H4 Clustered Histone 1 [ac Lys8] Antibody - BSA Free
Novus Biologicals, part of Bio-Techne | Catalog # NBP3-38403
Key Product Details
Species Reactivity
Human, Mouse, Rat
Applications
Immunohistochemistry, Immunohistochemistry-Paraffin, Western Blot, ELISA, Immunocytochemistry/ Immunofluorescence, Immunoprecipitation, Chromatin Immunoprecipitation
Label
Unconjugated
Antibody Source
Polyclonal Rabbit IgG
Format
BSA Free
Concentration
Please see the vial label for concentration. If unlisted please contact technical services.
Product Specifications
Immunogen
A synthetic acetylated peptide around K8 of human H4 Clustered Histone 1 (NP_003529.1).
Sequence:
GGKGL
Sequence:
GGKGL
Modification
ac Lys 8
Clonality
Polyclonal
Host
Rabbit
Isotype
IgG
Theoretical MW
11 kDa.
Disclaimer note: The observed molecular weight of the protein may vary from the listed predicted molecular weight due to post translational modifications, post translation cleavages, relative charges, and other experimental factors.
Disclaimer note: The observed molecular weight of the protein may vary from the listed predicted molecular weight due to post translational modifications, post translation cleavages, relative charges, and other experimental factors.
Description
Novus Biologicals Rabbit H4 Clustered Histone 1 [ac Lys8] Antibody - BSA Free (NBP3-38403) is a polyclonal antibody validated for use in IHC, WB, ELISA, ICC/IF, IP and ChIP. All Novus Biologicals antibodies are covered by our 100% guarantee.
Scientific Data Images for H4 Clustered Histone 1 [ac Lys8] Antibody - BSA Free
Immunohistochemistry: H4 Clustered Histone 1 [ac Lys8] Antibody [NBP3-38403] -
Immunohistochemistry: H4 Clustered Histone 1 [ac Lys8] Antibody [NBP3-38403] - Immunohistochemistry analysis of paraffin-embedded Mouse liver using H4 Clustered Histone 1 Rabbit pAb at dilution of 1:20 (40x lens). High pressure antigen retrieval performed with 0.01M Citrate Bufferr (pH 6.0) prior to IHC staining.Immunocytochemistry/ Immunofluorescence: H4 Clustered Histone 1 [ac Lys8] Antibody [NBP3-38403] -
Immunocytochemistry/ Immunofluorescence: H4 Clustered Histone 1 [ac Lys8] Antibody [NBP3-38403] - Immunofluorescence analysis of HeLa cells using H4 Clustered Histone 1 Rabbit pAb. Secondary antibody: Cy3-conjugated Goat anti-Rabbit IgG (H+L) at 1:500 dilution. Blue: DAPI for nuclear staining.Immunohistochemistry: H4 Clustered Histone 1 [ac Lys8] Antibody [NBP3-38403] -
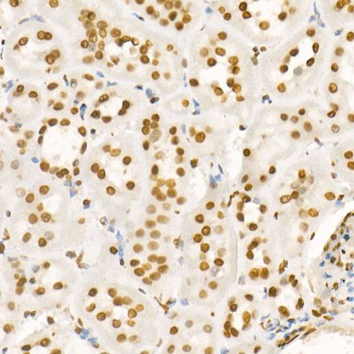
Immunohistochemistry: H4 Clustered Histone 1 [ac Lys8] Antibody [NBP3-38403] - Immunohistochemistry analysis of paraffin-embedded Human kidney using H4 Clustered Histone 1 Rabbit pAb at dilution of 1:20 (40x lens). High pressure antigen retrieval performed with 0.01M Citrate Bufferr (pH 6.0) prior to IHC staining.Applications for H4 Clustered Histone 1 [ac Lys8] Antibody - BSA Free
Application
Recommended Usage
Chromatin Immunoprecipitation
-seq 1:20 - 1:50
Immunocytochemistry/ Immunofluorescence
1:500 - 1:1000
Immunohistochemistry-Paraffin
1:50 - 1:200
Immunoprecipitation
1:200 - 1:500
Western Blot
1:500 - 1:1000
Formulation, Preparation, and Storage
Purification
Affinity purified
Formulation
PBS (pH 7.3), 50% glycerol
Format
BSA Free
Preservative
0.02% Sodium Azide
Concentration
Please see the vial label for concentration. If unlisted please contact technical services.
Shipping
The product is shipped with polar packs. Upon receipt, store it immediately at the temperature recommended below.
Stability & Storage
Store at -20C. Avoid freeze-thaw cycles.
Background: H4 Clustered Histone 1
Alternate Names
H4-16;H4C11;H4C12;H4C13;H4C14;H4C15;H4C2;H4C3;H4C4;H4C5;H4C6;H4C8;H4C9;H4FA, H4F4, HIST1H4A
Gene Symbol
H4C1
Additional H4 Clustered Histone 1 Products
Product Documents for H4 Clustered Histone 1 [ac Lys8] Antibody - BSA Free
Product Specific Notices for H4 Clustered Histone 1 [ac Lys8] Antibody - BSA Free
This product is for research use only and is not approved for use in humans or in clinical diagnosis. Primary Antibodies are guaranteed for 1 year from date of receipt.
Loading...
Loading...
Loading...
Loading...