Skip to main content

GTPBP9 Antibody - BSA Free

Novus Biologicals, part of Bio-Techne | Catalog # NBP2-16767

Catalog #
Availability
Size / Price
Qty
Loading...
NBP2-16767

Key Product Details

Species Reactivity

Human, Mouse, Rat

Applications

Immunohistochemistry, Immunohistochemistry-Paraffin, Western Blot

Label

Unconjugated

Antibody Source

Polyclonal Rabbit IgG

Format

BSA Free

Concentration

Concentrations vary lot to lot. See vial label for concentration. If unlisted please contact technical services.

Product Specifications

Immunogen

Recombinant protein encompassing a sequence within the center region of human GTPBP9. The exact sequence is proprietary.

Reactivity Notes

Immunogen displays the following percentage of sequence identity for non-tested species: Xenopus laevis (85%), Zebrafish (83%), Xenopus tropicalis (83%).

Clonality

Polyclonal

Host

Rabbit

Isotype

IgG

Theoretical MW

45 kDa.
Disclaimer note: The observed molecular weight of the protein may vary from the listed predicted molecular weight due to post translational modifications, post translation cleavages, relative charges, and other experimental factors.

Scientific Data Images for GTPBP9 Antibody - BSA Free

Western Blot: GTPBP9 Antibody [NBP2-16767]

Western Blot: GTPBP9 Antibody [NBP2-16767]

Western Blot: GTPBP9 Antibody [NBP2-16767] - Various whole cell extracts (30 ug) were separated by 10% SDS-PAGE, and the membrane was blotted with GTPBP9 antibody diluted at 1:1000. HRP-conjugated anti-rabbit IgG antibody was used to detect the primary antibody.
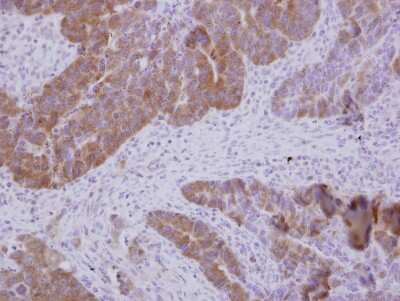
Immunohistochemistry-Paraffin: GTPBP9 Antibody [NBP2-16767]

Immunohistochemistry-Paraffin: GTPBP9 Antibody [NBP2-16767]

Immunohistochemistry-Paraffin: GTPBP9 Antibody [NBP2-16767] - Immunohistochemical analysis of paraffin-embedded Colon ca, using antibody at 1:250 dilution.
GTPBP9 Antibody - BSA Free

Western Blot: GTPBP9 Antibody [NBP2-16767] -

Rat tissue extract (50 ug) was separated by 10% SDS-PAGE, and the membrane was blotted with GTPBP9 antibody [C1C3] (NBP2-16767) diluted at 1:1000. The HRP-conjugated anti-rabbit IgG antibody was used to detect the primary antibody.

Applications for GTPBP9 Antibody - BSA Free

Application
Recommended Usage

Immunohistochemistry

10 - 1:500

Immunohistochemistry-Paraffin

1:100-1:1000

Western Blot

1:500-1:3000

Formulation, Preparation, and Storage

Purification

Antigen Affinity-purified

Formulation

0.1M Tris, 0.1M Glycine, 20% Glycerol

Format

BSA Free

Preservative

0.01% Thimerosal

Concentration

Concentrations vary lot to lot. See vial label for concentration. If unlisted please contact technical services.

Shipping

The product is shipped with polar packs. Upon receipt, store it immediately at the temperature recommended below.

Stability & Storage

Aliquot and store at -20C or -80C. Avoid freeze-thaw cycles.

Background: GTPBP9

Hydrolyzes ATP, and can also hydrolyze GTP with lower efficiency. Has lower affinity for GTP.

Alternate Names

DKFZp313H1942, DNA damage-regulated overexpressed in cancer 45 protein, DOC45, EC 3.6.3, EC 3.6.3.-, GBP45, GTP-binding protein 9, GTP-binding protein 9 (putative), GTP-binding protein PTD004, GTPBP9, homologous yeast-44.2 protein, Obg-like ATPase 1, PTD004

Gene Symbol

OLA1

UniProt

Additional GTPBP9 Products

Product Documents for GTPBP9 Antibody - BSA Free

Certificate of Analysis

To download a Certificate of Analysis, please enter a lot number in the search box below.

Product Specific Notices for GTPBP9 Antibody - BSA Free

This product is for research use only and is not approved for use in humans or in clinical diagnosis. Primary Antibodies are guaranteed for 1 year from date of receipt.

Loading...
Loading...
Loading...
Loading...

⚠ WARNING: This product can expose you to chemicals including mercury, which is known to the State of California to cause reproductive toxicity with developmental effects.  For more information go to www.P65Warnings.ca.gov.