Skip to main content

HEATR2 Antibody - BSA Free

Novus Biologicals, part of Bio-Techne | Catalog # NBP3-46136

Novus Biologicals, part of Bio-Techne
Catalog #
Availability
Size / Price
Qty
Loading...
NBP3-46136

Key Product Details

Species Reactivity

Human, Rat

Applications

Immunohistochemistry, Western Blot, ELISA, Immunocytochemistry/ Immunofluorescence

Label

Unconjugated

Antibody Source

Polyclonal Rabbit IgG

Format

BSA Free

Concentration

Please see the vial label for concentration. If unlisted please contact technical services.

Product Specifications

Immunogen

HEAT repeat containing 2. (Uniprot# Q86Y56)

Clonality

Polyclonal

Host

Rabbit

Isotype

IgG

Theoretical MW

93 kDa.
Disclaimer note: The observed molecular weight of the protein may vary from the listed predicted molecular weight due to post translational modifications, post translation cleavages, relative charges, and other experimental factors.

Description

Novus Biologicals Rabbit HEATR2 Antibody - BSA Free (NBP3-46136) is a polyclonal antibody validated for use in IHC, WB, ELISA and ICC/IF. All Novus Biologicals antibodies are covered by our 100% guarantee.

Scientific Data Images for HEATR2 Antibody - BSA Free

HEATR2 Antibody - BSA Free

Western Blot: HEATR2 Antibody - BSA Free [NBP3-46136] -

Western Blot: HEATR2 Antibody - BSA Free [NBP3-46136] - HEK-293 cells were subjected to SDS PAGE followed by western blot with (HEATR2 Antibody) at dilution of 1:600
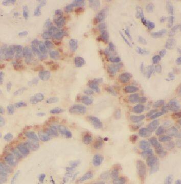
HEATR2 Antibody - BSA Free

Immunohistochemistry: HEATR2 Antibody - BSA Free [NBP3-46136] -

Immunohistochemistry: HEATR2 Antibody - BSA Free [NBP3-46136] - Immunohistochemistry of paraffin-embedded human kidney tissue slide using (HEATR2 Antibody) at dilution of 1:50

Applications for HEATR2 Antibody - BSA Free

Application
Recommended Usage

Immunocytochemistry/ Immunofluorescence

1:20-1:200

Immunohistochemistry

1:20-1:200

Western Blot

1:500-1:2000

Formulation, Preparation, and Storage

Purification

Immunogen affinity purified

Formulation

PBS, 50% Glycerol, pH (7.3)

Format

BSA Free

Preservative

0.02% Sodium Azide

Concentration

Please see the vial label for concentration. If unlisted please contact technical services.

Shipping

The product is shipped with polar packs. Upon receipt, store it immediately at the temperature recommended below.

Stability & Storage

Store at -20C. Avoid freeze-thaw cycles.

Background: HEATR2

Alternate Names

FLJ20397, FLJ25564, FLJ31671, FLJ39381, HEAT repeat containing 2, HEAT repeat-containing protein 2

Gene Symbol

HEATR2

Additional HEATR2 Products

Product Documents for HEATR2 Antibody - BSA Free

Certificate of Analysis

To download a Certificate of Analysis, please enter a lot number in the search box below.

Product Specific Notices for HEATR2 Antibody - BSA Free

This product is for research use only and is not approved for use in humans or in clinical diagnosis. Primary Antibodies are guaranteed for 1 year from date of receipt.

Loading...
Loading...
Loading...
Loading...