HAPLN1 Antibody - BSA Free
Novus Biologicals, part of Bio-Techne | Catalog # NBP1-85443
Key Product Details
Validated by
Orthogonal Validation, Independent Antibodies
Species Reactivity
Validated:
Human
Predicted:
Rat (92%). Backed by our 100% Guarantee.
Applications
Immunohistochemistry, Immunohistochemistry-Paraffin, Immunocytochemistry/ Immunofluorescence
Label
Unconjugated
Antibody Source
Polyclonal Rabbit IgG
Format
BSA Free
Concentration
Concentrations vary lot to lot. See vial label for concentration. If unlisted please contact technical services.
Product Specifications
Immunogen
This antibody was developed against Recombinant Protein corresponding to amino acids: DHLSDNYTLDHDRAIHIQAENGPHLLVEAEQAKVFSHRGGNVTLPCKFYRDPTAFGSGIH
Reactivity Notes
Immunogen displays the following percentage of sequence identity for non-tested species: Mouse (89%)
Clonality
Polyclonal
Host
Rabbit
Isotype
IgG
Description
Novus Biologicals Rabbit HAPLN1 Antibody - BSA Free (NBP1-85443) is a polyclonal antibody validated for use in IHC and ICC/IF. All Novus Biologicals antibodies are covered by our 100% guarantee.
Scientific Data Images for HAPLN1 Antibody - BSA Free
Immunocytochemistry/ Immunofluorescence: HAPLN1 Antibody [NBP1-85443]
Immunocytochemistry/Immunofluorescence: HAPLN1 Antibody [NBP1-85443] - Staining of human cell line U-2 OS shows localization to vesicles.Immunohistochemistry-Paraffin: HAPLN1 Antibody [NBP1-85443]
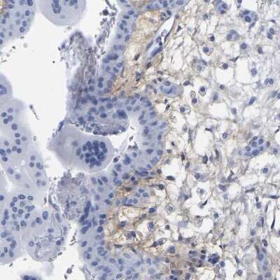
Immunohistochemistry-Paraffin: HAPLN1 Antibody [NBP1-85443] - Staining of human colon.Immunohistochemistry-Paraffin: HAPLN1 Antibody [NBP1-85443]
Immunohistochemistry-Paraffin: HAPLN1 Antibody [NBP1-85443] - Staining of human placenta shows high expression.Applications for HAPLN1 Antibody - BSA Free
Application
Recommended Usage
Immunocytochemistry/ Immunofluorescence
0.25-2 ug/ml
Immunohistochemistry
1:50 - 1:200
Immunohistochemistry-Paraffin
1:50 - 1:200
Application Notes
For IHC-Paraffin, HIER pH 6 retrieval is recommended. Immunocytochemistry/Immunofluorescence Fixation Permeabilization: Use PFA/Triton X-100.
Formulation, Preparation, and Storage
Purification
Affinity purified
Formulation
PBS (pH 7.2) and 40% Glycerol
Format
BSA Free
Preservative
0.02% Sodium Azide
Concentration
Concentrations vary lot to lot. See vial label for concentration. If unlisted please contact technical services.
Shipping
The product is shipped with polar packs. Upon receipt, store it immediately at the temperature recommended below.
Stability & Storage
Store at 4C short term. Aliquot and store at -20C long term. Avoid freeze-thaw cycles.
Background: HAPLN1
Long Name
Hyaluronan and Proteoglycan Link Protein 1
Alternate Names
CRTL1
Gene Symbol
HAPLN1
Additional HAPLN1 Products
Product Documents for HAPLN1 Antibody - BSA Free
Product Specific Notices for HAPLN1 Antibody - BSA Free
This product is for research use only and is not approved for use in humans or in clinical diagnosis. Primary Antibodies are guaranteed for 1 year from date of receipt.
Loading...
Loading...
Loading...
Loading...