Skip to main content

GSTO1 Antibody - BSA Free

Novus Biologicals, part of Bio-Techne | Catalog # NBP1-83321

Novus Biologicals, part of Bio-Techne
Catalog #
Availability
Size / Price
Qty
Loading...
NBP1-83321
NBP1-83321-25ul

Key Product Details

Validated by

Independent Antibodies

Species Reactivity

Human

Applications

Immunohistochemistry, Immunohistochemistry-Paraffin, Western Blot

Label

Unconjugated

Antibody Source

Polyclonal Rabbit IgG

Format

BSA Free

Concentration

Concentrations vary lot to lot. See vial label for concentration. If unlisted please contact technical services.

Product Specifications

Immunogen

This antibody was developed against Recombinant Protein corresponding to amino acids: AYPGKKLLPDDPYEKACQKMILELFSKVPSLVGSFIRSQNKEDYAGLKEEFRKEFTKLEEVLTNKKTTFFGGNSIS

Clonality

Polyclonal

Host

Rabbit

Isotype

IgG

Description

Novus Biologicals Rabbit GSTO1 Antibody - BSA Free (NBP1-83321) is a polyclonal antibody validated for use in IHC and WB. All Novus Biologicals antibodies are covered by our 100% guarantee.

Scientific Data Images for GSTO1 Antibody - BSA Free

Immunohistochemistry-Paraffin: GSTO1 Antibody [NBP1-83321]

Immunohistochemistry-Paraffin: GSTO1 Antibody [NBP1-83321]

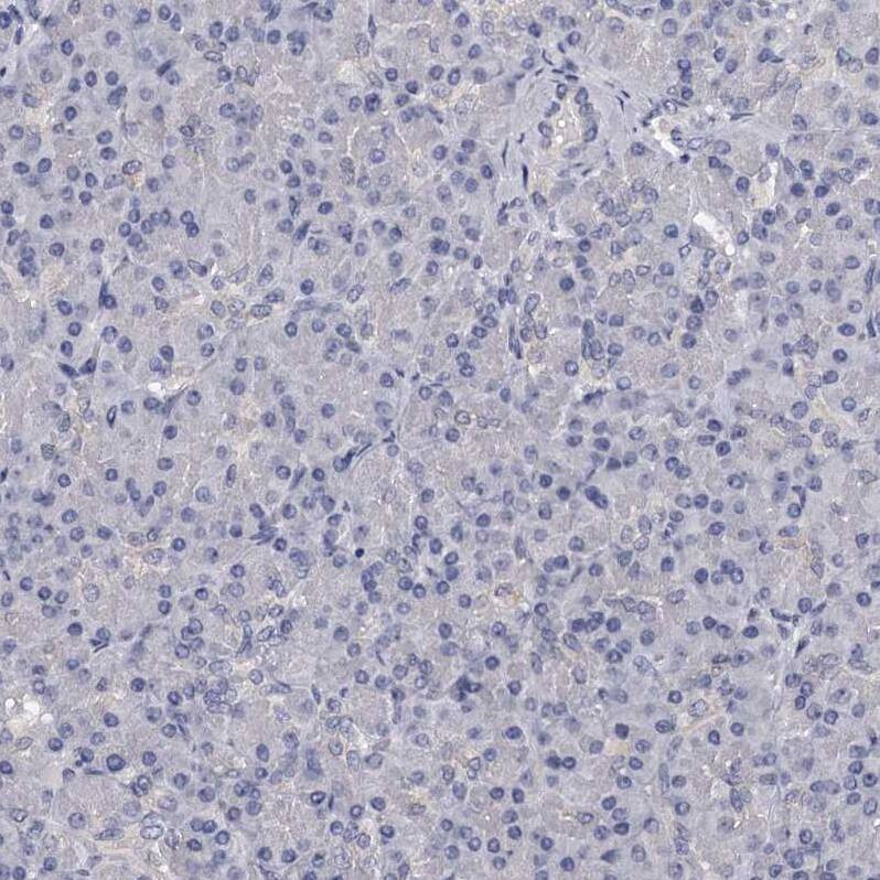
Immunohistochemistry-Paraffin: GSTO1 Antibody [NBP1-83321] - Analysis in human liver and pancreas tissues using NBP1-83321 antibody. Corresponding GSTO1 RNA-seq data are presented for the same tissues.
GSTO1 Antibody Immunohistochemistry-Paraffin: GSTO1 Antibody Antibody [NBP1-83321]

Immunohistochemistry-Paraffin: GSTO1 Antibody Antibody [NBP1-83321]

