Skip to main content

H4 Clustered Histone 1 [Trimethyl Lys20] Antibody - BSA Free

Novus Biologicals, part of Bio-Techne | Catalog # NBP3-37994

Novus Biologicals, part of Bio-Techne
Catalog #
Availability
Size / Price
Qty
Loading...
NBP3-37994-20ul
NBP3-37994-100ul

Key Product Details

Species Reactivity

Human, Mouse, Rat

Applications

Immunohistochemistry, Immunohistochemistry-Paraffin, Western Blot, ELISA, Immunocytochemistry/ Immunofluorescence, Dot Blot

Label

Unconjugated

Antibody Source

Polyclonal Rabbit IgG

Format

BSA Free

Concentration

Please see the vial label for concentration. If unlisted please contact technical services.

Product Specifications

Immunogen

A synthetic trimethylated peptide around K20 of human H4 Clustered Histone 1 (NP_003529.1).

Sequence:
HRKVL

Modification

Trimethyl Lys 20

Clonality

Polyclonal

Host

Rabbit

Isotype

IgG

Theoretical MW

11 kDa.
Disclaimer note: The observed molecular weight of the protein may vary from the listed predicted molecular weight due to post translational modifications, post translation cleavages, relative charges, and other experimental factors.

Description

Novus Biologicals Rabbit H4 Clustered Histone 1 [Trimethyl Lys20] Antibody - BSA Free (NBP3-37994) is a polyclonal antibody validated for use in IHC, WB, ELISA and ICC/IF. All Novus Biologicals antibodies are covered by our 100% guarantee.

Scientific Data Images for H4 Clustered Histone 1 [Trimethyl Lys20] Antibody - BSA Free

H4 Clustered Histone 1 [Trimethyl Lys20] Antibody

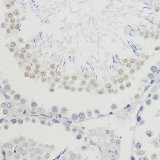
Immunohistochemistry: H4 Clustered Histone 1 [Trimethyl Lys20] Antibody [NBP3-37994] -

Immunohistochemistry: H4 Clustered Histone 1 [Trimethyl Lys20] Antibody [NBP3-37994] - Immunohistochemistry analysis of paraffin-embedded Mouse testis using H4 Clustered Histone 1 Rabbit pAb at dilution of 1:200 (40x lens). Microwave antigen retrieval performed with 0.01M PBS Buffer (pH 7.2) prior to IHC staining.
H4 Clustered Histone 1 [Trimethyl Lys20] Antibody

Western Blot: H4 Clustered Histone 1 [Trimethyl Lys20] Antibody [NBP3-37994] -

Western Blot: H4 Clustered Histone 1 [Trimethyl Lys20] Antibody [NBP3-37994] - Western blot analysis of various lysates, using H4 Clustered Histone 1 Rabbit pAb at 1:400 dilution.
Secondary antibody: HRP-conjugated Goat anti-Rabbit IgG (H+L) at 1:10000 dilution.
Lysates/proteins: 25ug per lane.
Blocking buffer: 3% nonfat dry milk in TBST.
Detection: ECL Basic Kit.
Exposure time: 60s.
H4 Clustered Histone 1 [Trimethyl Lys20] Antibody

Dot Blot: H4 Clustered Histone 1 [Trimethyl Lys20] Antibody [NBP3-37994] -

Dot Blot: H4 Clustered Histone 1 [Trimethyl Lys20] Antibody [NBP3-37994] - Dot-blot analysis of all sorts of methylation peptides using H4 Clustered Histone 1 antibody.

Applications for H4 Clustered Histone 1 [Trimethyl Lys20] Antibody - BSA Free

Application
Recommended Usage

Dot Blot

1:500 - 1:2000

Immunocytochemistry/ Immunofluorescence

1:50 - 1:200

Immunohistochemistry-Paraffin

1:50 - 1:200

Western Blot

1:500 - 1:2000

Formulation, Preparation, and Storage

Purification

Affinity purified

Formulation

PBS (pH 7.3), 50% glycerol

Format

BSA Free

Preservative

0.02% Sodium Azide

Concentration

Please see the vial label for concentration. If unlisted please contact technical services.

Shipping

The product is shipped with polar packs. Upon receipt, store it immediately at the temperature recommended below.

Stability & Storage

Store at -20C. Avoid freeze-thaw cycles.

Background: H4 Clustered Histone 1

Alternate Names

H4-16;H4C11;H4C12;H4C13;H4C14;H4C15;H4C2;H4C3;H4C4;H4C5;H4C6;H4C8;H4C9;H4FA, H4F4, HIST1H4A

Gene Symbol

H4C1

Additional H4 Clustered Histone 1 Products

Product Documents for H4 Clustered Histone 1 [Trimethyl Lys20] Antibody - BSA Free

Certificate of Analysis

To download a Certificate of Analysis, please enter a lot number in the search box below.

Product Specific Notices for H4 Clustered Histone 1 [Trimethyl Lys20] Antibody - BSA Free

This product is for research use only and is not approved for use in humans or in clinical diagnosis. Primary Antibodies are guaranteed for 1 year from date of receipt.

Loading...
Loading...
Loading...
Loading...