Skip to main content

GSTO1 Antibody - BSA Free

Novus Biologicals, part of Bio-Techne | Catalog # NBP2-32691

Novus Biologicals, part of Bio-Techne
Catalog #
Availability
Size / Price
Qty
Loading...
NBP2-32691-25ul
NBP2-32691

Key Product Details

Validated by

Orthogonal Validation, Independent Antibodies, Biological Validation

Species Reactivity

Validated:

Human

Cited:

Human, Mouse

Applications

Validated:

Immunohistochemistry, Immunohistochemistry-Paraffin, Western Blot

Cited:

Immunohistochemistry-Frozen, Western Blot, Immunoprecipitation

Label

Unconjugated

Antibody Source

Polyclonal Rabbit IgG

Format

BSA Free

Concentration

Concentrations vary lot to lot. See vial label for concentration. If unlisted please contact technical services.

Product Specifications

Immunogen

This antibody was developed against a recombinant protein corresponding to amino acids: WFERLEAMKLNECVDHTPKLKLWMAAMKEDPTVSALLTSEKDWQGFLELYLQNSPEACDYGL

Clonality

Polyclonal

Host

Rabbit

Isotype

IgG

Description

Novus Biologicals Rabbit GSTO1 Antibody - BSA Free (NBP2-32691) is a polyclonal antibody validated for use in IHC, WB and IP. Anti-GSTO1 Antibody: Cited in 2 publications. All Novus Biologicals antibodies are covered by our 100% guarantee.

Scientific Data Images for GSTO1 Antibody - BSA Free

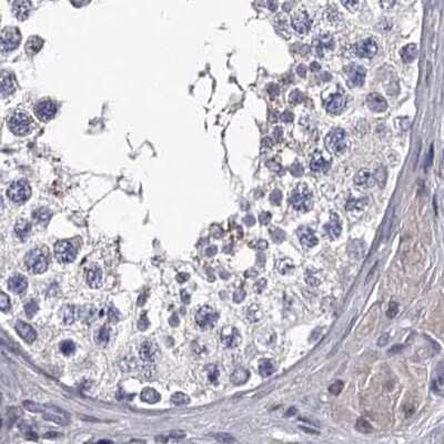
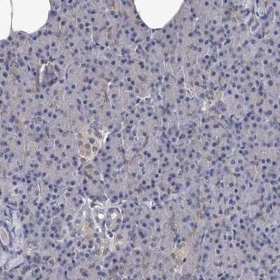
Immunohistochemistry-Paraffin: GSTO1 Antibody [NBP2-32691]

Immunohistochemistry-Paraffin: GSTO1 Antibody [NBP2-32691]

Immunohistochemistry-Paraffin: GSTO1 Antibody [NBP2-32691] - Analysis in human liver and pancreas tissues using NBP2-32691 antibody. Corresponding GSTO1 RNA-seq data are presented for the same tissues.
Immunohistochemistry-Paraffin: GSTO1 Antibody [NBP2-32691]

Immunohistochemistry-Paraffin: GSTO1 Antibody [NBP2-32691]

Immunohistochemistry-Paraffin: GSTO1 Antibody [NBP2-32691] - Staining of human kidney, liver, pancreas and testis using Anti-GSTO1 antibody NBP2-32691 (A) shows similar protein distribution across tissues to independent antibody NBP1-83321 (B).
Western Blot: GSTO1 Antibody [NBP2-32691]

Western Blot: GSTO1 Antibody [NBP2-32691]

Western Blot: GSTO1 Antibody [NBP2-32691] - Human breast cancer cell line MCF7 was treated with carboplatin for 72 hours and expression of GSTO1 was detected by Western blot. Image from verified customer review.

Applications for GSTO1 Antibody - BSA Free

Application
Recommended Usage

Immunohistochemistry

1:500 - 1:1000

Immunohistochemistry-Paraffin

1:500 - 1:1000

Western Blot

0.04 - 0.4 ug/ml
Application Notes
For IHC-Paraffin, HIER pH 6 retrieval is recommended. GSTO1 antibody validated for WB from a verified customer review.

Reviewed Applications

Read 1 review rated 4 using NBP2-32691 in the following applications:

Formulation, Preparation, and Storage

Purification

Affinity purified

Formulation

PBS (pH 7.2) and 40% Glycerol

Format

BSA Free

Preservative

0.02% Sodium Azide

Concentration

Concentrations vary lot to lot. See vial label for concentration. If unlisted please contact technical services.

Shipping

The product is shipped with polar packs. Upon receipt, store it immediately at the temperature recommended below.

Stability & Storage

Store at 4C short term. Aliquot and store at -20C long term. Avoid freeze-thaw cycles.

Background: GSTO1

GSTO1 encodes a member of the theta class glutathione S-transferase-like (GSTTL) protein family. In mouse, the encoded protein acts as a small stress response protein, likely involved in cellular redox homeostasis.

Alternate Names

DKFZp686H13163, EC 2.5.1.18, glutathione S-transferase omega 1, glutathione S-transferase omega 1-1, glutathione S-transferase omega-1, glutathione-S-transferase like, GSTO-1, GSTTLp28, P28

Gene Symbol

GSTO1

Additional GSTO1 Products

Product Documents for GSTO1 Antibody - BSA Free

Certificate of Analysis

To download a Certificate of Analysis, please enter a lot number in the search box below.

Product Specific Notices for GSTO1 Antibody - BSA Free

This product is for research use only and is not approved for use in humans or in clinical diagnosis. Primary Antibodies are guaranteed for 1 year from date of receipt.

Loading...
Loading...
Loading...
Loading...