Skip to main content

HAPLN2 Antibody (GT107)

Novus Biologicals, part of Bio-Techne | Catalog # NBP3-48853

Recombinant Monoclonal Antibody
Novus Biologicals, part of Bio-Techne
Catalog #
Availability
Size / Price
Qty
Loading...
NBP3-48853

Key Product Details

Validated by

Orthogonal Validation

Species Reactivity

Mouse

Applications

Immunohistochemistry, Immunohistochemistry-Paraffin, Western Blot

Label

Unconjugated

Antibody Source

Recombinant Monoclonal Mouse IgG2B Clone # GT107

Concentration

Concentrations vary lot to lot. See vial label for concentration. If unlisted please contact technical services.

Product Specifications

Immunogen

The immunogen used to generate this antibody corresponds to human HAPLN2.

Clonality

Monoclonal

Host

Mouse

Isotype

IgG2B

Description

Novus Biologicals Mouse HAPLN2 Antibody (GT107) (NBP3-48853) is a recombinant monoclonal antibody validated for use in IHC and WB. All Novus Biologicals antibodies are covered by our 100% guarantee.

Scientific Data Images for HAPLN2 Antibody (GT107)

HAPLN2 Antibody (GT107)

Western Blot: HAPLN2 Antibody (GT107) [NBP3-48853] -

Various tissue extracts (50 ug) were separated by 10% SDS-PAGE, and the membrane was blotted with HAPLN2 antibody [GT107] (NBP3-48853) diluted at 1:1000. The HRP-conjugated anti-mouse IgG antibody was used to detect the primary antibody. Corresponding RNA expression data are based on NCBI database.
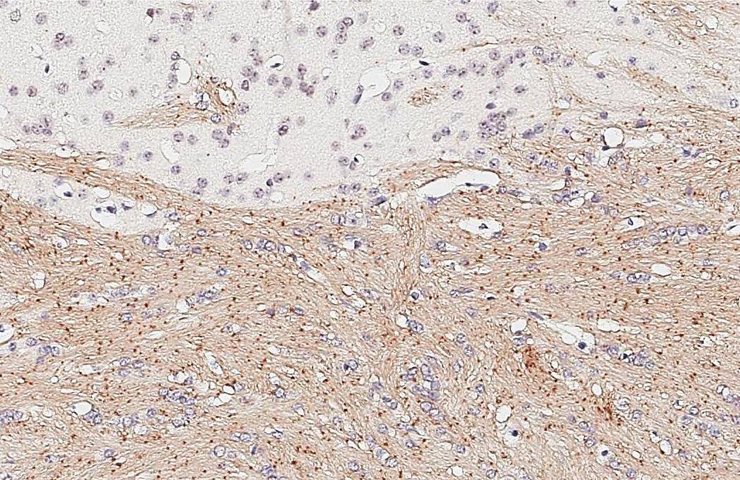
HAPLN2 Antibody (GT107)

Immunohistochemistry-Paraffin: HAPLN2 Antibody (GT107) [NBP3-48853] -

HAPLN2 antibody [GT107] detects HAPLN2 protein by immunohistochemical analysis.
Sample: Paraffin-embedded mouse striatum.
HAPLN2 stained by HAPLN2 antibody [GT107] (NBP3-48853) diluted at 1:200.
Antigen Retrieval: Citrate buffer, pH 6.0, 15 min
HAPLN2 Antibody (GT107)

Immunohistochemistry-Paraffin: HAPLN2 Antibody (GT107) [NBP3-48853] -

HAPLN2 antibody [GT107] detects HAPLN2 protein by immunohistochemical analysis.
Sample: Paraffin-embedded mouse tissues.
HAPLN2 stained by HAPLN2 antibody [GT107] (NBP3-48853) diluted at 1:200.
Antigen Retrieval: Citrate buffer, pH 6.0, 15 min

Applications for HAPLN2 Antibody (GT107)

Application
Recommended Usage

Immunohistochemistry

Optimal dilutions of this antibody should be experimentally determined.

Immunohistochemistry-Paraffin

Optimal dilutions of this antibody should be experimentally determined.

Western Blot

Optimal dilutions of this antibody should be experimentally determined.

Formulation, Preparation, and Storage

Purification

Protein A purified

Formulation

PBS

Preservative

No Preservative

Concentration

Concentrations vary lot to lot. See vial label for concentration. If unlisted please contact technical services.

Shipping

The product is shipped with polar packs. Upon receipt, store it immediately at the temperature recommended below.

Stability & Storage

Store at 4C short term. Aliquot and store at -20C long term. Avoid freeze-thaw cycles.

Background: HAPLN2

The 340 amino acid long, 37 kDA hyaluronan and proteoglycan link protein 2 encoded by the HAPLN2 gene monitors binding of versication V2 to hyaluronic acid. This protein may be a participant in the formation of the hyaluronan-associated matrix in the central nervous system (CNS). This matrix encourages neuronal confuction and structural stabilization. HAPLN2 participates in PTEN pathway, MAPK signaling, UPA-UPAR pathway, and transendothelial migration of leukocytes. It has been researched regarding its role in rabies, schizophrenia, neuronitis, and malignant glioma.

Long Name

Hyaluronan And Proteoglycan Link Protein 2

Alternate Names

BRAL1

Gene Symbol

HAPLN2

Additional HAPLN2 Products

Product Documents for HAPLN2 Antibody (GT107)

Certificate of Analysis

To download a Certificate of Analysis, please enter a lot number in the search box below.

Product Specific Notices for HAPLN2 Antibody (GT107)

This product is for research use only and is not approved for use in humans or in clinical diagnosis. Primary Antibodies are guaranteed for 1 year from date of receipt.

Loading...
Loading...
Loading...
Loading...