Skip to main content

Haptoglobin Antibody (5A5) - BSA Free

Novus Biologicals, part of Bio-Techne | Catalog # NBP3-26220

Recombinant monoclonal antibody expressed in HEK293F cells
Novus Biologicals, part of Bio-Techne
Catalog #
Availability
Size / Price
Qty
Loading...
NBP3-26220-100ul
NBP3-26220-50ul

Key Product Details

Species Reactivity

Human

Applications

ELISA, Immunohistochemistry

Label

Unconjugated

Antibody Source

Recombinant Monoclonal Rabbit IgG Clone # 5A5 expressed in HEK293

Format

BSA Free

Concentration

Please see the vial label for concentration. If unlisted please contact technical services.

Product Specifications

Immunogen

A synthesized peptide derived from Human Haptoglobin [UniProt P00738]

Clonality

Monoclonal

Host

Rabbit

Isotype

IgG

Description

Novus Biologicals Rabbit Haptoglobin Antibody (5A5) - BSA Free (NBP3-26220) is a recombinant monoclonal antibody validated for use in IHC and ELISA. All Novus Biologicals antibodies are covered by our 100% guarantee.

Scientific Data Images for Haptoglobin Antibody (5A5) - BSA Free

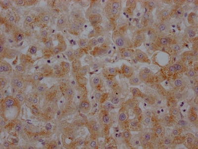
Haptoglobin Antibody (5A5)

Immunohistochemistry: Haptoglobin Antibody (5A5) [NBP3-26220] -

Immunohistochemistry: Haptoglobin Antibody (5A5) [NBP3-26220] - Image of Haptoglobin Antibody (5A5) diluted at 1:100 and staining in paraffin-embedded human placenta tissue performed. After dewaxing and hydration, antigen retrieval was mediated by high pressure in a citrate buffer (pH 6.0). Section was blocked with 10% normal goat serum 30min at RT. Then primary antibody (1% BSA) was incubated at 4C overnight. The primary is detected by a Goat anti-rabbit IgG polymer labeled by HRP and visualized using 0.05% DAB.
Haptoglobin Antibody (5A5)

Immunohistochemistry: Haptoglobin Antibody (5A5) [NBP3-26220] -

Immunohistochemistry: Haptoglobin Antibody (5A5) [NBP3-26220] - Image of Haptoglobin Antibody (5A5) diluted at 1:100 and staining in paraffin-embedded human placenta tissue performed. After dewaxing and hydration, antigen retrieval was mediated by high pressure in a citrate buffer (pH 6.0). Section was blocked with 10% normal goat serum 30min at RT. Then primary antibody (1% BSA) was incubated at 4C overnight. The primary is detected by a Goat anti-rabbit IgG polymer labeled by HRP and visualized using 0.05% DAB.

Applications for Haptoglobin Antibody (5A5) - BSA Free

Application
Recommended Usage

Immunohistochemistry

1:50-1:200

Formulation, Preparation, and Storage

Purification

Affinity purified

Formulation

PBS, pH 7.4, 150mM NaCl, and 50% glycerol

Format

BSA Free

Preservative

0.02% Sodium Azide

Concentration

Please see the vial label for concentration. If unlisted please contact technical services.

Shipping

The product is shipped with polar packs. Upon receipt, store it immediately at the temperature recommended below.

Stability & Storage

Store at -20 to -70C. Avoid freeze-thaw cycles.

Background: Haptoglobin

Haptoglobin combines with free plasma hemoglobin, preventing loss of iron through the kidneys and protecting the kidneys from damage by hemoglobin, while making the hemoglobin accessible to degradative enzymes.

Alternate Names

HP, HP-1, hp2-alpha, HPA1S

Gene Symbol

HP

Additional Haptoglobin Products

Product Documents for Haptoglobin Antibody (5A5) - BSA Free

Certificate of Analysis

To download a Certificate of Analysis, please enter a lot number in the search box below.

Product Specific Notices for Haptoglobin Antibody (5A5) - BSA Free

This product is for research use only and is not approved for use in humans or in clinical diagnosis. Primary Antibodies are guaranteed for 1 year from date of receipt.

Loading...
Loading...
Loading...
Loading...