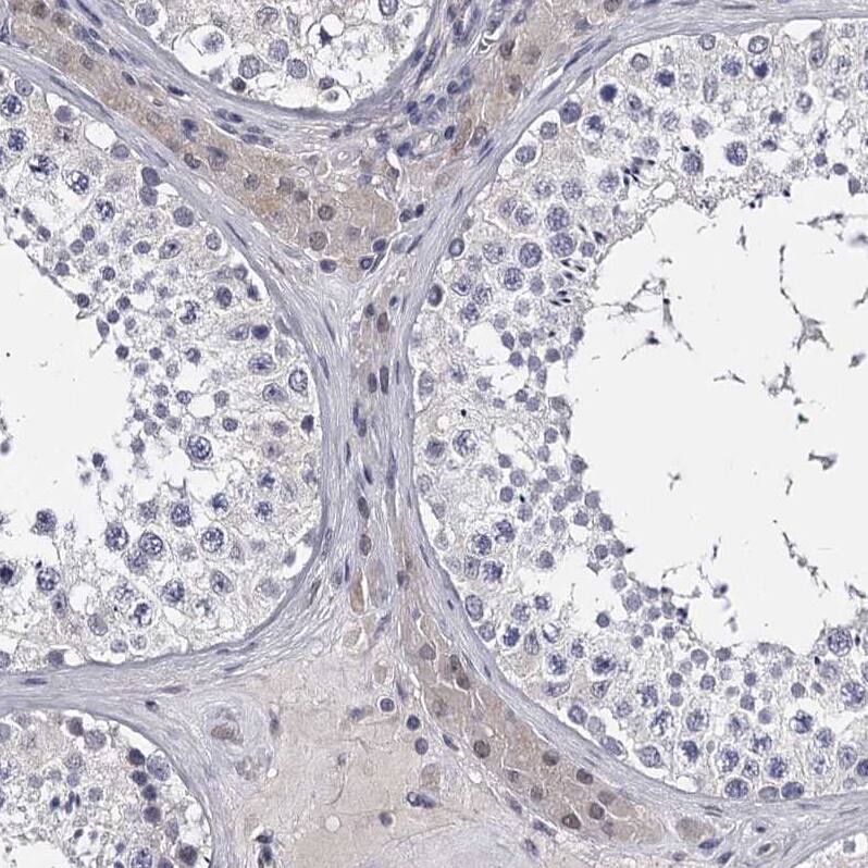
Staining of human kidney, liver, pancreas and testis using NBP1-83321 (A) shows similar protein distribution across tissues to independent antibody NBP2-32691 (B).
GSTO1 Antibody - BSA Free Immunohistochemistry-Paraffin: GSTO1 Antibody - BSA Free [NBP1-83321]

Immunohistochemistry-Paraffin: GSTO1 Antibody - BSA Free [NBP1-83321]

Staining of human testis shows weak cytoplasmic positivity in Leydig cells as expected.

Applications for GSTO1 Antibody - BSA Free

Application
Recommended Usage

Immunohistochemistry

1:500 - 1:1000

Immunohistochemistry-Paraffin

1:500 - 1:1000

Western Blot

0.04 - 0.4 ug/ml
Application Notes
For IHC-Paraffin, HIER pH 6 retrieval is recommended.

Formulation, Preparation, and Storage

Purification

Affinity purified

Formulation

PBS (pH 7.2) and 40% Glycerol

Format

BSA Free

Preservative

0.02% Sodium Azide

Concentration

Concentrations vary lot to lot. See vial label for concentration. If unlisted please contact technical services.

Shipping

The product is shipped with polar packs. Upon receipt, store it immediately at the temperature recommended below.

Stability & Storage

Store at 4C short term. Aliquot and store at -20C long term. Avoid freeze-thaw cycles.

Background: GSTO1

GSTO1 encodes a member of the theta class glutathione S-transferase-like (GSTTL) protein family. In mouse, the encoded protein acts as a small stress response protein, likely involved in cellular redox homeostasis.

Alternate Names

DKFZp686H13163, EC 2.5.1.18, glutathione S-transferase omega 1, glutathione S-transferase omega 1-1, glutathione S-transferase omega-1, glutathione-S-transferase like, GSTO-1, GSTTLp28, P28

Gene Symbol

GSTO1

Additional GSTO1 Products

Product Documents for GSTO1 Antibody - BSA Free

Certificate of Analysis

To download a Certificate of Analysis, please enter a lot number in the search box below.

Product Specific Notices for GSTO1 Antibody - BSA Free

This product is for research use only and is not approved for use in humans or in clinical diagnosis. Primary Antibodies are guaranteed for 1 year from date of receipt.

Loading...
Loading...
Loading...
Loading...