications

Immunogen

This antibody was developed against Recombinant Protein corresponding to amino acids: LQHTKGLENVTTENLEKWLEVDSTEPGYEVLTDSEIIRRAQGQADESSENEEEEIELIPEKHINHAAALQ

Clonality

Polyclonal

Host

Rabbit

Isotype

IgG

Scientific Data Images for HHMJG Antibody - BSA Free

Immunohistochemistry-Paraffin: HHMJG Antibody [NBP1-91986]

Immunohistochemistry-Paraffin: HHMJG Antibody [NBP1-91986]

Immunohistochemistry-Paraffin: HHMJG Antibody [NBP1-91986] - Staining of human ovary shows moderate cytoplasmic positivity in follicle cells.
Immunohistochemistry-Paraffin: HHMJG Antibody [NBP1-91986]

Immunohistochemistry-Paraffin: HHMJG Antibody [NBP1-91986]

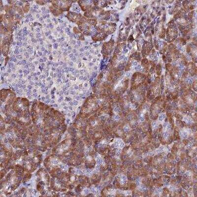
Immunohistochemistry-Paraffin: HHMJG Antibody [NBP1-91986] - Staining of human pancreas shows distinct cytoplasmic positivity in exocrine glandular cells.

Applications for HHMJG Antibody - BSA Free

Application
Recommended Usage

Immunohistochemistry

1:50 - 1:200

Immunohistochemistry-Paraffin

1:50 - 1:200
Application Notes
For IHC-Paraffin, HIER pH 6 retrieval is recommended. Immunocytochemistry/Immunofluorescence Fixation Permeabilization: Use PFA/Triton X-100.

Formulation, Preparation, and Storage

Purification

Affinity purified

Formulation

PBS (pH 7.2) and 40% Glycerol

Format

BSA Free

Preservative

0.02% Sodium Azide

Concentration

Concentrations vary lot to lot. See vial label for concentration. If unlisted please contact technical services.

Shipping

The product is shipped with polar packs. Upon receipt, store it immediately at the temperature recommended below.

Stability & Storage

Store at 4C short term. Aliquot and store at -20C long term. Avoid freeze-thaw cycles.

Background: HHMJG

HHMJG is short for the human homolog of mouse jerky gene protein, may act as a nuclear regulatory protein that is abundantly expressed in the brain and skeletal muscle, and is comprised of 524 amino acids with a weight of approximately 60 kDa.

Alternate Names

erky (mouse) homolog-like, HHMJGHuman homolog of mouse jerky gene protein, jerky homolog-like (mouse), jerky protein homolog-like, MGC129608

Gene Symbol

JRKL

Additional HHMJG Products

Product Documents for HHMJG Antibody - BSA Free

Certificate of Analysis

To download a Certificate of Analysis, please enter a lot number in the search box below.

Product Specific Notices for HHMJG Antibody - BSA Free

This product is for research use only and is not approved for use in humans or in clinical diagnosis. Primary Antibodies are guaranteed for 1 year from date of receipt.

Loading...
Loading...
Loading...
Loading...