Skip to main content

GTF2A2 Antibody - BSA Free

Novus Biologicals, part of Bio-Techne | Catalog # NBP3-46161

Novus Biologicals, part of Bio-Techne
Catalog #
Availability
Size / Price
Qty
Loading...
NBP3-46161

Key Product Details

Species Reactivity

Human, Mouse, Rat

Applications

Immunohistochemistry, Western Blot, ELISA

Label

Unconjugated

Antibody Source

Polyclonal Rabbit IgG

Format

BSA Free

Concentration

Please see the vial label for concentration. If unlisted please contact technical services.

Product Specifications

Immunogen

general transcription factor IIA, 2, 12kDa. (Uniprot# P52657)

Clonality

Polyclonal

Host

Rabbit

Isotype

IgG

Theoretical MW

12 kDa.
Disclaimer note: The observed molecular weight of the protein may vary from the listed predicted molecular weight due to post translational modifications, post translation cleavages, relative charges, and other experimental factors.

Description

Novus Biologicals Rabbit GTF2A2 Antibody - BSA Free (NBP3-46161) is a polyclonal antibody validated for use in IHC, WB and ELISA. All Novus Biologicals antibodies are covered by our 100% guarantee.

Scientific Data Images for GTF2A2 Antibody - BSA Free

GTF2A2 Antibody - BSA Free

Western Blot: GTF2A2 Antibody - BSA Free [NBP3-46161] -

Western Blot: GTF2A2 Antibody - BSA Free [NBP3-46161] - Mouse testis tissue were subjected to SDS PAGE followed by western blot with (GTF2A2 antibody) at dilution of 1:300
GTF2A2 Antibody - BSA Free

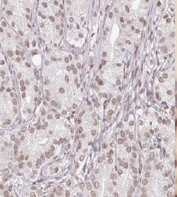
Immunohistochemistry: GTF2A2 Antibody - BSA Free [NBP3-46161] -

Immunohistochemistry: GTF2A2 Antibody - BSA Free [NBP3-46161] - Immunohistochemistry of paraffin-embedded human prostate cancer using (GTF2A2 antibody) at dilution of 1:100

Applications for GTF2A2 Antibody - BSA Free

Application
Recommended Usage

Immunohistochemistry

1:20-1:200

Western Blot

1:500-1:2000

Formulation, Preparation, and Storage

Purification

Immunogen affinity purified

Formulation

PBS, 50% Glycerol, pH (7.3)

Format

BSA Free

Preservative

0.02% Sodium Azide

Concentration

Please see the vial label for concentration. If unlisted please contact technical services.

Shipping

The product is shipped with polar packs. Upon receipt, store it immediately at the temperature recommended below.

Stability & Storage

Store at -20C. Avoid freeze-thaw cycles.

Background: GTF2A2

Accurate transcription initiation on TATA-containing class II genes involves the ordered assembly of RNA polymerase II (POLR2A; MIM 180660) and the general initiation factors TFIIA, TFIIB (MIM 189963), TFIID (MIM 313650), TFIIE (MIM 189962), TFIIF (MIM 189968), TFIIG/TFIIJ, and TFIIH (MIM 189972). The first step involves recognition of the TATA element by the TATA-binding subunit (TBP; MIM 600075) and may be regulated by TFIIA, a factor that interacts with both TBP and a TBP-associated factor (TAF; MIM 600475) in TFIID. TFIIA has 2 subunits (43 and 12 kD) in yeast and 3 subunits in higher eukaryotes. In HeLa extracts, it consists of a 35-kD alpha subunit and a 19-kD beta subunit encoded by the N- and C-terminal regions of GTF2A1 (MIM 600520), respectively, and a 12-kD gamma subunit encoded by GTF2A2 (DeJong et al., 1995 [PubMed 7724559]).[supplied by OMIM]

Alternate Names

General transcription factor IIA subunit 2, general transcription factor IIA, 2 (12kD subunit), general transcription factor IIA, 2, 12kDa, HsT18745, TF2A2, TFIIA, TFIIA p12 subunit, TFIIA-12, TFIIA-gamma, TFIIAS, Transcription initiation factor IIA gamma chain, transcription initiation factor IIA subunit 2

Gene Symbol

GTF2A2

Additional GTF2A2 Products

Product Documents for GTF2A2 Antibody - BSA Free

Certificate of Analysis

To download a Certificate of Analysis, please enter a lot number in the search box below.

Product Specific Notices for GTF2A2 Antibody - BSA Free

This product is for research use only and is not approved for use in humans or in clinical diagnosis. Primary Antibodies are guaranteed for 1 year from date of receipt.

Loading...
Loading...
Loading...
Loading...