Skip to main content

HDHD1A Antibody - BSA Free

Novus Biologicals, part of Bio-Techne | Catalog # NBP2-14971

Novus Biologicals, part of Bio-Techne
Catalog #
Availability
Size / Price
Qty
Loading...
NBP2-14971

Key Product Details

Species Reactivity

Human

Applications

Immunohistochemistry, Immunohistochemistry-Paraffin, Western Blot, Immunocytochemistry/ Immunofluorescence

Label

Unconjugated

Antibody Source

Polyclonal Rabbit IgG

Format

BSA Free

Concentration

Concentrations vary lot to lot. See vial label for concentration. If unlisted please contact technical services.

Product Specifications

Immunogen

Recombinant protein encompassing a sequence within the center region of human HDHD1A. The exact sequence is proprietary.

Clonality

Polyclonal

Host

Rabbit

Isotype

IgG

Theoretical MW

25 kDa.
Disclaimer note: The observed molecular weight of the protein may vary from the listed predicted molecular weight due to post translational modifications, post translation cleavages, relative charges, and other experimental factors.

Description

Novus Biologicals Rabbit HDHD1A Antibody - BSA Free (NBP2-14971) is a polyclonal antibody validated for use in IHC, WB and ICC/IF. All Novus Biologicals antibodies are covered by our 100% guarantee.

Scientific Data Images for HDHD1A Antibody - BSA Free

Western Blot: HDHD1A Antibody [NBP2-14971]

Western Blot: HDHD1A Antibody [NBP2-14971]

Western Blot: HDHD1A Antibody [NBP2-14971] - Sample (30 ug of whole cell lysate) A: Hep G2 12% SDS PAGE; antibody diluted at 1:1000.
Immunocytochemistry/ Immunofluorescence: HDHD1A Antibody [NBP2-14971]

Immunocytochemistry/ Immunofluorescence: HDHD1A Antibody [NBP2-14971]

Immunocytochemistry/Immunofluorescence: HDHD1A Antibody [NBP2-14971] - Sample: HepG2 cells were fixed in 4% paraformaldehyde at RT for 15 min. Green: HDHD1A protein stained by GS1 antibody diluted at 1:500. Blue: Hoechst 33343 staining.
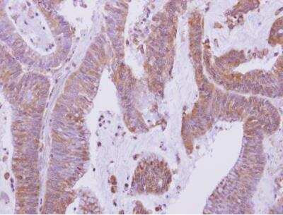
Immunohistochemistry-Paraffin: HDHD1A Antibody [NBP2-14971]

Immunohistochemistry-Paraffin: HDHD1A Antibody [NBP2-14971]

Immunohistochemistry-Paraffin: HDHD1A Antibody [NBP2-14971] - Paraffin-embedded colon carcinoma. GS1 antibody dilution: 1:500.

Applications for HDHD1A Antibody - BSA Free

Application
Recommended Usage

Immunocytochemistry/ Immunofluorescence

1:100-1:1000

Immunohistochemistry

1:100-1:1000

Immunohistochemistry-Paraffin

1:100-1:1000

Western Blot

1:500-1:3000

Formulation, Preparation, and Storage

Purification

Antigen Affinity-purified

Formulation

0.1M Tris, 0.1M Glycine, 20% Glycerol

Format

BSA Free

Preservative

0.01% Thimerosal

Concentration

Concentrations vary lot to lot. See vial label for concentration. If unlisted please contact technical services.

Shipping

The product is shipped with polar packs. Upon receipt, store it immediately at the temperature recommended below.

Stability & Storage

Aliquot and store at -20C or -80C. Avoid freeze-thaw cycles.

Background: HDHD1A

This gene encodes a member of the haloacid dehalogenase-like (HAD) hydrolase superfamily. The encoded protein has no known biological function. This gene has a pseudogene on chromosome 1. Multiple alternatively spliced transcript variants encoding different isoforms have been identified. [provided by RefSeq]

Alternate Names

DXF68S1E5'-PsiMPase, EC 3.1.3.n6, family with sequence similarity 16, member A, X-linked, GS1FAM16AX, haloacid dehalogenase-like hydrolase domain containing 1, haloacid dehalogenase-like hydrolase domain containing 1A, Haloacid dehalogenase-like hydrolase domain-containing protein 1, Haloacid dehalogenase-like hydrolase domain-containing protein 1A, HDHD1Apseudouridine-5'-monophosphatase, Protein GS1

Gene Symbol

PUDP

UniProt

Additional HDHD1A Products

Product Documents for HDHD1A Antibody - BSA Free

Certificate of Analysis

To download a Certificate of Analysis, please enter a lot number in the search box below.

Product Specific Notices for HDHD1A Antibody - BSA Free

This product is for research use only and is not approved for use in humans or in clinical diagnosis. Primary Antibodies are guaranteed for 1 year from date of receipt.

Loading...
Loading...
Loading...
Loading...

⚠ WARNING: This product can expose you to chemicals including mercury, which is known to the State of California to cause reproductive toxicity with developmental effects.  For more information go to www.P65Warnings.ca.gov.