H4 Clustered Histone 1 [Sym-dimethyl Arg3] Antibody - BSA Free
Novus Biologicals, part of Bio-Techne | Catalog # NBP3-38032
Key Product Details
Species Reactivity
Human, Mouse, Rat
Applications
Immunohistochemistry, Immunohistochemistry-Paraffin, Western Blot, ELISA, Immunocytochemistry/ Immunofluorescence, Dot Blot
Label
Unconjugated
Antibody Source
Polyclonal Rabbit IgG
Format
BSA Free
Concentration
Please see the vial label for concentration. If unlisted please contact technical services.
Product Specifications
Immunogen
A synthetic peptide corresponding to a sequence within amino acids 1-100 of human H4 Clustered Histone 1 (NP_003529.1).
Sequence:
SGRGK
Sequence:
SGRGK
Modification
Sym-dimethyl Arg 3
Clonality
Polyclonal
Host
Rabbit
Isotype
IgG
Theoretical MW
11 kDa.
Disclaimer note: The observed molecular weight of the protein may vary from the listed predicted molecular weight due to post translational modifications, post translation cleavages, relative charges, and other experimental factors.
Disclaimer note: The observed molecular weight of the protein may vary from the listed predicted molecular weight due to post translational modifications, post translation cleavages, relative charges, and other experimental factors.
Scientific Data Images for H4 Clustered Histone 1 [Sym-dimethyl Arg3] Antibody - BSA Free
Western Blot: H4 Clustered Histone 1 [Sym-dimethyl Arg3] Antibody [NBP3-38032] -
Western Blot: H4 Clustered Histone 1 [Sym-dimethyl Arg3] Antibody [NBP3-38032] - Western blot analysis of various lysates, using H4 Clustered Histone 1 Rabbit pAb at 1:400 dilution.Secondary antibody: HRP-conjugated Goat anti-Rabbit IgG (H+L) at 1:10000 dilution.
Lysates/proteins: 25ug per lane.
Blocking buffer: 3% nonfat dry milk in TBST.
Detection: ECL Basic Kit.
Exposure time: 60s.
Western Blot: H4 Clustered Histone 1 [Sym-dimethyl Arg3] Antibody [NBP3-38032] -
Western Blot: H4 Clustered Histone 1 [Sym-dimethyl Arg3] Antibody [NBP3-38032] - Western blot analysis of various lysates, using H4 Clustered Histone 1 Rabbit pAb at 1:2000 dilution.Secondary antibody: HRP-conjugated Goat anti-Rabbit IgG (H+L) at 1:10000 dilution.
