Skip to main content

HBO1 Antibody

Novus Biologicals, part of Bio-Techne | Catalog # NBP2-16784

Novus Biologicals, part of Bio-Techne
Catalog #
Availability
Size / Price
Qty
Loading...
NBP2-16784

Key Product Details

Species Reactivity

Validated:

Human, Mouse

Predicted:

Xenopus (94%). Backed by our 100% Guarantee.

Applications

Immunohistochemistry, Immunohistochemistry-Paraffin, Western Blot

Label

Unconjugated

Antibody Source

Polyclonal Rabbit IgG

Concentration

Concentrations vary lot to lot. See vial label for concentration. If unlisted please contact technical services.

Product Specifications

Immunogen

Recombinant protein encompassing a sequence within the center region of human HBO1. The exact sequence is proprietary.

Reactivity Notes

Immunogen displays the following percentage of sequence identity for non-tested species: Zebrafish (84%).

Localization

Nucleus; nucleoplasm

Clonality

Polyclonal

Host

Rabbit

Isotype

IgG

Theoretical MW

71 kDa.
Disclaimer note: The observed molecular weight of the protein may vary from the listed predicted molecular weight due to post translational modifications, post translation cleavages, relative charges, and other experimental factors.

Description

Novus Biologicals Rabbit HBO1 Antibody (NBP2-16784) is a polyclonal antibody validated for use in IHC and WB. All Novus Biologicals antibodies are covered by our 100% guarantee.

Scientific Data Images for HBO1 Antibody

Western Blot: HBO1 Antibody [NBP2-16784]

Western Blot: HBO1 Antibody [NBP2-16784]

Western Blot: HBO1 Antibody [NBP2-16784] - Sample (50 ug of whole cell lysate) A: Mouse Brain, 7. 5% SDS PAGE gel, diluted at 1:1000.
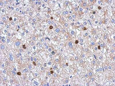
Immunohistochemistry-Paraffin: HBO1 Antibody [NBP2-16784]

Immunohistochemistry-Paraffin: HBO1 Antibody [NBP2-16784]

Immunohistochemistry-Paraffin: HBO1 Antibody [NBP2-16784] - Immunohistochemical analysis of paraffin-embedded Hepatoma, using antibody at 1:250 dilution.
HBO1 Antibody

Western Blot: HBO1 Antibody [NBP2-16784] -

Sample (30 ug of whole cell lysate)
A: MCF-7
7.5% SDS PAGE
NBP2-16784 diluted at 1:1000

Applications for HBO1 Antibody

Application
Recommended Usage

Immunohistochemistry

10 - 1:500

Immunohistochemistry-Paraffin

1:100-1:1000

Western Blot

1:500-1:3000

Formulation, Preparation, and Storage

Purification

Antigen Affinity-purified

Formulation

PBS, 1% BSA, 20% Glycerol

Preservative

0.01% Thimerosal

Concentration

Concentrations vary lot to lot. See vial label for concentration. If unlisted please contact technical services.

Shipping

The product is shipped with polar packs. Upon receipt, store it immediately at the temperature recommended below.

Stability & Storage

Aliquot and store at -20C or -80C. Avoid freeze-thaw cycles.

Background: HBO1

Component of the HBO1 complex which has a histone H4-specific acetyltransferase activity, a reduced activity toward histone H3 and is responsible for the bulk of histone H4 acetylation in vivo. Through chromatin acetylation it may regulate DNA replication and act as a coactivator of TP53-dependent transcription. Specifically represses AR-mediated transcription.

Long Name

Histone acetyltransferase KAT7

Alternate Names

EC 2.3.1.48, HBOa, KAT7, MYST-2, MYST2

Gene Symbol

KAT7

UniProt

Additional HBO1 Products

Product Documents for HBO1 Antibody

Certificate of Analysis

To download a Certificate of Analysis, please enter a lot number in the search box below.

Product Specific Notices for HBO1 Antibody

This product is for research use only and is not approved for use in humans or in clinical diagnosis. Primary Antibodies are guaranteed for 1 year from date of receipt.

Loading...
Loading...
Loading...
Loading...

⚠ WARNING: This product can expose you to chemicals including mercury, which is known to the State of California to cause reproductive toxicity with developmental effects.  For more information go to www.P65Warnings.ca.gov.