Skip to main content

HDAC5 Antibody - BSA Free

Novus Biologicals, part of Bio-Techne | Catalog # NBP1-83436

Novus Biologicals, part of Bio-Techne
Catalog #
Availability
Size / Price
Qty
Loading...
NBP1-83436
NBP1-83436-25ul

Key Product Details

Species Reactivity

Human

Applications

Immunohistochemistry, Immunohistochemistry-Paraffin, Immunocytochemistry/ Immunofluorescence

Label

Unconjugated

Antibody Source

Polyclonal Rabbit IgG

Format

BSA Free

Concentration

Concentrations vary lot to lot. See vial label for concentration. If unlisted please contact technical services.

Product Specifications

Immunogen

This antibody was developed against Recombinant Protein corresponding to amino acids: THPEETEEELTEQQEVLLGEGALTMPREGSTESESTQEDLEEEDEEDDGEEEEDCIQVKDEEGESGAEEGPDLEEPGAGYKKLFSDAQP

Reactivity Notes

Immunogen displays the following percentage of sequence identity for non-tested species: Mouse (85%), Rat (84%)

Clonality

Polyclonal

Host

Rabbit

Isotype

IgG

Description

Novus Biologicals Rabbit HDAC5 Antibody - BSA Free (NBP1-83436) is a polyclonal antibody validated for use in IHC and ICC/IF. All Novus Biologicals antibodies are covered by our 100% guarantee.

Scientific Data Images for HDAC5 Antibody - BSA Free

Immunocytochemistry/ Immunofluorescence: HDAC5 Antibody [NBP1-83436]

Immunocytochemistry/ Immunofluorescence: HDAC5 Antibody [NBP1-83436]

Immunocytochemistry/Immunofluorescence: HDAC5 Antibody [NBP1-83436] - Immunofluorescent staining of human cell line A-431 shows localization to nuclear speckles, cytosol & the Golgi apparatus.
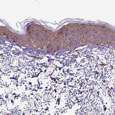
Immunohistochemistry-Paraffin: HDAC5 Antibody [NBP1-83436]

Immunohistochemistry-Paraffin: HDAC5 Antibody [NBP1-83436]

Immunohistochemistry-Paraffin: HDAC5 Antibody [NBP1-83436] - Staining of human skin shows moderate cytoplasmic positivity and strong nuclear positivity in squamous epithelial cells.
Immunohistochemistry-Paraffin: HDAC5 Antibody [NBP1-83436]

Immunohistochemistry-Paraffin: HDAC5 Antibody [NBP1-83436]

Immunohistochemistry-Paraffin: HDAC5 Antibody [NBP1-83436] - Staining of human placenta shows moderate cytoplasmic positivity and strong nuclear positivity in trophoblastic cells.

Applications for HDAC5 Antibody - BSA Free

Application
Recommended Usage

Immunocytochemistry/ Immunofluorescence

0.25-2 ug/ml

Immunohistochemistry

1:200 - 1:500

Immunohistochemistry-Paraffin

1:200 - 1:500
Application Notes
For IHC-Paraffin, HIER pH 6 retrieval is recommended. Immunocytochemistry/Immunofluorescence Fixation Permeabilization: Use PFA/Triton X-100.

Formulation, Preparation, and Storage

Purification

Affinity purified

Formulation

PBS (pH 7.2) and 40% Glycerol

Format

BSA Free

Preservative

0.02% Sodium Azide

Concentration

Concentrations vary lot to lot. See vial label for concentration. If unlisted please contact technical services.

Shipping

The product is shipped with polar packs. Upon receipt, store it immediately at the temperature recommended below.

Stability & Storage

Store at 4C short term. Aliquot and store at -20C long term. Avoid freeze-thaw cycles.

Background: Histone Deacetylase 5/HDAC5

In the intact cell, DNA closely associates with histones and other nuclear proteins to form chromatin. The remodeling of chromatin is believed to be a critical component of transcriptional regulation and a major source of this remodeling is brought about by the acetylation of nucleosomal histones. Acetylation of lysine residues in the amino terminal tail domain of histone results in an allosteric change in the nucleosomal conformation and an increased accessibility to transcription factors by DNA. Conversely, the deacetylation of histones is associated with transcriptional silencing. Several mammalian proteins have been identified as nuclear histone acetylases, including GCN5, PCAF(p300/CBP- associated factor), p300/CBP, HAT1 and the TFIID subunit TAF II p250. Mammalian HDAC1 (also designated HD1), HDAC2 (also designated RPD3) and HDAC3-6, have been identified as histone deacetylases.

Long Name

Histone Deacetylase 5

Alternate Names

FLJ90614, KIAA0600, NY-CO-9

Gene Symbol

HDAC5

Additional Histone Deacetylase 5/HDAC5 Products

Product Documents for HDAC5 Antibody - BSA Free

Certificate of Analysis

To download a Certificate of Analysis, please enter a lot number in the search box below.

Product Specific Notices for HDAC5 Antibody - BSA Free

This product is for research use only and is not approved for use in humans or in clinical diagnosis. Primary Antibodies are guaranteed for 1 year from date of receipt.

Loading...
Loading...
Loading...
Loading...