Skip to main content

HBO1 Antibody - BSA Free

Novus Biologicals, part of Bio-Techne | Catalog # NBP3-38191

Novus Biologicals, part of Bio-Techne
Catalog #
Availability
Size / Price
Qty
Loading...
NBP3-38191-20ul
NBP3-38191-100ul

Key Product Details

Species Reactivity

Human, Mouse, Rat

Applications

Immunohistochemistry, Immunohistochemistry-Paraffin, Western Blot, ELISA, Immunocytochemistry/ Immunofluorescence

Label

Unconjugated

Antibody Source

Polyclonal Rabbit IgG

Format

BSA Free

Concentration

Please see the vial label for concentration. If unlisted please contact technical services.

Product Specifications

Immunogen

Recombinant fusion protein containing a sequence corresponding to amino acids 55-193 of human HBO1 (NP_008998.1).

Sequence:
DSSPVRNLQSFGTEEPAYSTRRVTRSQQQPTPVTPKKYPLRQTRSSGSETEQVVDFSDRETKNTADHDESPPRTPTGNAPSSESDIDISSPNVSHDESIAKDMSLKDSGSDLSHRPKRRRFHESYNFNMKCPTPGCNSL

Clonality

Polyclonal

Host

Rabbit

Isotype

IgG

Theoretical MW

71 kDa.
Disclaimer note: The observed molecular weight of the protein may vary from the listed predicted molecular weight due to post translational modifications, post translation cleavages, relative charges, and other experimental factors.

Description

Novus Biologicals Rabbit HBO1 Antibody - BSA Free (NBP3-38191) is a polyclonal antibody validated for use in IHC, WB, ELISA and ICC/IF. All Novus Biologicals antibodies are covered by our 100% guarantee.

Scientific Data Images for HBO1 Antibody - BSA Free

HBO1 Antibody

Immunohistochemistry: HBO1 Antibody [NBP3-38191] -

Immunohistochemistry: HBO1 Antibody [NBP3-38191] - Immunohistochemistry analysis of paraffin-embedded Rat kidney using HBO1 Rabbit pAb at dilution of 1:100 (40x lens). Microwave antigen retrieval performed with 0.01M PBS Buffer (pH 7.2) prior to IHC staining.
HBO1 Antibody

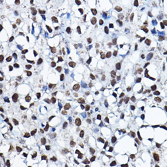
Immunohistochemistry: HBO1 Antibody [NBP3-38191] -

Immunohistochemistry: HBO1 Antibody [NBP3-38191] - Immunohistochemistry analysis of paraffin-embedded Rat spleen using HBO1 Rabbit pAb at dilution of 1:100 (40x lens). Microwave antigen retrieval performed with 0.01M PBS Buffer (pH 7.2) prior to IHC staining.
HBO1 Antibody

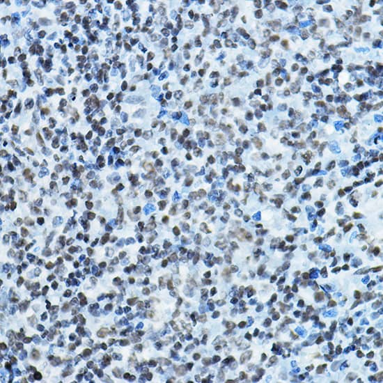
Immunohistochemistry: HBO1 Antibody [NBP3-38191] -

Immunohistochemistry: HBO1 Antibody [NBP3-38191] - Immunohistochemistry analysis of paraffin-embedded Mouse liver using HBO1 Rabbit pAb at dilution of 1:100 (40x lens). Microwave antigen retrieval performed with 0.01M PBS Buffer (pH 7.2) prior to IHC staining.

Applications for HBO1 Antibody - BSA Free

Application
Recommended Usage

Immunocytochemistry/ Immunofluorescence

1:50 - 1:200

Immunohistochemistry-Paraffin

1:50 - 1:200

Western Blot

1:500 - 1:2000

Formulation, Preparation, and Storage

Purification

Affinity purified

Formulation

PBS (pH 7.3), 50% glycerol

Format

BSA Free

Preservative

0.02% Sodium Azide

Concentration

Please see the vial label for concentration. If unlisted please contact technical services.

Shipping

The product is shipped with polar packs. Upon receipt, store it immediately at the temperature recommended below.

Stability & Storage

Store at -20C. Avoid freeze-thaw cycles.

Background: HBO1

HBO1 (human acetylase binding to ORC1) is a MYST family histone acetylase. HBO1 has shown to be targeted to origins of replication in association with the licensing factor Cdt1 and to also interact with transcriptional activator proteins.

Long Name

Histone acetyltransferase KAT7

Alternate Names

EC 2.3.1.48, HBOa, KAT7, MYST-2, MYST2

Gene Symbol

KAT7

Additional HBO1 Products

Product Documents for HBO1 Antibody - BSA Free

Certificate of Analysis

To download a Certificate of Analysis, please enter a lot number in the search box below.

Product Specific Notices for HBO1 Antibody - BSA Free

This product is for research use only and is not approved for use in humans or in clinical diagnosis. Primary Antibodies are guaranteed for 1 year from date of receipt.

Loading...
Loading...
Loading...
Loading...