Skip to main content

HGD Antibody - BSA Free

Novus Biologicals, part of Bio-Techne | Catalog # NBP2-49039

Novus Biologicals, part of Bio-Techne
Catalog #
Availability
Size / Price
Qty
Loading...
NBP2-49039

Key Product Details

Validated by

Orthogonal Validation, Independent Antibodies

Species Reactivity

Validated:

Human

Predicted:

Mouse (94%). Backed by our 100% Guarantee.

Applications

Immunohistochemistry, Immunohistochemistry-Paraffin, Western Blot, Immunocytochemistry/ Immunofluorescence

Label

Unconjugated

Antibody Source

Polyclonal Rabbit IgG

Format

BSA Free

Concentration

Concentrations vary lot to lot. See vial label for concentration. If unlisted please contact technical services.

Product Specifications

Immunogen

This antibody was developed against a recombinant protein corresponding to amino acids: AELKYISGFGNECSSEDPRCPGSLPEGQNNPQVCPYNLYAEQLSGSAFTCPRSTNKRSWLYRILPSVSHKPFESIDEGQVTHNWDEVDPDPNQ

Reactivity Notes

Rat (89%)

Clonality

Polyclonal

Host

Rabbit

Isotype

IgG

Description

Novus Biologicals Rabbit HGD Antibody - BSA Free (NBP2-49039) is a polyclonal antibody validated for use in IHC, WB and ICC/IF. All Novus Biologicals antibodies are covered by our 100% guarantee.

Scientific Data Images for HGD Antibody - BSA Free

Western Blot: HGD Antibody [NBP2-49039]

Western Blot: HGD Antibody [NBP2-49039]

Western Blot: HGD Antibody [NBP2-49039] - Analysis using Anti-HGD antibody NBP2-49039 (A) shows similar pattern to independent antibody NBP2-33488 (B).
Immunocytochemistry/ Immunofluorescence: HGD Antibody [NBP2-49039]

Immunocytochemistry/ Immunofluorescence: HGD Antibody [NBP2-49039]

Immunocytochemistry/Immunofluorescence: HGD Antibody [NBP2-49039] - Staining of human cell line RPTEC TERT1 shows localization to the Golgi apparatus. Antibody staining is shown in green.
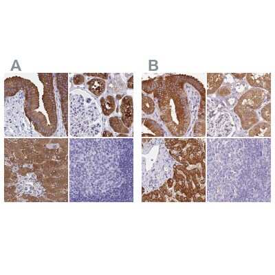
Immunohistochemistry-Paraffin: HGD Antibody [NBP2-49039]

Immunohistochemistry-Paraffin: HGD Antibody [NBP2-49039]

Immunohistochemistry-Paraffin: HGD Antibody [NBP2-49039] - Staining of human tonsil using Anti-HGD antibody NBP2-49039.

Applications for HGD Antibody - BSA Free

Application
Recommended Usage

Immunocytochemistry/ Immunofluorescence

0.25-2 ug/ml

Immunohistochemistry

1:200 - 1:500

Immunohistochemistry-Paraffin

1:200 - 1:500

Western Blot

0.04-0.4 ug/ml
Application Notes
For IHC-Paraffin, HIER pH 6 retrieval is recommended.

Formulation, Preparation, and Storage

Purification

Affinity purified

Formulation

PBS (pH 7.2) and 40% Glycerol

Format

BSA Free

Preservative

0.02% Sodium Azide

Concentration

Concentrations vary lot to lot. See vial label for concentration. If unlisted please contact technical services.

Shipping

The product is shipped with polar packs. Upon receipt, store it immediately at the temperature recommended below.

Stability & Storage

Store at 4C short term. Aliquot and store at -20C long term. Avoid freeze-thaw cycles.

Background: HGD

Homogentisate 1,2-dioxygenase (HGD) gene mutations are the molecular cause of alkaptonuria, a rare hereditary disorder of the phenylalanine catabolism. The highest expression of HGD is in the prostate, small intestine, colon, and liver. The HGD gene contains 14 exons. Conflicting reports have placed the gene at 3q2, 3q13.3-q21, 3q21-q24, 3q21-q23, or 3q25-q26.

Alternate Names

AKU, EC 1.13.11.5, HGOFLJ94126, homogentisate 1,2-dioxygenase, homogentisate 1,2-dioxygenase (homogentisate oxidase), homogentisate oxidase, Homogentisate oxygenase, Homogentisic acid oxidase, Homogentisicase

Gene Symbol

HGD

Additional HGD Products

Product Documents for HGD Antibody - BSA Free

Certificate of Analysis

To download a Certificate of Analysis, please enter a lot number in the search box below.

Product Specific Notices for HGD Antibody - BSA Free

This product is for research use only and is not approved for use in humans or in clinical diagnosis. Primary Antibodies are guaranteed for 1 year from date of receipt.

Loading...
Loading...
Loading...
Loading...