Skip to main content

Haptoglobin Antibody (HP/4815)

Novus Biologicals, part of Bio-Techne | Catalog # NBP3-26801

Novus Biologicals, part of Bio-Techne
Catalog #
Availability
Size / Price
Qty
Loading...
NBP3-26801-20ug
NBP3-26801-100ug

Key Product Details

Species Reactivity

Human

Applications

Immunohistochemistry-Paraffin

Label

Unconjugated

Antibody Source

Monoclonal Mouse IgG1 kappa Clone # HP/4815

Concentration

0.2 mg/ml

Product Specifications

Immunogen

Recombinant fragment (around aa100-250) of human Haptoglobin protein (exact sequence is proprietary)

Localization

Secreted, Selective granular cytoplasmic expression in liver with distinct positivity in plasma and extracellular matrix

Clonality

Monoclonal

Host

Mouse

Isotype

IgG1 kappa

Description

Antibody with azide - store at 2 to 8C. Antibody without azide - store at -20 to -80C. Non-hazardous. No MSDS required.

Scientific Data Images for Haptoglobin Antibody (HP/4815)

Haptoglobin Antibody (HP/4815)

Protein Array: Haptoglobin Antibody (HP/4815) [NBP3-26801 ] -

Analysis of Protein Array containing more than 19,000 full-length human proteins using Haptoglobin-Monospecific Mouse Monoclonal Antibody (HP/4815)
Haptoglobin Antibody (HP/4815)

Immunohistochemistry-Paraffin: Haptoglobin Antibody (HP/4815) [NBP3-26801 ] -

Formalin-fixed, paraffin-embedded human liver stained with Haptoglobin Antibody (HP/4815). HIER: Tris/EDTA, pH9.0, 45min. 2°C: HRP-polymer, 30min. DAB, 5min.
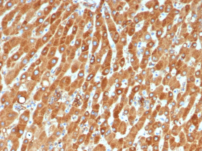
Haptoglobin Antibody (HP/4815)

Immunohistochemistry-Paraffin: Haptoglobin Antibody (HP/4815) [NBP3-26801 ] -

Formalin-fixed, paraffin-embedded human hepatocellular carcinoma stained with Haptoglobin Antibody (HP/4815). HIER: Tris/EDTA, pH9.0, 45min. 2°C: HRP-polymer, 30min. DAB, 5min.

Applications for Haptoglobin Antibody (HP/4815)

Application
Recommended Usage

Immunohistochemistry-Paraffin

1-2ug/ml for 30 minutes at RT
Application Notes
Immunohistochemistry-Paraffin 1-2ug/ml for 30 minutes at RT. Optimal dilution for a specific application should be determined.. Staining of formalin-fixed tissues requires heating tissue sections in 10mM Tris with 1mM EDTA, pH 9.0, for 45 min at 95C followed by cooling at RT for 20 minutes

Formulation, Preparation, and Storage

Purification

Protein A or G purified

Formulation

10mM PBS with 0.05% BSA

Preservative

0.05% Sodium Azide

Concentration

0.2 mg/ml

Shipping

The product is shipped with polar packs. Upon receipt, store it immediately at the temperature recommended below.

Stability & Storage

Store at 4C.

Background: Haptoglobin

Haptoglobin combines with free plasma hemoglobin, preventing loss of iron through the kidneys and protecting the kidneys from damage by hemoglobin, while making the hemoglobin accessible to degradative enzymes.

Alternate Names

HP, HP-1, hp2-alpha, HPA1S

Gene Symbol

HP

Additional Haptoglobin Products

Product Documents for Haptoglobin Antibody (HP/4815)

Certificate of Analysis

To download a Certificate of Analysis, please enter a lot number in the search box below.

Product Specific Notices for Haptoglobin Antibody (HP/4815)

This product is for research use only and is not approved for use in humans or in clinical diagnosis. Primary Antibodies are guaranteed for 1 year from date of receipt.

Loading...
Loading...
Loading...
Loading...