Skip to main content

HGF Activator Antibody - BSA Free

Novus Biologicals, part of Bio-Techne | Catalog # NBP2-31741

Novus Biologicals, part of Bio-Techne
Catalog #
Availability
Size / Price
Qty
Loading...
NBP2-31741
NBP2-31741-25ul

Key Product Details

Validated by

Independent Antibodies

Species Reactivity

Human

Applications

Immunohistochemistry, Immunohistochemistry-Paraffin

Label

Unconjugated

Antibody Source

Polyclonal Rabbit IgG

Format

BSA Free

Concentration

Concentrations vary lot to lot. See vial label for concentration. If unlisted please contact technical services.

Product Specifications

Immunogen

This antibody was developed against a recombinant protein corresponding to amino acids: SCSNTQDPQSYHCSCPRAFTGKDCGTEKCFDETRYEYLEGGDRWARVRQGHVEQCECLGGRTWCEGTRHTACLS

Clonality

Polyclonal

Host

Rabbit

Isotype

IgG

Description

Novus Biologicals Rabbit HGF Activator Antibody - BSA Free (NBP2-31741) is a polyclonal antibody validated for use in IHC. All Novus Biologicals antibodies are covered by our 100% guarantee.

Scientific Data Images for HGF Activator Antibody - BSA Free

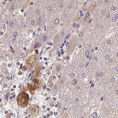
Immunohistochemistry-Paraffin: HGF Activator Antibody [NBP2-31741]

Immunohistochemistry-Paraffin: HGF Activator Antibody [NBP2-31741]

Immunohistochemistry-Paraffin: HGF Activator Antibody [NBP2-31741] - Staining of human kidney.
Immunohistochemistry-Paraffin: HGF Activator Antibody [NBP2-31741]

Immunohistochemistry-Paraffin: HGF Activator Antibody [NBP2-31741]

Immunohistochemistry-Paraffin: HGF Activator Antibody [NBP2-31741] - HGFAC Antibody [NBP2-31741] - Staining of human duodenum shows distinct positivity in plasma.
Immunohistochemistry-Paraffin: HGF Activator Antibody [NBP2-31741]

Immunohistochemistry-Paraffin: HGF Activator Antibody [NBP2-31741]

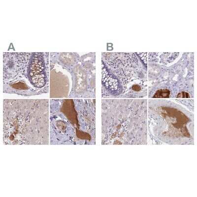
Immunohistochemistry-Paraffin: HGF Activator Antibody [NBP2-31741] - Staining of human colon, kidney, liver and soft tissues using Anti-HGFAC antibody NBP2-31741 (A) shows similar protein distribution across tissues to independent antibody NBP2-31710 (B).

Applications for HGF Activator Antibody - BSA Free

Application
Recommended Usage

Immunohistochemistry

1:20 - 1:50

Immunohistochemistry-Paraffin

1:20 - 1:50
Application Notes
For IHC-Paraffin, HIER pH 6 retrieval is recommended.

Formulation, Preparation, and Storage

Purification

Immunogen affinity purified

Formulation

PBS (pH 7.2) and 40% Glycerol

Format

BSA Free

Preservative

0.02% Sodium Azide

Concentration

Concentrations vary lot to lot. See vial label for concentration. If unlisted please contact technical services.

Shipping

The product is shipped with polar packs. Upon receipt, store it immediately at the temperature recommended below.

Stability & Storage

Store at 4C short term. Aliquot and store at -20C long term. Avoid freeze-thaw cycles.

Background: HGF Activator

HGF activator (HGFA) is a serine protease that cleaves the single-chain HGF precursor, generating the active heterodimer. HGFA is secreted by the liver and normally circulates in the blood as an inactive zymogen, which can be activated by thrombin. The active protease is regulated by HGFA inhibitors.

Long Name

Hepatocyte Growth Factor Activator

Alternate Names

HGFA, Hgfac

Gene Symbol

HGFAC

UniProt

Additional HGF Activator Products

Product Documents for HGF Activator Antibody - BSA Free

Certificate of Analysis

To download a Certificate of Analysis, please enter a lot number in the search box below.

Product Specific Notices for HGF Activator Antibody - BSA Free

This product is for research use only and is not approved for use in humans or in clinical diagnosis. Primary Antibodies are guaranteed for 1 year from date of receipt.

Loading...
Loading...
Loading...
Loading...