Lysates/proteins: 25ug per lane.
Blocking buffer: 3% nonfat dry milk in TBST.
Detection: ECL Basic Kit.
Exposure time: 90s.
Immunocytochemistry/ Immunofluorescence: H4 Clustered Histone 1 [Sym-dimethyl Arg3] Antibody [NBP3-38032] -
Immunocytochemistry/ Immunofluorescence: H4 Clustered Histone 1 [Sym-dimethyl Arg3] Antibody [NBP3-38032] - Immunofluorescence analysis of 293T cells using Symmetric DiMethyl-Histone H4-R3 Rabbit pAb (A3159). Blue: DAPI for nuclear staining.Applications for H4 Clustered Histone 1 [Sym-dimethyl Arg3] Antibody - BSA Free
Application
Recommended Usage
Dot Blot
1:500 - 1:2000
Immunocytochemistry/ Immunofluorescence
1:50 - 1:200
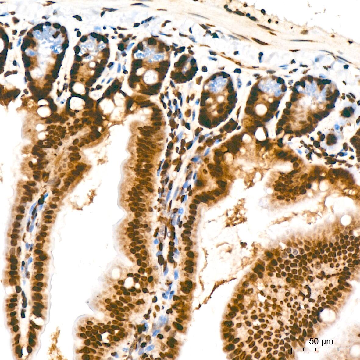
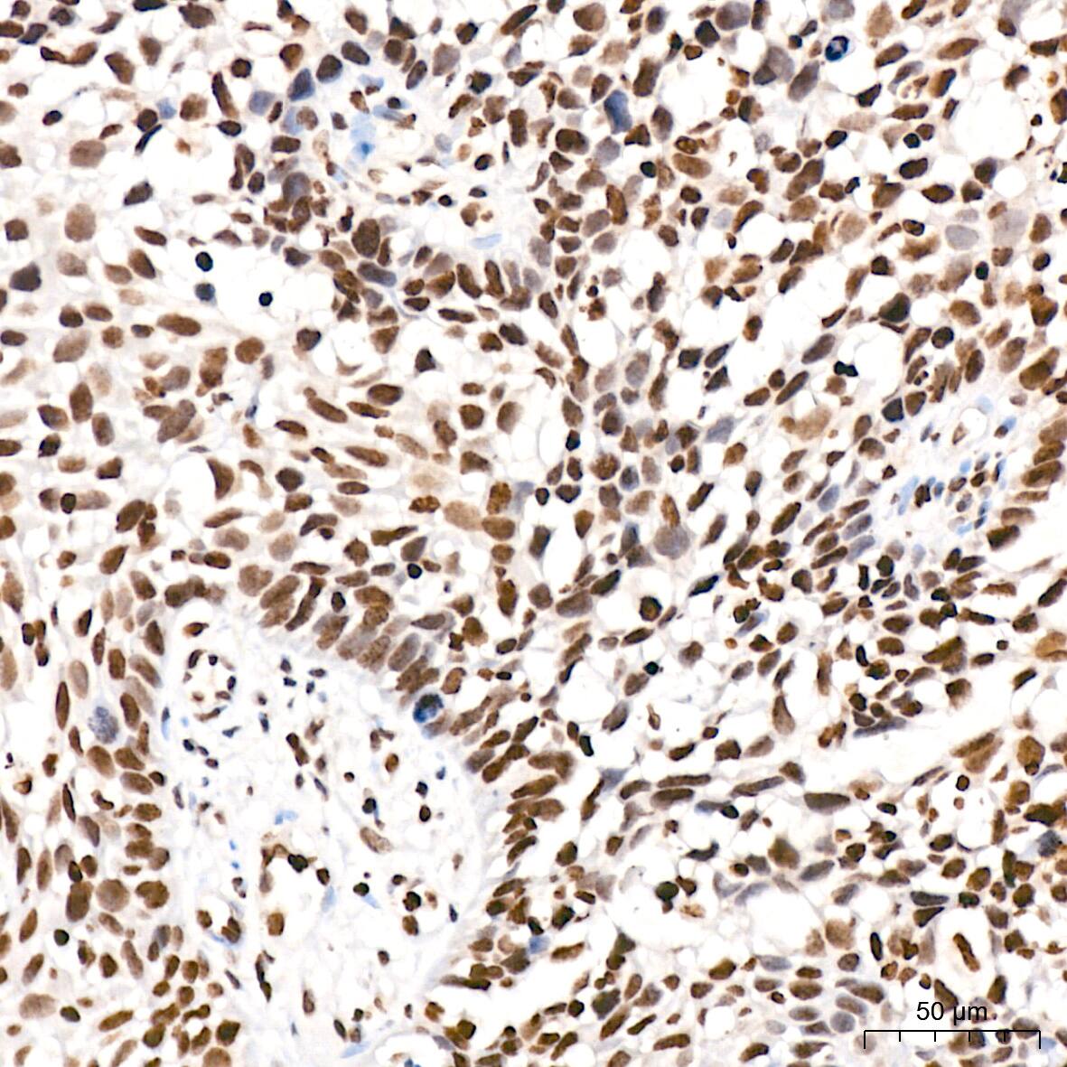
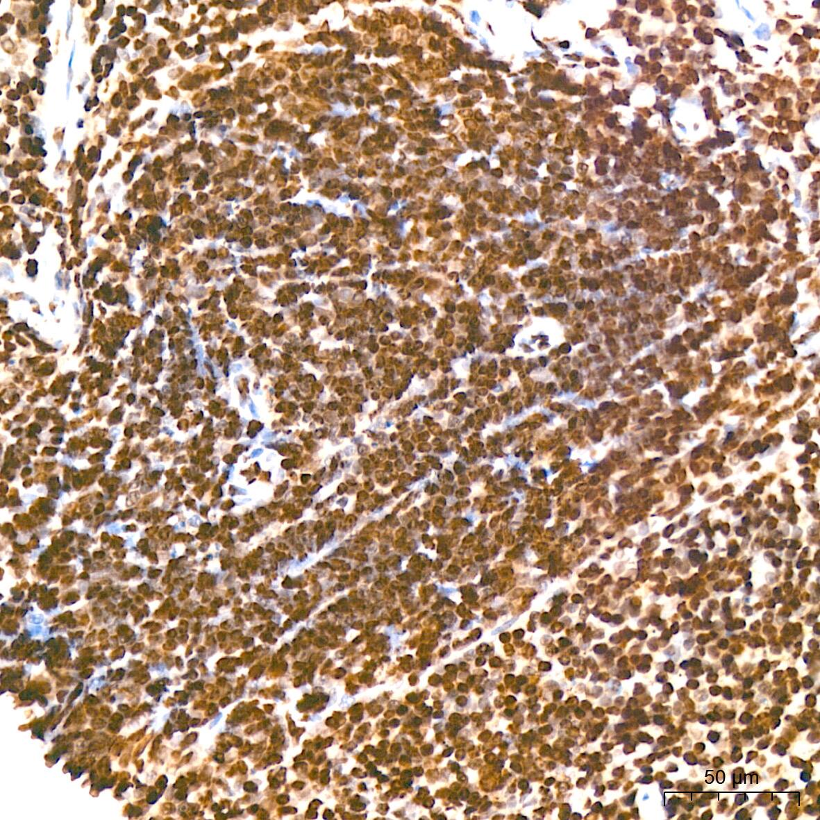
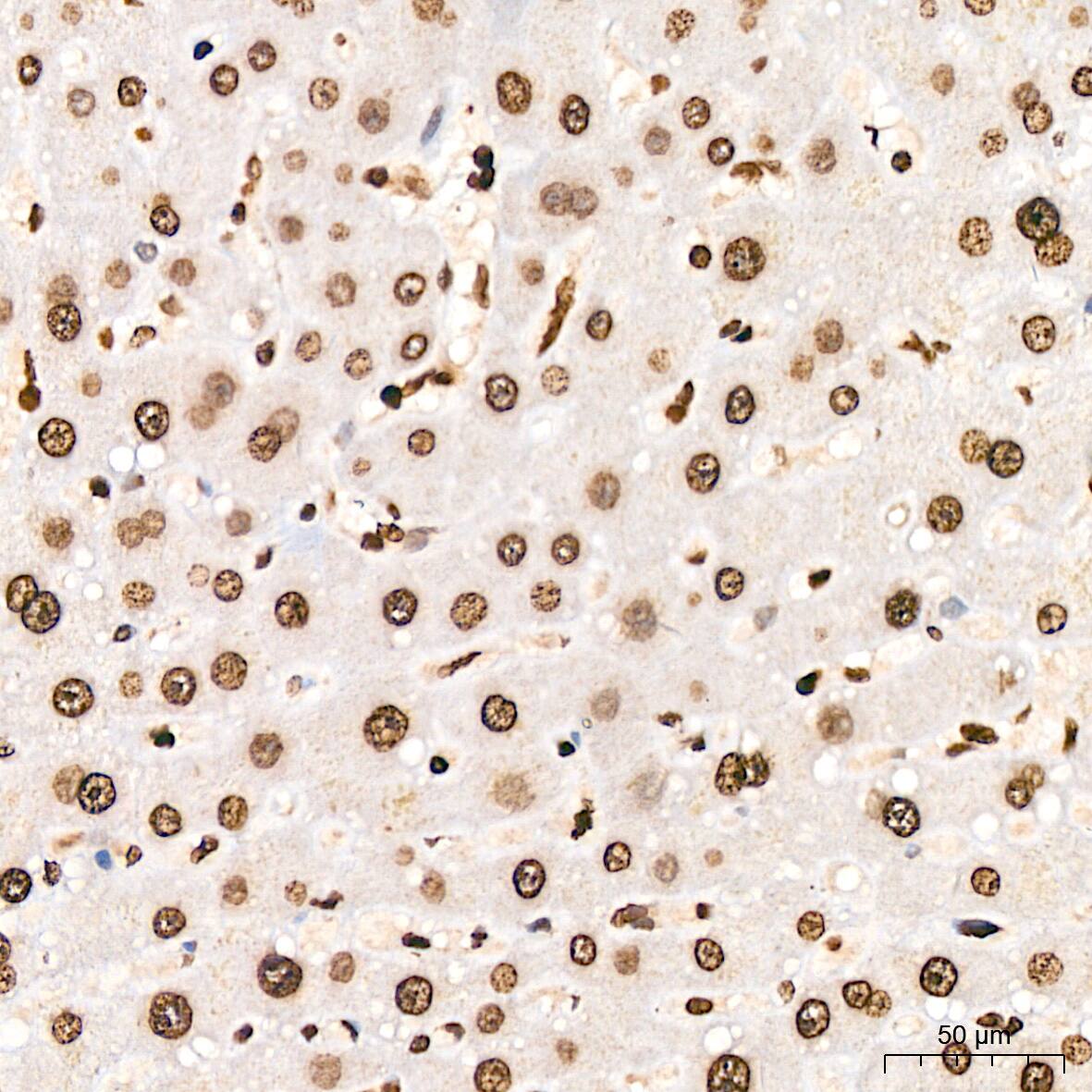
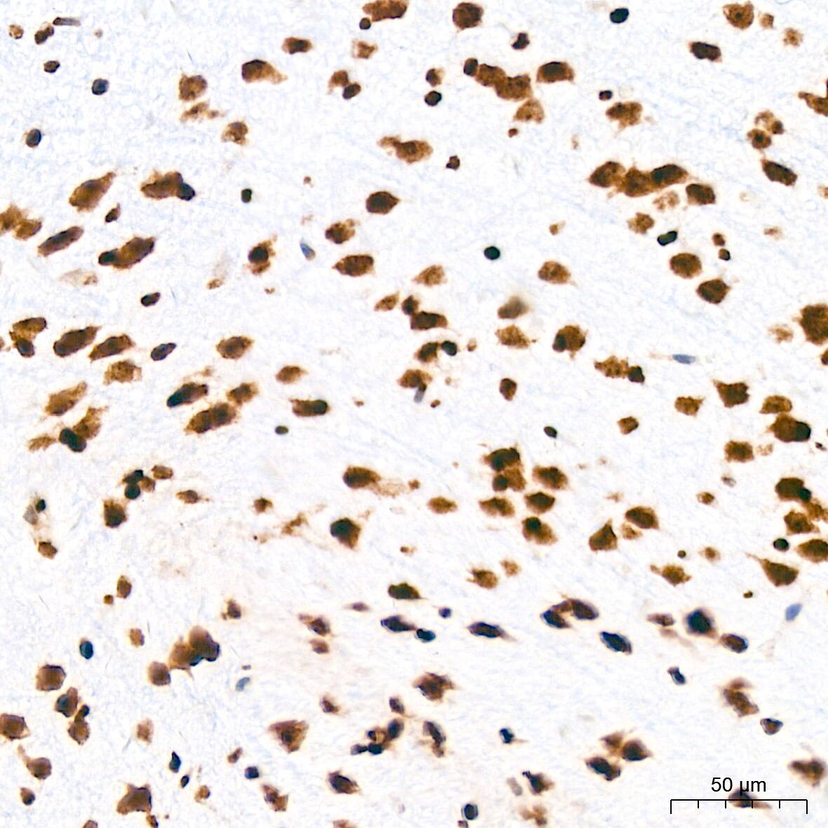
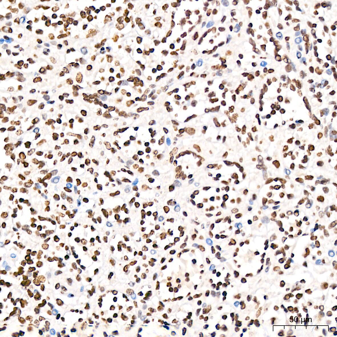
Immunohistochemistry-Paraffin
1:50 - 1:200
Western Blot
1:500 - 1:2000
Formulation, Preparation, and Storage
Purification
Affinity purified
Formulation
PBS (pH 7.3), 50% glycerol
Format
BSA Free
Preservative
0.02% Sodium Azide
Concentration
Please see the vial label for concentration. If unlisted please contact technical services.
Shipping
The product is shipped with polar packs. Upon receipt, store it immediately at the temperature recommended below.
Stability & Storage
Store at -20C. Avoid freeze-thaw cycles.
Background: H4 Clustered Histone 1
Alternate Names
H4-16;H4C11;H4C12;H4C13;H4C14;H4C15;H4C2;H4C3;H4C4;H4C5;H4C6;H4C8;H4C9;H4FA, H4F4, HIST1H4A
Gene Symbol
H4C1
Additional H4 Clustered Histone 1 Products
Product Documents for H4 Clustered Histone 1 [Sym-dimethyl Arg3] Antibody - BSA Free
Product Specific Notices for H4 Clustered Histone 1 [Sym-dimethyl Arg3] Antibody - BSA Free
This product is for research use only and is not approved for use in humans or in clinical diagnosis. Primary Antibodies are guaranteed for 1 year from date of receipt.
Loading...
Loading...
Loading...
Loading...