Skip to main content

HES-1 Antibody (OTI4H1)

Novus Biologicals, part of Bio-Techne | Catalog # NBP1-47791

Novus Biologicals, part of Bio-Techne
Catalog #
Availability
Size / Price
Qty
Loading...
NBP1-47791

Key Product Details

Species Reactivity

Validated:

Human, Mouse, Rat

Cited:

Human, Mouse

Applications

Validated:

Immunohistochemistry, Immunohistochemistry-Paraffin, Western Blot, Immunocytochemistry/ Immunofluorescence, Chromatin Immunoprecipitation (ChIP)

Cited:

Western Blot, Chemotaxis, IF/IHC

Label

Unconjugated

Antibody Source

Monoclonal Mouse IgG1 Clone # OTI4H1

Concentration

1 mg/ml

Product Specifications

Immunogen

Recombinant protein expressed in E.coli corresponding to amino acids 1-280 of human HES1

Reactivity Notes

Please note that this antibody is reactive to Mouse and derived from the same host, Mouse. Mouse-On-Mouse blocking reagent may be needed for IHC and ICC experiments to reduce high background signal. You can find these reagents under catalog numbers PK-2200-NB and MP-2400-NB. Please contact Technical Support if you have any questions.

Specificity

This antibody is specific for Homo sapiens hairy and enhancer of split 1, (Drosophila) (HES1).

Clonality

Monoclonal

Host

Mouse

Isotype

IgG1

Theoretical MW

29.4 kDa.
Disclaimer note: The observed molecular weight of the protein may vary from the listed predicted molecular weight due to post translational modifications, post translation cleavages, relative charges, and other experimental factors.

Description

Novus Biologicals Mouse HES-1 Antibody (OTI4H1) (NBP1-47791) is a monoclonal antibody validated for use in IHC, WB, ICC/IF and ChIP. Anti-HES-1 Antibody: Cited in 9 publications. All Novus Biologicals antibodies are covered by our 100% guarantee.

Scientific Data Images for HES-1 Antibody (OTI4H1)

Western Blot: HES-1 Antibody (OTI4H1) [NBP1-47791]

Western Blot: HES-1 Antibody (OTI4H1) [NBP1-47791]

Western Blot: HES-1 Antibody (OTI4H1) [NBP1-47791] - HEK293T cells were transfected with the pCMV6-ENTRY control (Left lane) or pCMV6-ENTRY HES1 (Right lane) cDNA for 48 hrs and lysed. Equivalent amounts of cell lysates (5 ug per lane) were separated by SDS-PAGE and immunoblotted with anti-HES1 (1:500).
Immunocytochemistry/ Immunofluorescence: HES-1 Antibody (OTI4H1) [NBP1-47791]

Immunocytochemistry/ Immunofluorescence: HES-1 Antibody (OTI4H1) [NBP1-47791]

Immunocytochemistry/Immunofluorescence: HES-1 Antibody (OTI4H1) [NBP1-47791] - HeLa cells using anti-HES1 mouse monoclonal antibody.
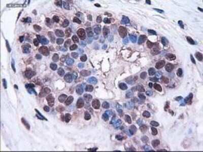
Immunohistochemistry-Paraffin: HES-1 Antibody (OTI4H1) [NBP1-47791]

Immunohistochemistry-Paraffin: HES-1 Antibody (OTI4H1) [NBP1-47791]

Immunohistochemistry-Paraffin: HES-1 Antibody (OTI4H1) [NBP1-47791] - Staining of paraffin-embedded liver using anti-Hes1 mouse monoclonal antibody.

Applications for HES-1 Antibody (OTI4H1)

Application
Recommended Usage

Chromatin Immunoprecipitation (ChIP)

Reactivity reported in (PMID: 29048612)

Immunocytochemistry/ Immunofluorescence

1:100

Immunohistochemistry

1:50

Immunohistochemistry-Paraffin

1:50

Western Blot

1:1000

Formulation, Preparation, and Storage

Purification

Immunogen affinity purified

Formulation

PBS (pH 7.3), 1.0% BSA and 50% Glycerol

Preservative

0.02% Sodium Azide

Concentration

1 mg/ml

Shipping

The product is shipped with polar packs. Upon receipt, store it immediately at the temperature recommended below.

Stability & Storage

Store at -20C. Avoid freeze-thaw cycles.

Background: HES-1

This protein belongs to the basic helix-loop-helix family of transcription factors. It is a transcriptional repressor of genes that require a bHLH protein for their transcription. The protein has a particular type of basic domain that contains a helix interrupting protein that binds to the N-box rather than the canonical E-box.

Long Name

Hairy And Enhancer of Split 1

Alternate Names

HES1, HL, HRY

Entrez Gene IDs

3280 (Human)

Gene Symbol

HES1

UniProt

Additional HES-1 Products

Product Documents for HES-1 Antibody (OTI4H1)

Certificate of Analysis

To download a Certificate of Analysis, please enter a lot number in the search box below.

Product Specific Notices for HES-1 Antibody (OTI4H1)

This product is for research use only and is not approved for use in humans or in clinical diagnosis. Primary Antibodies are guaranteed for 1 year from date of receipt.

Loading...
Loading...
Loading...
Loading...
Loading...