Skip to main content

HADH Antibody (D10-E7-R)

Novus Biologicals, part of Bio-Techne | Catalog # NBP3-32416

Recombinant Monoclonal Antibody
Novus Biologicals, part of Bio-Techne
Catalog #
Availability
Size / Price
Qty
Loading...
NBP3-32416

Key Product Details

Species Reactivity

Human, Mouse, Rat

Applications

Immunohistochemistry, Immunohistochemistry-Paraffin, Western Blot, Immunocytochemistry/ Immunofluorescence

Label

Unconjugated

Antibody Source

Recombinant Monoclonal Mouse IgG1 Clone # D10-E7-R expressed in HEK293

Concentration

1 mg/ml

Product Specifications

Immunogen

Synthetic peptide within Human HADH aa 265-314 / 314. (Uniprot: Q16836)

Localization

Mitochondrion matrix.

Clonality

Monoclonal

Host

Mouse

Isotype

IgG1

Theoretical MW

34 kDa.
Disclaimer note: The observed molecular weight of the protein may vary from the listed predicted molecular weight due to post translational modifications, post translation cleavages, relative charges, and other experimental factors.

Description

Novus Biologicals Mouse HADH Antibody (D10-E7-R) (NBP3-32416) is a recombinant monoclonal antibody validated for use in IHC, WB and ICC/IF. All Novus Biologicals antibodies are covered by our 100% guarantee.

Scientific Data Images for HADH Antibody (D10-E7-R)

HADH Antibody (D10-E7-R)

Western Blot: HADH Antibody (D10-E7-R) [NBP3-32416]

Western Blot: HADH Antibody (D10-E7-R) [NBP3-32416] - Western blot analysis of HADH on different lysates with Mouse anti-HADH antibody (NBP3-32416) at 1/1,000 dilution.

Lane 1: HepG2 cell lysate (20 ug/Lane)
Lane 2: HT-29 cell lysate (20 ug/Lane)
Lane 3: HL-60 cell lysate (20 ug/Lane)
Lane 4: A431 cell lysate (20 ug/Lane)
Lane 5: K-562 cell lysate (20 ug/Lane)
Lane 6: Human liver tissue lysate (40 ug/Lane)
Lane 7: Mouse liver tissue lysate (40 ug/Lane)
Lane 8: Mouse heart tissue lysate (40 ug/Lane)
Lane 9: Rat liver tissue lysate (40 ug/Lane)
Lane 10: Rat heart tissue lysate (40 ug/Lane)

Predicted band size: 34 kDa
Observed band size: 34 kDa

Exposure time: 24 seconds;

4-20% SDS-PAGE gel.

Proteins were transferred to a PVDF membrane and blocked with 5% NFDM/TBST for 1 hour at room temperature. The primary antibody (NBP3-32416) at 1/1,000 dilution was used in 5% NFDM/TBST at room temperature for 2 hours. Goat Anti-Mouse IgG - HRP Secondary Antibody at 1/50,000 dilution was used for 1 hour at room temperature.
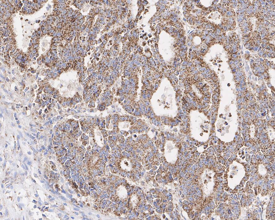
HADH Antibody (D10-E7-R)

Immunohistochemistry: HADH Antibody (D10-E7-R) [NBP3-32416]

Immunohistochemistry: HADH Antibody (D10-E7-R) [NBP3-32416] - Immunohistochemical analysis of paraffin-embedded human colon carcinoma tissue with Mouse anti-HADH antibody (NBP3-32416) at 1/200 dilution.

The section was pre-treated using heat mediated antigen retrieval with Tris-EDTA buffer (pH 9.0) for 20 minutes. The tissues were blocked in 1% BSA for 20 minutes at room temperature, washed with ddH2O and PBS, and then probed with the primary antibody (NBP3-32416) at 1/200 dilution for 1 hour at room temperature. The detection was performed using an HRP conjugated compact polymer system. DAB was used as the chromogen. Tissues were counterstained with hematoxylin and mounted with DPX.
HADH Antibody (D10-E7-R)

Immunocytochemistry/ Immunofluorescence: HADH Antibody (D10-E7-R) [NBP3-32416]

Immunocytochemistry/ Immunofluorescence: HADH Antibody (D10-E7-R) [NBP3-32416] - Immunocytochemistry analysis of HeLa cells labeling HADH with Mouse anti-HADH antibody (NBP3-32416) at 1/150 dilution.

Cells were fixed in 4% paraformaldehyde for 20 minutes at room temperature, permeabilized with 0.1% Triton X-100 in PBS for 5 minutes at room temperature, then blocked with 1% BSA in 10% negative goat serum for 1 hour at room temperature. Cells were then incubated with Mouse anti-HADH antibody (NBP3-32416) at 1/150 dilution in 1% BSA in PBST overnight at 4 ℃. Goat Anti-Mouse IgG H&L (iFluor™ 488) was used as the secondary antibody at 1/1,000 dilution. PBS instead of the primary antibody was used as the secondary antibody only control. Nuclear DNA was labelled in blue with DAPI.

beta Tubulin (red) was stained at 1/100 dilution overnight at +4℃. Goat Anti-Rabbit IgG H&L (iFluor™ 594) were used as the secondary antibody at 1/1,000 dilution.

Applications for HADH Antibody (D10-E7-R)

Application
Recommended Usage

Immunocytochemistry/ Immunofluorescence

1:150

Immunohistochemistry-Paraffin

1:200-1:1:1000

Western Blot

1:1000

Formulation, Preparation, and Storage

Purification

Protein A purified

Formulation

PBS (pH7.4), 0.1% BSA and 40% Glycerol

Preservative

0.05% Sodium Azide

Concentration

1 mg/ml

Shipping

The product is shipped with polar packs. Upon receipt, store it immediately at the temperature recommended below.

Stability & Storage

Store at 4C short term. Aliquot and store at -20C long term. Avoid freeze-thaw cycles.

Background: HADH

HADH is a member of the 3-hydroxyacyl-CoA dehydrogenase gene family. The encoded protein functions in the mitochondrial matrix to catalyze the oxidation of straight-chain 3-hydroxyacyl-CoAs as part of the beta-oxidation pathway. Its enzymatic activity is highest with medium-chain-length fatty acids. Mutations in this gene cause one form of familial hyperinsulinemic hypoglycemia. The human genome contains a related pseudogene.

Alternate Names

EC 1.1.1, EC 1.1.1.35, HADH1, HADHSChydroxyacyl-Coenzyme A dehydrogenase, HCDH, hydroxyacyl-CoA dehydrogenase, L-3-hydroxyacyl-Coenzyme A dehydrogenase, short chain, Medium and short-chain L-3-hydroxyacyl-coenzyme A dehydrogenase, MGC8392, mitochondrial, MSCHAD, SCHADHHF4

Gene Symbol

HADH

Additional HADH Products

Product Documents for HADH Antibody (D10-E7-R)

Certificate of Analysis

To download a Certificate of Analysis, please enter a lot number in the search box below.

Product Specific Notices for HADH Antibody (D10-E7-R)

This product is for research use only and is not approved for use in humans or in clinical diagnosis. Primary Antibodies are guaranteed for 1 year from date of receipt.

Loading...
Loading...
Loading...
Loading...