HEBP2 Antibody - Azide and BSA Free
Novus Biologicals, part of Bio-Techne | Catalog # NBP3-04517
Key Product Details
Species Reactivity
Human, Mouse, Rat
Applications
Immunohistochemistry, Immunohistochemistry-Paraffin, Western Blot, Immunocytochemistry/ Immunofluorescence
Label
Unconjugated
Antibody Source
Polyclonal Rabbit IgG
Format
Azide and BSA Free
Concentration
Please see the vial label for concentration. If unlisted please contact technical services.
Product Specifications
Immunogen
Recombinant fusion protein containing a sequence corresponding to amino acids 1-205 of human HEBP2 (NP_055135.1). MAEPLQPDPGAAEDAAAQAVETPGWKAPEDAGPQPGSYEIRHYGPAKWVSTSVESMDWDSAIQTGFTKLNSYIQGKNEKEMKIKMTAPVTSYVEPGSGPFSESTITISLYIPSEQQFDPPRPLESDVFIEDRAEMTVFVRSFDGFSSAQKNQEQLLTLASILREDGKVFDEKVYYTAGYNSPVKLLNRNNEVWLIQKNEPTKENE
Clonality
Polyclonal
Host
Rabbit
Isotype
IgG
Description
Novus Biologicals Rabbit HEBP2 Antibody - Azide and BSA Free (NBP3-04517) is a polyclonal antibody validated for use in IHC, WB and ICC/IF. All Novus Biologicals antibodies are covered by our 100% guarantee.
Scientific Data Images for HEBP2 Antibody - Azide and BSA Free
Western Blot: HEBP2 AntibodyAzide and BSA Free [NBP3-04517]
Western Blot: HEBP2 Antibody [NBP3-04517] - Analysis of extracts of various cell lines, using HEBP2 antibody at 1:1000 dilution. Secondary antibody: HRP Goat Anti-Rabbit IgG (H+L) at 1:10000 dilution. Lysates/proteins: 25ug per lane. Blocking buffer: 3% nonfat dry milk in TBST. Detection: ECL Basic KitImmunocytochemistry/ Immunofluorescence: HEBP2 Antibody - Azide and BSA Free [NBP3-04517]
Immunocytochemistry/Immunofluorescence: HEBP2 Antibody [NBP3-04517] - Analysis of U-2 OS cells using HEBP2 antibody at dilution of 1:100. Blue: DAPI for nuclear staining.Immunohistochemistry-Paraffin: HEBP2 Antibody - Azide and BSA Free [NBP3-04517]
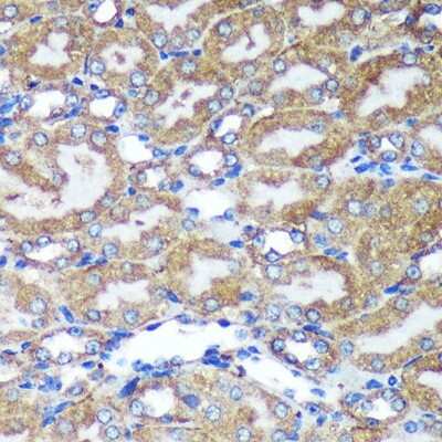
Immunohistochemistry-Paraffin: HEBP2 Antibody [NBP3-04517] - Immunohistochemistry of paraffin-embedded Mouse kidney using HEBP2 Rabbit pAb (NBP3-04517) at dilution of 1:100 (40x lens). Perform microwave antigen retrieval with 10 mM PBS buffer pH 7.2 before commencing with IHC staining protocol.Applications for HEBP2 Antibody - Azide and BSA Free
Application
Recommended Usage
Immunocytochemistry/ Immunofluorescence
1:50-1:200
Immunohistochemistry
1:50-1:200
Western Blot
1:500-1:2000
Formulation, Preparation, and Storage
Purification
Affinity purified
Formulation
PBS (pH 7.3), 50% glycerol
Format
Azide and BSA Free
Preservative
0.01% Thimerosal
Concentration
Please see the vial label for concentration. If unlisted please contact technical services.
Shipping
The product is shipped with polar packs. Upon receipt, store it immediately at the temperature recommended below.
Stability & Storage
Store at -20C. Avoid freeze-thaw cycles.
Background: HEBP2
Alternate Names
C6orf34KIAA1244, chromosome 6 open reading frame 34, heme binding protein 2, heme-binding protein 2, Placental protein 23, PP23, Protein SOUL, SOULC6ORF34B
Gene Symbol
HEBP2
Additional HEBP2 Products
Product Documents for HEBP2 Antibody - Azide and BSA Free
Product Specific Notices for HEBP2 Antibody - Azide and BSA Free
This product is for research use only and is not approved for use in humans or in clinical diagnosis. Primary Antibodies are guaranteed for 1 year from date of receipt.
Loading...
Loading...
Loading...
Loading...
⚠ WARNING: This product can expose you to chemicals including Methotrexate, which is known to the State of California to cause reproductive toxicity with developmental effects. For more information, go to www.P65Warnings.ca.gov