Skip to main content

GSTO1 Antibody - BSA Free

Novus Biologicals, part of Bio-Techne | Catalog # NBP1-33763

Novus Biologicals, part of Bio-Techne
Catalog #
Availability
Size / Price
Qty
Loading...
NBP1-33763

Key Product Details

Validated by

Knockout/Knockdown

Species Reactivity

Validated:

Human, Mouse

Predicted:

Chimpanzee (99%), Rhesus Macaque (97%). Backed by our 100% Guarantee.

Applications

Knockout Validated, Immunohistochemistry, Immunohistochemistry-Paraffin, Western Blot

Label

Unconjugated

Antibody Source

Polyclonal Rabbit IgG

Format

BSA Free

Concentration

Concentrations vary lot to lot. See vial label for concentration. If unlisted please contact technical services.

Product Specifications

Immunogen

Recombinant protein encompassing a sequence within the center region of human GSTO1. The exact sequence is proprietary.

Reactivity Notes

Bovine (80%).

Localization

Cytoplasm

Clonality

Polyclonal

Host

Rabbit

Isotype

IgG

Theoretical MW

28 kDa.
Disclaimer note: The observed molecular weight of the protein may vary from the listed predicted molecular weight due to post translational modifications, post translation cleavages, relative charges, and other experimental factors.

Scientific Data Images for GSTO1 Antibody - BSA Free

Western Blot: GSTO1 Antibody [NBP1-33763]

Western Blot: GSTO1 Antibody [NBP1-33763]

Western Blot: GSTO1 Antibody [NBP1-33763] - Mouse tissue extract (50 ug) was separated by 12% SDS-PAGE, and the membrane was blotted with GSTO1 antibody [N1C3] diluted at 1:1000. The HRP-conjugated anti-rabbit IgG antibody (NBP2-19301) was used to detect the primary antibody.
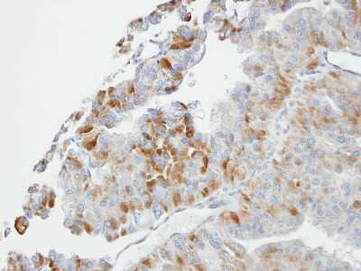
Immunohistochemistry-Paraffin: GSTO1 Antibody [NBP1-33763]

Immunohistochemistry-Paraffin: GSTO1 Antibody [NBP1-33763]

Immunohistochemistry-Paraffin: GSTO1 Antibody [NBP1-33763] - Paraffin-embedded GSTA2 xenograft, using antibody at 1:100 dilution.
Western Blot: GSTO1 Antibody [NBP1-33763]

Western Blot: GSTO1 Antibody [NBP1-33763]

Western Blot: GSTO1 Antibody [NBP1-33763] - Sample (30 ug of whole cell lysate) A: Hep G2 12% SDS PAGE; antibody diluted at 1:1000.

Applications for GSTO1 Antibody - BSA Free

Application
Recommended Usage

Immunohistochemistry

1:100-1:1000

Immunohistochemistry-Paraffin

1:100-1:1000

Western Blot

1:500-1:3000

Formulation, Preparation, and Storage

Purification

Antigen Affinity-purified

Formulation

0.1M Tris, 0.1M Glycine, 10% Glycerol

Format

BSA Free

Preservative

0.01% Thimerosal

Concentration

Concentrations vary lot to lot. See vial label for concentration. If unlisted please contact technical services.

Shipping

The product is shipped with polar packs. Upon receipt, store it immediately at the temperature recommended below.

Stability & Storage

Aliquot and store at -20C or -80C. Avoid freeze-thaw cycles.

Background: GSTO1

This gene encodes a member of the theta class glutathione S-transferase-like (GSTTL) protein family. In mouse, the encoded protein acts as a small stress response protein, likely involved in cellular redox homeostasis.

Alternate Names

DKFZp686H13163, EC 2.5.1.18, glutathione S-transferase omega 1, glutathione S-transferase omega 1-1, glutathione S-transferase omega-1, glutathione-S-transferase like, GSTO-1, GSTTLp28, P28

Gene Symbol

GSTO1

Additional GSTO1 Products

Product Documents for GSTO1 Antibody - BSA Free

Certificate of Analysis

To download a Certificate of Analysis, please enter a lot number in the search box below.

Product Specific Notices for GSTO1 Antibody - BSA Free

This product is for research use only and is not approved for use in humans or in clinical diagnosis. Primary Antibodies are guaranteed for 1 year from date of receipt.

Loading...
Loading...
Loading...
Loading...

⚠ WARNING: This product can expose you to chemicals including mercury, which is known to the State of California to cause reproductive toxicity with developmental effects.  For more information go to www.P65Warnings.ca.gov.