Skip to main content

HAAO Antibody - BSA Free

Novus Biologicals, part of Bio-Techne | Catalog # NBP1-77361

Novus Biologicals, part of Bio-Techne

Key Product Details

Species Reactivity

Validated:

Human, Mouse, Rat

Predicted:

Bovine (100%). Backed by our 100% Guarantee.

Applications

Immunohistochemistry, Immunohistochemistry-Paraffin, Western Blot, ELISA, Immunocytochemistry/ Immunofluorescence

Label

Unconjugated

Antibody Source

Polyclonal Rabbit IgG

Format

BSA Free

Concentration

1 mg/ml

Product Specifications

Immunogen

Antibody was raised against a 17 amino acid synthetic peptide near the amino terminus of human HAAO. The immunogen is located within amino acids 30 - 80 of HAAO. Amino Acid Squence: PNTRKDYHIEEGEEVFY

Clonality

Polyclonal

Host

Rabbit

Isotype

IgG

Theoretical MW

32.5 kDa.
Disclaimer note: The observed molecular weight of the protein may vary from the listed predicted molecular weight due to post translational modifications, post translation cleavages, relative charges, and other experimental factors.

Scientific Data Images for HAAO Antibody - BSA Free

Western Blot: HAAO AntibodyBSA Free [NBP1-77361]

Western Blot: HAAO AntibodyBSA Free [NBP1-77361]

Western Blot: HAAO Antibody [NBP1-77361] - Mouse liver tissue lysate with HAAO antibody at 1 ug/mL.
HAAO Antibody - BSA Free

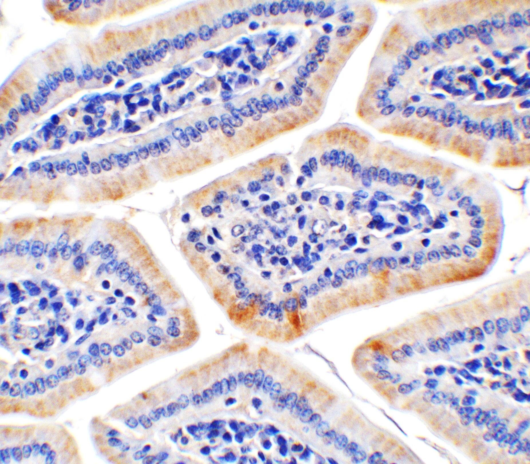
Immunohistochemistry: HAAO Antibody - BSA Free [NBP1-77361] -

Immunohistochemistry: HAAO Antibody - BSA Free [NBP1-77361] - Immunohistochemistry of HAAO in mouse colon tissue with HAAO antibody at 2 u/mL.
HAAO Antibody - BSA Free

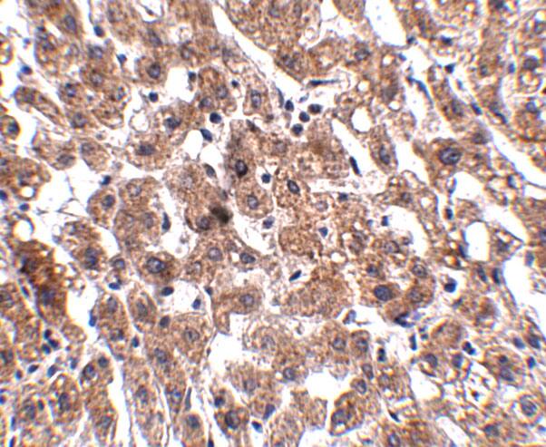
Immunohistochemistry: HAAO Antibody - BSA Free [NBP1-77361] -

Immunohistochemistry: HAAO Antibody - BSA Free [NBP1-77361] - Immunohistochemistry of HAAO in human liver tissue with HAAO antibody at 2.5 u/mL.

Applications for HAAO Antibody - BSA Free

Application
Recommended Usage

ELISA

1:100-1:2000

Immunocytochemistry/ Immunofluorescence

20 ug/ml

Immunohistochemistry

2.5 ug/ml

Immunohistochemistry-Paraffin

2.5 ug/ml

Western Blot

1 ug/ml

Formulation, Preparation, and Storage

Purification

Peptide affinity purified

Formulation

PBS

Format

BSA Free

Preservative

0.02% Sodium Azide

Concentration

1 mg/ml

Shipping

The product is shipped with polar packs. Upon receipt, store it immediately at the temperature recommended below.

Stability & Storage

Store at 4C short term. Aliquot and store at -20C long term. Avoid freeze-thaw cycles.

Background: HAAO

HAAO (3-Hydroxyanthranilate 3,4-dioxygenase) is a monomeric cytosolic protein of the family of intramolecular dioxygenases containing non-heme ferrous iron. It is widely distributed in peripheral organs, such as liver and kidney, and is present in low amounts in the central nervous system. This enzyme participates in tryptophan metabolism. It employs one cofactor, iron. HAAO catalyzes the synthesis of quinolinic acid (QUIN) from 3-hydroxyanthranilic acid. QUIN is an excitotoxin whose toxicity is mediated by its ability to activate glutamate N-methyl-D-aspartate receptors. Increased cerebral levels of QUIN may participate in the pathogenesis of neurological and inflammatory disorders. HAAO has been suggested to play a role in disorders associated with altered tissue levels of QUIN. Furthermore, recent study shows that HAAO are excellent candidate biomarkers for detecting ovarian cancer.

Alternate Names

3-HAO, 3-hydroxyanthranilate 3,4-dioxygenase, 3-hydroxyanthranilic acid dioxygenase, EC 1.13.11.6,3-hydroxyanthranilate oxygenase, HAD, HAO

Entrez Gene IDs

23498 (Human)

Gene Symbol

HAAO

UniProt

Additional HAAO Products

Product Documents for HAAO Antibody - BSA Free

Certificate of Analysis

To download a Certificate of Analysis, please enter a lot number in the search box below.

Product Specific Notices for HAAO Antibody - BSA Free

This product is for research use only and is not approved for use in humans or in clinical diagnosis. Primary Antibodies are guaranteed for 1 year from date of receipt.

Loading...
Loading...
Loading...
Loading...