Skip to main content

Hexokinase 1 Antibody (ST47-05)

Novus Biologicals, part of Bio-Techne | Catalog # NBP2-67503

Recombinant Monoclonal Antibody
Novus Biologicals, part of Bio-Techne
Catalog #
Availability
Size / Price
Qty
Loading...
NBP2-67503

Key Product Details

Species Reactivity

Human, Mouse, Rat

Applications

Immunohistochemistry, Immunohistochemistry-Paraffin, Western Blot, Flow Cytometry, Immunocytochemistry/ Immunofluorescence, Immunoprecipitation

Label

Unconjugated

Antibody Source

Recombinant Monoclonal Rabbit IgG Clone # ST47-05 expressed in HEK293

Concentration

1 mg/ml

Product Specifications

Immunogen

Synthetic peptide within human Hexokinase 1 aa 100-140. (SwissProt: P19367 Human; SwissProt: P17710 Mouse; SwissProt: P05708 Rat)

Localization

Mitochondrion outer membrane, Cytoplasm, Membrane, Mitochondrion.

Clonality

Monoclonal

Host

Rabbit

Isotype

IgG

Scientific Data Images for Hexokinase 1 Antibody (ST47-05)

Western Blot: Hexokinase 1 Antibody (ST47-05) [NBP2-67503]

Western Blot: Hexokinase 1 Antibody (ST47-05) [NBP2-67503]

Western Blot: Hexokinase 1 Antibody (ST47-05) [NBP2-67503] - Analysis of Hexokinase 1 on different lysates using anti-Hexokinase 1 antibody at 1/1,000 dilution. Positive control: Lane 1: Hela Lane 2: 293 Lane 3: MCF-7 Lane 4: HepG2
Immunocytochemistry/ Immunofluorescence: Hexokinase 1 Antibody (ST47-05) [NBP2-67503]

Immunocytochemistry/ Immunofluorescence: Hexokinase 1 Antibody (ST47-05) [NBP2-67503]

Immunocytochemistry/Immunofluorescence: Hexokinase 1 Antibody (ST47-05) [NBP2-67503] - Staining Hexokinase 1 in CRC cells (green). The nuclear counter stain is DAPI (blue). Cells were fixed in paraformaldehyde, permeabilised with 0.25% Triton X100/PBS.
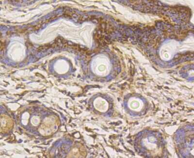
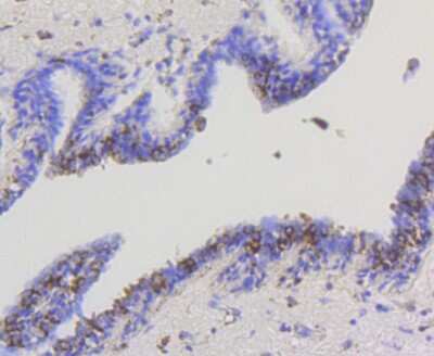
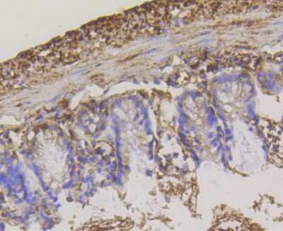
Immunohistochemistry-Paraffin: Hexokinase 1 Antibody (ST47-05) [NBP2-67503]

Immunohistochemistry-Paraffin: Hexokinase 1 Antibody (ST47-05) [NBP2-67503]

Immunohistochemistry-Paraffin: Hexokinase 1 Antibody (ST47-05) [NBP2-67503] - Analysis of paraffin-embedded mouse skin tissue using anti-Hexokinase 1 antibody. Counter stained with hematoxylin.

Applications for Hexokinase 1 Antibody (ST47-05)

Application
Recommended Usage

Flow Cytometry

1:50-1:100

Immunocytochemistry/ Immunofluorescence

1:50-1:200

Immunohistochemistry-Paraffin

1:50-1:200

Western Blot

1:500-1:2000

Reviewed Applications

Read 1 review rated 5 using NBP2-67503 in the following applications:

Formulation, Preparation, and Storage

Purification

Protein A purified

Formulation

TBS (pH7.4), 0.05% BSA, 40% Glycerol

Preservative

0.05% Sodium Azide

Concentration

1 mg/ml

Shipping

The product is shipped with polar packs. Upon receipt, store it immediately at the temperature recommended below.

Stability & Storage

Store at 4C short term. Aliquot and store at -20C long term. Avoid freeze-thaw cycles.

Background: Hexokinase 1

Hexokinases phosphorylate glucose to produce glucose-6-phosphate, thus committing glucose to the glycolytic pathway. This gene encodes a ubiquitous form of hexokinase which localizes to the outer membrane of mitochondria. Mutations in this gene have been associated with hemolytic anemia due to hexokinase deficiency. Alternative splicing of this gene results in five transcript variants which encode different isoforms, some of which are tissue-specific. Each isoform has a distinct N-terminus; the remainder of the protein is identical among all the isoforms. A sixth transcript variant has been described, but due to the presence of several stop codons, it is not thought to encode a protein.

Alternate Names

HK1, HKI

Gene Symbol

HK1

Additional Hexokinase 1 Products

Product Documents for Hexokinase 1 Antibody (ST47-05)

Certificate of Analysis

To download a Certificate of Analysis, please enter a lot number in the search box below.

Product Specific Notices for Hexokinase 1 Antibody (ST47-05)

This product is for research use only and is not approved for use in humans or in clinical diagnosis. Primary Antibodies are guaranteed for 1 year from date of receipt.

Loading...
Loading...
Loading...
Loading...
Loading...