Skip to main content

HGD Antibody (20D12) - BSA Free

Novus Biologicals, part of Bio-Techne | Catalog # NBP3-26234

Recombinant Monoclonal Antibody
Novus Biologicals, part of Bio-Techne
Catalog #
Availability
Size / Price
Qty
Loading...
NBP3-26234-100ul
NBP3-26234-50ul

Key Product Details

Species Reactivity

Human

Applications

Immunohistochemistry, ELISA

Label

Unconjugated

Antibody Source

Recombinant Monoclonal Rabbit IgG Clone # 20D12 expressed in HEK293

Format

BSA Free

Concentration

Please see the vial label for concentration. If unlisted please contact technical services.

Product Specifications

Immunogen

A synthesized peptide derived from Human HGD [UniProt Q93099]

Clonality

Monoclonal

Host

Rabbit

Isotype

IgG

Description

Novus Biologicals Rabbit HGD Antibody (20D12) - BSA Free (NBP3-26234) is a recombinant monoclonal antibody validated for use in IHC and ELISA. All Novus Biologicals antibodies are covered by our 100% guarantee.

Scientific Data Images for HGD Antibody (20D12) - BSA Free

HGD Antibody (20D12)

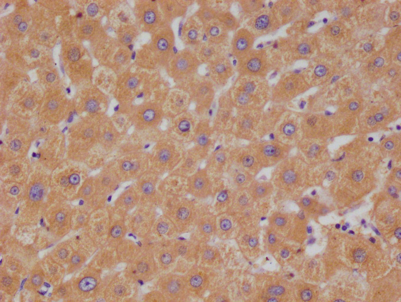
Immunohistochemistry: HGD Antibody (20D12) [NBP3-26234] -

Immunohistochemistry: HGD Antibody (20D12) [NBP3-26234] - Image of HGD Antibody (20D12) diluted at 1:100 and staining in paraffin-embedded human liver cancer performed. After dewaxing and hydration, antigen retrieval was mediated by high pressure in a citrate buffer (pH 6.0). Section was blocked with 10% normal goat serum 30min at RT. Then primary antibody (1% BSA) was incubated at 4C overnight. The primary is detected by a Goat anti-rabbit polymer IgG labeled by HRP and visualized using 0.05% DAB.
HGD Antibody (20D12)

Immunohistochemistry: HGD Antibody (20D12) [NBP3-26234] -

Immunohistochemistry: HGD Antibody (20D12) [NBP3-26234] - Image of HGD Antibody (20D12) diluted at 1:100 and staining in paraffin-embedded human liver cancer performed. After dewaxing and hydration, antigen retrieval was mediated by high pressure in a citrate buffer (pH 6.0). Section was blocked with 10% normal goat serum 30min at RT. Then primary antibody (1% BSA) was incubated at 4°C overnight. The primary is detected by a Goat anti-rabbit polymer IgG labeled by HRP and visualized using 0.05% DAB.

Applications for HGD Antibody (20D12) - BSA Free

Application
Recommended Usage

Immunohistochemistry

1:50-1:200

Formulation, Preparation, and Storage

Purification

Affinity purified

Formulation

PBS, pH 7.4, 150mM NaCl, and 50% glycerol

Format

BSA Free

Preservative

0.02% Sodium Azide

Concentration

Please see the vial label for concentration. If unlisted please contact technical services.

Shipping

The product is shipped with polar packs. Upon receipt, store it immediately at the temperature recommended below.

Stability & Storage

Store at -20 to -70C. Avoid freeze-thaw cycles.

Background: HGD

Homogentisate 1,2-dioxygenase (HGD) gene mutations are the molecular cause of alkaptonuria, a rare hereditary disorder of the phenylalanine catabolism. The highest expression of HGD is in the prostate, small intestine, colon, and liver. The HGD gene contains 14 exons. Conflicting reports have placed the gene at 3q2, 3q13.3-q21, 3q21-q24, 3q21-q23, or 3q25-q26.

Alternate Names

AKU, EC 1.13.11.5, HGOFLJ94126, homogentisate 1,2-dioxygenase, homogentisate 1,2-dioxygenase (homogentisate oxidase), homogentisate oxidase, Homogentisate oxygenase, Homogentisic acid oxidase, Homogentisicase

Gene Symbol

HGD

Additional HGD Products

Product Documents for HGD Antibody (20D12) - BSA Free

Certificate of Analysis

To download a Certificate of Analysis, please enter a lot number in the search box below.

Product Specific Notices for HGD Antibody (20D12) - BSA Free

This product is for research use only and is not approved for use in humans or in clinical diagnosis. Primary Antibodies are guaranteed for 1 year from date of receipt.

Loading...
Loading...
Loading...
Loading...