Skip to main content

Haptoglobin Antibody (HP/4815) - Azide and BSA Free

Novus Biologicals, part of Bio-Techne | Catalog # NBP3-26949

Novus Biologicals, part of Bio-Techne

Key Product Details

Species Reactivity

Human

Applications

Immunohistochemistry-Paraffin

Label

Unconjugated

Antibody Source

Monoclonal Mouse IgG1 kappa Clone # HP/4815

Format

Azide and BSA Free

Concentration

1 mg/ml

Product Specifications

Immunogen

Recombinant fragment (around aa100-250) of human Haptoglobin protein (exact sequence is proprietary)

Localization

Secreted, Selective granular cytoplasmic expression in liver with distinct positivity in plasma and extracellular matrix

Clonality

Monoclonal

Host

Mouse

Isotype

IgG1 kappa

Description

Antibody without azide - store at -20 to -80C. Non-hazardous. No MSDS required.

Scientific Data Images for Haptoglobin Antibody (HP/4815) - Azide and BSA Free

Haptoglobin Antibody (HP/4815)

Protein Array: Haptoglobin Antibody (HP/4815) - Azide and BSA Free [NBP3-26949] -

Analysis of Protein Array containing more than 19,000 full-length human proteins using Haptoglobin-Monospecific Mouse Monoclonal Antibody (HP/4815)
Haptoglobin Antibody (HP/4815)

Immunohistochemistry-Paraffin: Haptoglobin Antibody (HP/4815) - Azide and BSA Free [NBP3-26949] -

Formalin-fixed, paraffin-embedded human hepatocellular carcinoma stained with Haptoglobin Antibody (HP/4815) - Azide and BSA Free. HIER: Tris/EDTA, pH9.0, 45min. 2°C: HRP-polymer, 30min. DAB, 5min.
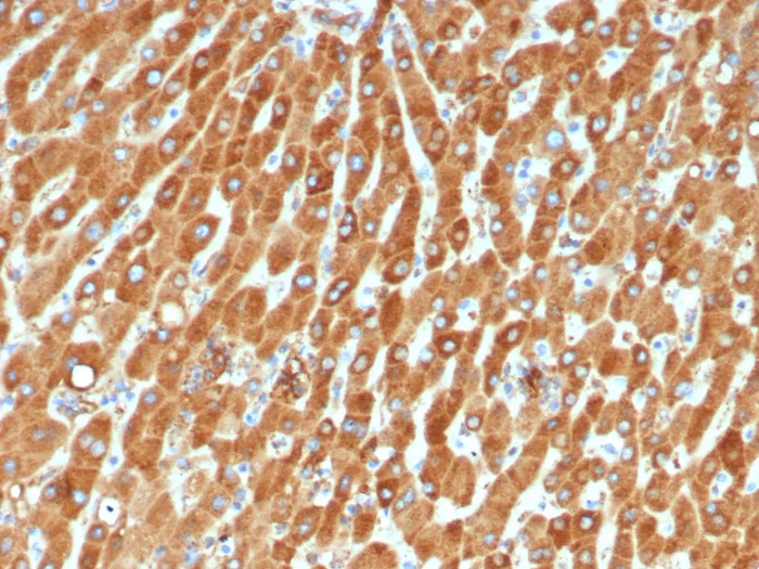
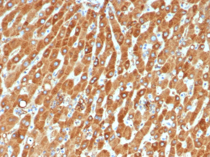
Haptoglobin Antibody (HP/4815)

Immunohistochemistry-Paraffin: Haptoglobin Antibody (HP/4815) - Azide and BSA Free [NBP3-26949] -

Formalin-fixed, paraffin-embedded human liver stained with Haptoglobin Antibody (HP/4815) - Azide and BSA Free. HIER: Tris/EDTA, pH9.0, 45min. 2°C: HRP-polymer, 30min. DAB, 5min.

Applications for Haptoglobin Antibody (HP/4815) - Azide and BSA Free

Application
Recommended Usage

Immunohistochemistry-Paraffin

1-2ug/ml for 30 minutes at RT
Application Notes
Immunohistochemistry-Paraffin 1-2ug/ml for 30 minutes at RT. Optimal dilution for a specific application should be determined.. Staining of formalin-fixed tissues requires heating tissue sections in 10mM Tris with 1mM EDTA, pH 9.0, for 45 min at 95C followed by cooling at RT for 20 minutes

Formulation, Preparation, and Storage

Purification

Protein A or G purified

Formulation

10mM PBS

Format

Azide and BSA Free

Preservative

No Preservative

Concentration

1 mg/ml

Shipping

The product is shipped with polar packs. Upon receipt, store it immediately at the temperature recommended below.

Stability & Storage

Store at -20 to -80C. Avoid freeze-thaw cycles.

Background: Haptoglobin

Haptoglobin combines with free plasma hemoglobin, preventing loss of iron through the kidneys and protecting the kidneys from damage by hemoglobin, while making the hemoglobin accessible to degradative enzymes.

Alternate Names

HP, HP-1, hp2-alpha, HPA1S

Gene Symbol

HP

Additional Haptoglobin Products

Product Documents for Haptoglobin Antibody (HP/4815) - Azide and BSA Free

Certificate of Analysis

To download a Certificate of Analysis, please enter a lot number in the search box below.

Product Specific Notices for Haptoglobin Antibody (HP/4815) - Azide and BSA Free

This product is for research use only and is not approved for use in humans or in clinical diagnosis. Primary Antibodies are guaranteed for 1 year from date of receipt.

Loading...
Loading...
Loading...
Loading...