Skip to main content

Growth Hormone R Antibody (10C11) - BSA Free

Novus Biologicals, part of Bio-Techne | Catalog # NBP3-26554

Recombinant monoclonal antibody expressed in HEK293F cells
Novus Biologicals, part of Bio-Techne
Catalog #
Availability
Size / Price
Qty
Loading...
NBP3-26554-100ul
NBP3-26554-50ul

Key Product Details

Species Reactivity

Human

Applications

ELISA, Immunocytochemistry/ Immunofluorescence, Immunohistochemistry

Label

Unconjugated

Antibody Source

Recombinant Monoclonal Rabbit IgG Clone # 10C11 expressed in HEK293

Format

BSA Free

Concentration

Please see the vial label for concentration. If unlisted please contact technical services.

Product Specifications

Immunogen

A synthesized peptide derived from Human Growth Hormone R [UniProt P10912]

Clonality

Monoclonal

Host

Rabbit

Isotype

IgG

Description

Novus Biologicals Rabbit Growth Hormone R Antibody (10C11) - BSA Free (NBP3-26554) is a recombinant monoclonal antibody validated for use in IHC, ELISA and ICC/IF. All Novus Biologicals antibodies are covered by our 100% guarantee.

Scientific Data Images for Growth Hormone R Antibody (10C11) - BSA Free

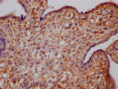
Growth Hormone R Antibody (10C11)

Immunohistochemistry: Growth Hormone R Antibody (10C11) [NBP3-26554] -

Immunohistochemistry: Growth Hormone R Antibody (10C11) [NBP3-26554] - Image of Growth Hormone R Antibody (10C11) diluted at 1:100 and staining in paraffin-embedded human liver tissue performed. After dewaxing and hydration, antigen retrieval was mediated by high pressure in a citrate buffer (pH 6.0). Section was blocked with 10% normal goat serum 30min at RT. Then primary antibody (1% BSA) was incubated at 4C overnight. The primary is detected by a Goat anti-rabbit IgG polymer labeled by HRP and visualized using 0.05% DAB.
Growth Hormone R Antibody (10C11)

Immunohistochemistry: Growth Hormone R Antibody (10C11) [NBP3-26554] -

Immunohistochemistry: Growth Hormone R Antibody (10C11) [NBP3-26554] - Image of Growth Hormone R Antibody (10C11) diluted at 1:100 and staining in paraffin-embedded human liver tissue performed. After dewaxing and hydration, antigen retrieval was mediated by high pressure in a citrate buffer (pH 6.0). Section was blocked with 10% normal goat serum 30min at RT. Then primary antibody (1% BSA) was incubated at 4C overnight. The primary is detected by a Goat anti-rabbit IgG polymer labeled by HRP and visualized using 0.05% DAB.
Growth Hormone R Antibody (10C11)

Immunocytochemistry/Immunofluorescence: Growth Hormone R Antibody (10C11) [NBP3-26554] -

Immunocytochemistry/Immunofluorescence: Growth Hormone R Antibody (10C11) [NBP3-26554] - Staining of HepG2 Cells with Growth Hormone R Antibody (10C11) at 1:50, counter-stained with DAPI. The cells were fixed in 4% formaldehyde and blocked in 10% normal Goat Serum. The cells were then incubated with the antibody overnight at 4C. Nuclear DNA was labeled in blue with DAPI. The secondary antibody was FITC-conjugated Goat Anti-Rabbit IgG (H+L).

Applications for Growth Hormone R Antibody (10C11) - BSA Free

Application
Recommended Usage

Immunocytochemistry/ Immunofluorescence

1:20-1:200

Immunohistochemistry

1:50-1:200

Formulation, Preparation, and Storage

Purification

Affinity purified

Formulation

PBS, pH 7.4, 150mM NaCl, and 50% glycerol

Format

BSA Free

Preservative

0.02% Sodium Azide

Concentration

Please see the vial label for concentration. If unlisted please contact technical services.

Shipping

The product is shipped with polar packs. Upon receipt, store it immediately at the temperature recommended below.

Stability & Storage

Store at -20 to -70C. Avoid freeze-thaw cycles.

Background: Growth Hormone R/GHR

Growth hormone receptor encodes a protein that is a transmembrane receptor for growth hormone. Binding of growth hormone to the receptor leads to receptor dimerization and the activation of an intra- and intercellular signal transduction pathway leading to growth. A common alternate allele of this gene, called GHRd3, lacks exon three and has been well-characterized. Mutations in this gene have been associated with Laron syndrome, also known as the growth hormone insensitivity syndrome (GHIS), a disorder characterized by short stature. Other splice variants, including one encoding a soluble form of the protein (GHRtr), have been observed but have not been thoroughly characterized.

Long Name

Growth Hormone Receptor

Alternate Names

GHR

Gene Symbol

GHR

Additional Growth Hormone R/GHR Products

Product Documents for Growth Hormone R Antibody (10C11) - BSA Free

Certificate of Analysis

To download a Certificate of Analysis, please enter a lot number in the search box below.

Product Specific Notices for Growth Hormone R Antibody (10C11) - BSA Free

This product is for research use only and is not approved for use in humans or in clinical diagnosis. Primary Antibodies are guaranteed for 1 year from date of receipt.

Loading...
Loading...
Loading...
Loading...