Skip to main content

HFM1 Antibody - BSA Free

Novus Biologicals, part of Bio-Techne | Catalog # NBP3-04564

Novus Biologicals, part of Bio-Techne
Catalog #
Availability
Size / Price
Qty
Loading...
NBP3-04564-100ul
NBP3-04564-20ul

Key Product Details

Species Reactivity

Human, Mouse, Rat

Applications

Immunohistochemistry, Immunohistochemistry-Paraffin, Western Blot

Label

Unconjugated

Antibody Source

Polyclonal Rabbit IgG

Format

BSA Free

Concentration

Please see the vial label for concentration. If unlisted please contact technical services.

Product Specifications

Immunogen

Recombinant fusion protein containing a sequence corresponding to amino acids 1-240 of human HFM1 (NP_001017975.4). MLKSNDCLFSLENLFFEKPDEVENHPDNEKSLDWFLPPAPLISEIPDTQELEEELESHKLLGQEKRPKMLTSNLKITNEDTNYISLTQKFQFAFPSDKYEQDDLNLEGVGNNDLSHVAGKLTYASQKYKNHIGTEIAPEKSVPDDTKLVNFAEDKGESTSVFRKRLFKISDNIHGSAYSNDNELDSHIGSVKIVQTEMNKGKSRNYSNSKQKFQYSANVFTANNAFSASEIGEGMFKAPS

Clonality

Polyclonal

Host

Rabbit

Isotype

IgG

Description

Novus Biologicals Rabbit HFM1 Antibody - BSA Free (NBP3-04564) is a polyclonal antibody validated for use in IHC and WB. All Novus Biologicals antibodies are covered by our 100% guarantee.

Scientific Data Images for HFM1 Antibody - BSA Free

Western Blot: HFM1 AntibodyBSA Free [NBP3-04564]

Western Blot: HFM1 AntibodyBSA Free [NBP3-04564]

Western Blot: HFM1 Antibody [NBP3-04564] - Analysis of extracts of K-562 cells, using HFM1 antibody at 1:500 dilution. Secondary antibody: HRP Goat Anti-Rabbit IgG (H+L) at 1:10000 dilution. Lysates/proteins: 25ug per lane. Blocking buffer: 3% nonfat dry milk in TBST. Detection: ECL Basic Kit .
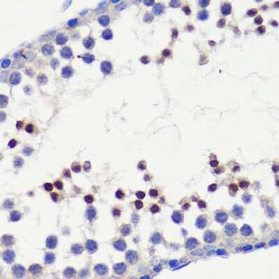
Immunohistochemistry-Paraffin: HFM1 Antibody - BSA Free [NBP3-04564]

Immunohistochemistry-Paraffin: HFM1 Antibody - BSA Free [NBP3-04564]

Immunohistochemistry-Paraffin: HFM1 Antibody [NBP3-04564] - Paraffin-embedded mouse testis using HFM1 antibody at dilution of 1:100 (40x lens).
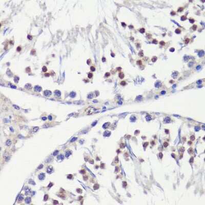
Immunohistochemistry-Paraffin: HFM1 Antibody - BSA Free [NBP3-04564]

Immunohistochemistry-Paraffin: HFM1 Antibody - BSA Free [NBP3-04564]

Immunohistochemistry-Paraffin: HFM1 Antibody [NBP3-04564] - Paraffin-embedded rat testis using HFM1 antibody at dilution of 1:100 (40x lens).

Applications for HFM1 Antibody - BSA Free

Application
Recommended Usage

Immunohistochemistry

1:50-1:100

Western Blot

1:500-1:2000

Formulation, Preparation, and Storage

Purification

Affinity purified

Formulation

PBS (pH 7.3), 50% glycerol

Format

BSA Free

Preservative

0.02% Sodium Azide

Concentration

Please see the vial label for concentration. If unlisted please contact technical services.

Shipping

The product is shipped with polar packs. Upon receipt, store it immediately at the temperature recommended below.

Stability & Storage

Store at -20C. Avoid freeze-thaw cycles.

Background: HFM1

The HFM1 gene encodes a probable ATP-dependent DNA helicase HFM1 that in isoform 1 is 1,435 amino acids long, 162 kDA, and in isoform 2 is 551 amino acids long at 62 kDA. It is known to interact with genes HSPH1, EXOSC10, EEF2, ENO3, and PLRG1. HFM1 has been researched regarding its role in tuberculosis, hemiplegia, epicondylitis, spastic hemiplegia, and fukuyama congenital muscular dystrophy.

Alternate Names

FLJ39011, helicase-like protein HFM1, HFM1, ATP-dependent DNA helicase homolog (S. cerevisiae), probable ATP-dependent DNA helicase HFM1, RP11-539G11.1

Gene Symbol

HFM1

Additional HFM1 Products

Product Documents for HFM1 Antibody - BSA Free

Certificate of Analysis

To download a Certificate of Analysis, please enter a lot number in the search box below.

Product Specific Notices for HFM1 Antibody - BSA Free

This product is for research use only and is not approved for use in humans or in clinical diagnosis. Primary Antibodies are guaranteed for 1 year from date of receipt.

Loading...
Loading...
Loading...
Loading...