Skip to main content

GSPT1 Antibody (HL1346) - Azide and BSA Free

Novus Biologicals, part of Bio-Techne | Catalog # NBP3-25493

Recombinant Monoclonal Antibody
Novus Biologicals, part of Bio-Techne
Catalog #
Availability
Size / Price
Qty
Loading...
NBP3-25493

Key Product Details

Species Reactivity

Validated:

Human, Mouse, Rat, Canine, Feline

Predicted:

Bovine (98%), Xenopus (91%). Backed by our 100% Guarantee.

Applications

Immunohistochemistry, Immunohistochemistry-Paraffin, Western Blot, Immunocytochemistry/ Immunofluorescence

Label

Unconjugated

Antibody Source

Recombinant Monoclonal Rabbit IgG Clone # HL1346 expressed in HEK293

Format

Azide and BSA Free

Concentration

Concentrations vary lot to lot. See vial label for concentration. If unlisted please contact technical services.

Product Specifications

Immunogen

Recombinant protein encompassing a sequence within the center region of human GSPT1. The exact sequence is proprietary.

Reactivity Notes

Immunogen displays the following percentage of sequence identity for non-tested species: Zebrafish (85%).

Clonality

Monoclonal

Host

Rabbit

Isotype

IgG

Theoretical MW

56 kDa.
Disclaimer note: The observed molecular weight of the protein may vary from the listed predicted molecular weight due to post translational modifications, post translation cleavages, relative charges, and other experimental factors.

Description

Novus Biologicals Rabbit GSPT1 Antibody (HL1346) - Azide and BSA Free (NBP3-25493) is a recombinant monoclonal antibody validated for use in IHC, WB and ICC/IF. All Novus Biologicals antibodies are covered by our 100% guarantee.

Scientific Data Images for GSPT1 Antibody (HL1346) - Azide and BSA Free

GSPT1 Antibody (HL1346) - Azide and BSA Free

Immunohistochemistry-Paraffin: GSPT1 Antibody (HL1346) - Azide and BSA Free [NBP3-25493] -

Immunohistochemistry-Paraffin: GSPT1 Antibody (HL1346) - Azide and BSA Free [NBP3-25493] - GSPT1 antibody [HL1346] detects GSPT1 protein at cytoplasm by immunohistochemical analysis. Sample: Paraffin-embedded human breast carcinoma. GSPT1 stained by GSPT1 antibody [HL1346] (NBP3-25493) diluted at 1:100. Antigen Retrieval: Citrate buffer, pH 6.0, 15 min
GSPT1 Antibody (HL1346) - Azide and BSA Free

Immunohistochemistry-Paraffin: GSPT1 Antibody (HL1346) - Azide and BSA Free [NBP3-25493] -

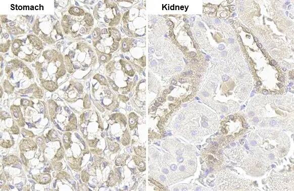
Immunohistochemistry-Paraffin: GSPT1 Antibody (HL1346) - Azide and BSA Free [NBP3-25493] - GSPT1 antibody [HL1346] detects GSPT1 protein by immunohistochemical analysis. Sample: Paraffin-embedded rat tissues. GSPT1 stained by GSPT1 antibody [HL1346] (NBP3-25493) diluted at 1:100. Antigen Retrieval: Citrate buffer, pH 6.0, 15 min
GSPT1 Antibody (HL1346) - Azide and BSA Free

Immunohistochemistry-Paraffin: GSPT1 Antibody (HL1346) - Azide and BSA Free [NBP3-25493] -

Immunohistochemistry-Paraffin: GSPT1 Antibody (HL1346) - Azide and BSA Free [NBP3-25493] - GSPT1 antibody [HL1346] detects GSPT1 protein at cytoplasm by immunohistochemical analysis. Sample: Paraffin-embedded mouse esophagus. GSPT1 stained by GSPT1 antibody [HL1346] (NBP3-25493) diluted at 1:100. Antigen Retrieval: Citrate buffer, pH 6.0, 15 min

Applications for GSPT1 Antibody (HL1346) - Azide and BSA Free

Application
Recommended Usage

Immunocytochemistry/ Immunofluorescence

Assay dependent

Immunohistochemistry

Assay dependent

Immunohistochemistry-Paraffin

Assay dependent

Western Blot

1:5000-1:20000

Formulation, Preparation, and Storage

Purification

Protein A purified

Formulation

PBS

Format

Azide and BSA Free

Preservative

No Preservative

Concentration

Concentrations vary lot to lot. See vial label for concentration. If unlisted please contact technical services.

Shipping

The product is shipped with polar packs. Upon receipt, store it immediately at the temperature recommended below.

Stability & Storage

Store at 4C short term. Aliquot and store at -20C long term. Avoid freeze-thaw cycles.

Background: GSPT1

GSPT1 is involved in translation termination in response to the termination codons UAA, UAG and UGA. Stimulates theactivity of ERF1. Involved in regulation of mammalian cell growth

Alternate Names

ERF3A, eRF3aFLJ38048, ETF3A, eukaryotic peptide chain release factor GTP-binding subunit ERF3A, Eukaryotic peptide chain release factor subunit 3a, FLJ39067, G1 to S phase transition 1,551G9.2, G1 to S phase transition protein 1 homolog, GST1

Gene Symbol

GSPT1

Additional GSPT1 Products

Product Documents for GSPT1 Antibody (HL1346) - Azide and BSA Free

Certificate of Analysis

To download a Certificate of Analysis, please enter a lot number in the search box below.

Product Specific Notices for GSPT1 Antibody (HL1346) - Azide and BSA Free

This product is for research use only and is not approved for use in humans or in clinical diagnosis. Primary Antibodies are guaranteed for 1 year from date of receipt.

Loading...
Loading...
Loading...
Loading...