Skip to main content

H2A Antibody

Novus Biologicals, part of Bio-Techne | Catalog # NBP3-48615

Novus Biologicals, part of Bio-Techne
Catalog #
Availability
Size / Price
Qty
Loading...
NBP3-48615

Key Product Details

Species Reactivity

Human, Mouse, Rat

Applications

Immunohistochemistry, Immunohistochemistry-Paraffin, Western Blot, Immunocytochemistry/ Immunofluorescence

Label

Unconjugated

Antibody Source

Polyclonal Rabbit IgG

Concentration

Concentrations vary lot to lot. See vial label for concentration. If unlisted please contact technical services.

Product Specifications

Immunogen

Full length human H2A Recombinant protein.

Clonality

Polyclonal

Host

Rabbit

Isotype

IgG

Description

Novus Biologicals Rabbit H2A Antibody (NBP3-48615) is a polyclonal antibody validated for use in IHC, WB and ICC/IF. All Novus Biologicals antibodies are covered by our 100% guarantee.

Scientific Data Images for H2A Antibody

H2A Antibody

Immunohistochemistry: H2A Antibody [NBP3-48615] -

H2A antibody detects H2A protein at nucleus on mouse intestine by immunohistochemical analysis.
Sample: Paraffin-embedded mouse intestine.
H2A antibody (NBP3-48615) dilution: 1:500.

Antigen Retrieval: (EDTA based, pH 8.0) buffer, 15min
H2A Antibody

Immunohistochemistry: H2A Antibody [NBP3-48615] -

H2A antibody detects H2A protein at nucleus on rat fore brain by immunohistochemical analysis.
Sample: Paraffin-embedded rat fore brain.
H2A antibody (NBP3-48615) dilution: 1:500.


Antigen Retrieval: (EDTA based, pH 8.0) buffer, 15min
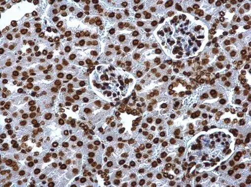
H2A Antibody

Immunohistochemistry: H2A Antibody [NBP3-48615] -

H2A antibody detects H2A protein at nucleus on mouse kidney by immunohistochemical analysis.
Sample: Paraffin-embedded mouse kidney.
H2A antibody (NBP3-48615) dilution: 1:500.

Antigen Retrieval: (EDTA based, pH 8.0) buffer, 15min

Applications for H2A Antibody

Application
Recommended Usage

Immunohistochemistry-Paraffin

1:100-1:1000

Western Blot

1:5000-1:20000

Formulation, Preparation, and Storage

Purification

Antigen Affinity-purified

Formulation

PBS, 20% Glycerol

Preservative

0.025% Proclin 300

Concentration

Concentrations vary lot to lot. See vial label for concentration. If unlisted please contact technical services.

Shipping

The product is shipped with polar packs. Upon receipt, store it immediately at the temperature recommended below.

Stability & Storage

Store at 4C short term. Aliquot and store at -20C long term. Avoid freeze-thaw cycles.

Background: H2A

H2A is 130 amino acids long, weighs approximately 14 kDa, and is part of a group of basic nuclear proteins called histones, which are responsible for nucleosome structure of the chromosomal fiber in eukaryotes. Current studies are being done on several diseases and disorders including systemic lupus erythematosus, lupus erythematosus, x inactivation, riddle syndrome, connective tissue disease, and immunodeficiency. H2A has also been shown to have interactions with BMI1, DNAJC2, RCC1, RNF2, and SRRM1 in pathways such as the telomere maintenance, nucleosome assembly, cell cycle, and systemic lupus erythematosus pathways.

Alternate Names

H2A histone family, member O, H2A.2, H2A/O, H2A/q, H2a-615, H2AFOHistone H2A/o, HIST2H2AAH2A, histone 2, H2aa, histone 2, H2aa3, histone cluster 2, H2aa3, histone H2A type 2-A, Histone H2A.2

Gene Symbol

HIST2H2AA3

Additional H2A Products

Product Documents for H2A Antibody

Certificate of Analysis

To download a Certificate of Analysis, please enter a lot number in the search box below.

Product Specific Notices for H2A Antibody

This product is for research use only and is not approved for use in humans or in clinical diagnosis. Primary Antibodies are guaranteed for 1 year from date of receipt.

Loading...
Loading...
Loading...
Loading...