GSPT1 Antibody - Azide and BSA Free
Novus Biologicals, part of Bio-Techne | Catalog # NBP2-16754
Key Product Details
Species Reactivity
Human, Mouse, Rat
Applications
Immunohistochemistry, Immunohistochemistry-Paraffin, Western Blot, Immunocytochemistry/ Immunofluorescence
Label
Unconjugated
Antibody Source
Polyclonal Rabbit IgG
Format
Azide and BSA Free
Concentration
Concentrations vary lot to lot. See vial label for concentration. If unlisted please contact technical services.
Product Specifications
Immunogen
Recombinant protein encompassing a sequence within the center region of human GSPT1. The exact sequence is proprietary.
Clonality
Polyclonal
Host
Rabbit
Isotype
IgG
Theoretical MW
56 kDa.
Disclaimer note: The observed molecular weight of the protein may vary from the listed predicted molecular weight due to post translational modifications, post translation cleavages, relative charges, and other experimental factors.
Disclaimer note: The observed molecular weight of the protein may vary from the listed predicted molecular weight due to post translational modifications, post translation cleavages, relative charges, and other experimental factors.
Description
Novus Biologicals Rabbit GSPT1 Antibody (NBP2-16754) is a polyclonal antibody validated for use in IHC, WB and ICC/IF. Anti-GSPT1 Antibody: Cited in 1 publication. All Novus Biologicals antibodies are covered by our 100% guarantee.
Scientific Data Images for GSPT1 Antibody - Azide and BSA Free
Immunohistochemistry-Paraffin: GSPT1 Antibody [NBP2-16754]
Immunohistochemistry-Paraffin: GSPT1 Antibody [NBP2-16754] - Human breast cancer, using GSPT1 antibody at 1:500 dilution. Antigen Retrieval: Trilogy™ (EDTA based, pH 8.0) buffer, 15minWestern Blot: GSPT1 Antibody [NBP2-16754] -
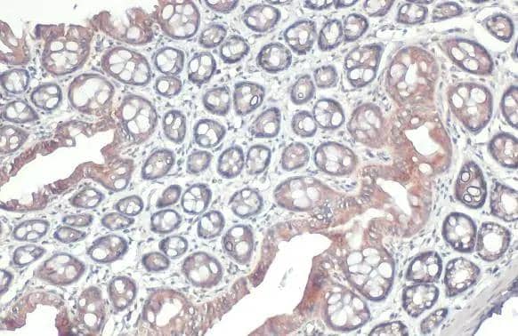
Various whole cell extracts (30 ug) were separated by 7.5% SDS-PAGE, and the membrane was blotted with GSPT1 antibody (NBP2-16754) diluted at 1:1000. The HRP-conjugated anti-rabbit IgG antibody was used to detect the primary antibody.Immunohistochemistry-Paraffin: GSPT1 Antibody [NBP2-16754] -
GSPT1 antibody detects GSPT1 protein at cytoplasm by immunohistochemical analysis.Sample: Paraffin-embedded rat colon.
GSPT1 stained by GSPT1 antibody (NBP2-16754) diluted at 1:500.
Antigen Retrieval: Citrate buffer, pH 6.0, 15 min
Applications for GSPT1 Antibody - Azide and BSA Free
Application
Recommended Usage
Immunocytochemistry/ Immunofluorescence
1:100-1:1000
Immunohistochemistry
1:100-1:1000
Immunohistochemistry-Paraffin
1:100-1:1000
Western Blot
1:500-1:3000
Formulation, Preparation, and Storage
Purification
Antigen Affinity-purified
Formulation
PBS, 20% Glycerol
Format
Azide and BSA Free
Preservative
0.025% Proclin 300
Concentration
Concentrations vary lot to lot. See vial label for concentration. If unlisted please contact technical services.
Shipping
The product is shipped with polar packs. Upon receipt, store it immediately at the temperature recommended below.
Stability & Storage
Aliquot and store at -20C or -80C. Avoid freeze-thaw cycles.
Background: GSPT1
Alternate Names
ERF3A, eRF3aFLJ38048, ETF3A, eukaryotic peptide chain release factor GTP-binding subunit ERF3A, Eukaryotic peptide chain release factor subunit 3a, FLJ39067, G1 to S phase transition 1,551G9.2, G1 to S phase transition protein 1 homolog, GST1
Gene Symbol
GSPT1
Additional GSPT1 Products
Product Documents for GSPT1 Antibody - Azide and BSA Free
Product Specific Notices for GSPT1 Antibody - Azide and BSA Free
This product is for research use only and is not approved for use in humans or in clinical diagnosis. Primary Antibodies are guaranteed for 1 year from date of receipt.
Loading...
Loading...
Loading...
Loading...