Skip to main content

HDLBP Antibody - Azide and BSA Free

Novus Biologicals, part of Bio-Techne | Catalog # NBP3-04382

Novus Biologicals, part of Bio-Techne
Catalog #
Availability
Size / Price
Qty
Loading...
NBP3-04382-100ul
NBP3-04382-20ul

Key Product Details

Species Reactivity

Human, Mouse, Rat

Applications

Immunohistochemistry, Immunohistochemistry-Paraffin, Western Blot, Immunocytochemistry/ Immunofluorescence

Label

Unconjugated

Antibody Source

Polyclonal Rabbit IgG

Format

Azide and BSA Free

Concentration

Please see the vial label for concentration. If unlisted please contact technical services.

Product Specifications

Immunogen

Recombinant fusion protein containing a sequence corresponding to amino acids 1035-1268 of human HDLBP (NP_976221.1). LERVKELQAEQEDRALRSFKLSVTVDPKYHPKIIGRKGAVITQIRLEHDVNIQFPDKDDGNQPQDQITITGYEKNTEAARDAILRIVGELEQMVSEDVPLDHRVHARIIGARGKAIRKIMDEFKVDIRFPQSGAPDPNCVTVTGLPENVEEAIDHILNLEEEYLADVVDSEALQVYMKPPAHEEAKAPSRGFVVRDAPWTASSSEKAPDMSSSEEFPSFGAQVAPKTLPWGPKR

Clonality

Polyclonal

Host

Rabbit

Isotype

IgG

Description

Novus Biologicals Rabbit HDLBP Antibody - Azide and BSA Free (NBP3-04382) is a polyclonal antibody validated for use in IHC, WB and ICC/IF. All Novus Biologicals antibodies are covered by our 100% guarantee.

Scientific Data Images for HDLBP Antibody - Azide and BSA Free

Western Blot: HDLBP AntibodyAzide and BSA Free [NBP3-04382]

Western Blot: HDLBP AntibodyAzide and BSA Free [NBP3-04382]

Western Blot: HDLBP Antibody [NBP3-04382] - Analysis of extracts of various cell lines, using HDLBP antibody at 1:3000 dilution. Secondary antibody: HRP Goat Anti-Rabbit IgG (H+L) at 1:10000 dilution. Lysates/proteins: 25ug per lane. Blocking buffer: 3% nonfat dry milk in TBST. Detection: ECL Basic Kit
Immunocytochemistry/ Immunofluorescence: HDLBP Antibody - Azide and BSA Free [NBP3-04382]

Immunocytochemistry/ Immunofluorescence: HDLBP Antibody - Azide and BSA Free [NBP3-04382]

Immunocytochemistry/Immunofluorescence: HDLBP Antibody [NBP3-04382] - Analysis of L929 cells using HDLBP Rabbit pAb at dilution of 1:100 (40x lens). Blue: DAPI for nuclear staining.
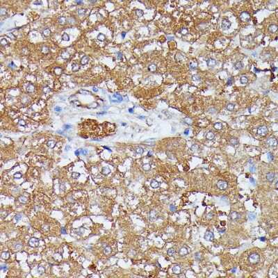
Immunohistochemistry-Paraffin: HDLBP Antibody - Azide and BSA Free [NBP3-04382]

Immunohistochemistry-Paraffin: HDLBP Antibody - Azide and BSA Free [NBP3-04382]

Immunohistochemistry-Paraffin: HDLBP Antibody [NBP3-04382] - Paraffin-embedded mouse liver using HDLBP antibody at dilution of 1:100 (40x lens).

Applications for HDLBP Antibody - Azide and BSA Free

Application
Recommended Usage

Immunocytochemistry/ Immunofluorescence

1:50 - 1:200

Immunohistochemistry

1:50-1:100

Western Blot

1:500-1:2000

Formulation, Preparation, and Storage

Purification

Affinity purified

Formulation

PBS (pH 7.3), 50% glycerol

Format

Azide and BSA Free

Preservative

0.01% Thimerosal

Concentration

Please see the vial label for concentration. If unlisted please contact technical services.

Shipping

The product is shipped with polar packs. Upon receipt, store it immediately at the temperature recommended below.

Stability & Storage

Store at -20C. Avoid freeze-thaw cycles.

Background: HDLBP

HDL-binding protein 1 (HDLBP) is a novel protein that may be involved in the regulation of the delivery of fats to cells for energy and storage. Digested fats travel to the small intestine, where they are packaged into chylomicrons (particles filled with triglycerides). Chylomicrons then travel through the bloodstream and deliver triglycerides to tissues that are hungry for fuel or to adipose tissue for energy storage. Triglycerides are broken down or hydrolyzed by the enzyme lipoprotein lipase (LpL). The triglyceride breakdown products are then taken up and used by cells. HDLBP is the molecule in capillaries that facilitates the capture of chylomicrons and facilitates the interaction with LpL. It has been shown that fats in the bloodstream are not readily metabolized in the absence of HDLBP.

Alternate Names

HBPFLJ16432, HDL-binding protein, high density lipoprotein binding protein, High density lipoprotein-binding protein, PRO2900, VGLvigilin

Gene Symbol

HDLBP

Additional HDLBP Products

Product Documents for HDLBP Antibody - Azide and BSA Free

Certificate of Analysis

To download a Certificate of Analysis, please enter a lot number in the search box below.

Product Specific Notices for HDLBP Antibody - Azide and BSA Free

This product is for research use only and is not approved for use in humans or in clinical diagnosis. Primary Antibodies are guaranteed for 1 year from date of receipt.

Loading...
Loading...
Loading...
Loading...

⚠ WARNING: This product can expose you to chemicals including Methotrexate, which is known to the State of California to cause reproductive toxicity with developmental effects. For more information, go to www.P65Warnings.ca.gov