Skip to main content

Hemoglobin alpha Antibody (PD00-16)

Novus Biologicals, part of Bio-Techne | Catalog # NBP3-32421

Recombinant Monoclonal Antibody
Novus Biologicals, part of Bio-Techne
Catalog #
Availability
Size / Price
Qty
Loading...
NBP3-32421

Key Product Details

Species Reactivity

Human, Mouse, Rat

Applications

Immunohistochemistry, Immunohistochemistry-Paraffin, Western Blot

Label

Unconjugated

Antibody Source

Recombinant Monoclonal Rabbit IgG Clone # PD00-16 expressed in HEK293

Concentration

1 mg/ml

Product Specifications

Immunogen

Synthetic peptide corresponding to Human Hemoglobin alpha aa 50-150. (Uniprot: P69905)

Localization

Cytosol, cytosolic small ribosomal subunit, hemoglobin complex, blood microparticle, extracellular exosome, extracellular region, extracellular space, endocytic vesicle lumen, haptoglobin-hemoglobin complex, membrane.

Clonality

Monoclonal

Host

Rabbit

Isotype

IgG

Theoretical MW

15 kDa.
Disclaimer note: The observed molecular weight of the protein may vary from the listed predicted molecular weight due to post translational modifications, post translation cleavages, relative charges, and other experimental factors.

Description

Novus Biologicals Rabbit Hemoglobin alpha Antibody (PD00-16) (NBP3-32421) is a recombinant monoclonal antibody validated for use in IHC and WB. All Novus Biologicals antibodies are covered by our 100% guarantee.

Scientific Data Images for Hemoglobin alpha Antibody (PD00-16)

Hemoglobin alpha Antibody (PD00-16)

Western Blot: Hemoglobin alpha Antibody (PD00-16) [NBP3-32421]

Western Blot: Hemoglobin alpha Antibody (PD00-16) [NBP3-32421] - Western blot analysis of Hemoglobin alpha on rat heart tissue lysates with Rabbit anti-Hemoglobin alpha antibody (NBP3-32421) at 1/2,000 dilution.

Lysates/proteins at 20 ug/Lane.

Predicted band size: 15 kDa
Observed band size: 12 kDa

Exposure time: 2 minutes;

15% SDS-PAGE gel.

Proteins were transferred to a PVDF membrane and blocked with 5% NFDM/TBST for 1 hour at room temperature. The primary antibody (NBP3-32421) at 1/2,000 dilution was used in 5% NFDM/TBST at room temperature for 2 hours. Goat Anti-Rabbit IgG - HRP Secondary Antibody at 1:300,000 dilution was used for 1 hour at room temperature.
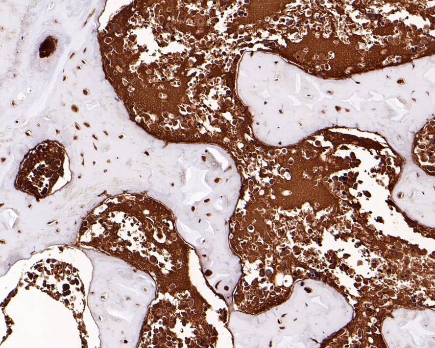
Hemoglobin alpha Antibody (PD00-16)

Immunohistochemistry: Hemoglobin alpha Antibody (PD00-16) [NBP3-32421]

Immunohistochemistry: Hemoglobin alpha Antibody (PD00-16) [NBP3-32421] - Immunohistochemical analysis of paraffin-embedded human bone marrow tissue with Rabbit anti-Hemoglobin alpha antibody (NBP3-32421) at 1/4,000 dilution.

The section was pre-treated using heat mediated antigen retrieval with Tris-EDTA buffer (pH 9.0) for 20 minutes. The tissues were blocked in 1% BSA for 20 minutes at room temperature, washed with ddH2O and PBS, and then probed with the primary antibody () at 1/4,000 dilution for 1 hour at room temperature. The detection was performed using an HRP conjugated compact polymer system. DAB was used as the chromogen. Tissues were counterstained with hematoxylin and mounted with DPX.

Applications for Hemoglobin alpha Antibody (PD00-16)

Application
Recommended Usage

Immunohistochemistry-Paraffin

1:1000-1:4000

Western Blot

1:2000

Formulation, Preparation, and Storage

Purification

Protein A purified

Formulation

PBS (pH7.4), 0.1% BSA and 40% Glycerol

Preservative

0.05% Sodium Azide

Concentration

1 mg/ml

Shipping

The product is shipped with polar packs. Upon receipt, store it immediately at the temperature recommended below.

Stability & Storage

Store at 4C short term. Aliquot and store at -20C long term. Avoid freeze-thaw cycles.

Background: Hemoglobin alpha

Hemoglobin is involved in oxygen transport from the lung to the various peripheral tissues.The alpha (HBA) and beta (HBB) loci determine the structure of the 2 types of polypeptide chains in adult Hemoglobin. The normal adult Hemoglobin tetramer consists of two alpha chains and two beta chains. Mutant beta globin causes sickle cell anemia. Absence of beta chain causes beta zero thalassemia. Reduced amounts of detectable beta globin causes beta plus thalassemia.

Alternate Names

alpha one globin, alpha-1 globin, alpha-1-globin, Alpha-globin, CD31, hemoglobin alpha 1 globin chain, Hemoglobin alpha chain, hemoglobin alpha-1 chain, hemoglobin subunit alpha, hemoglobin, alpha 1, MGC126895, MGC126897

Gene Symbol

HBA1

Additional Hemoglobin alpha Products

Product Documents for Hemoglobin alpha Antibody (PD00-16)

Certificate of Analysis

To download a Certificate of Analysis, please enter a lot number in the search box below.

Product Specific Notices for Hemoglobin alpha Antibody (PD00-16)

This product is for research use only and is not approved for use in humans or in clinical diagnosis. Primary Antibodies are guaranteed for 1 year from date of receipt.

Loading...
Loading...
Loading...
Loading...