Skip to main content

Growth Hormone R Antibody (008) - Azide and BSA Free

Novus Biologicals, part of Bio-Techne | Catalog # NBP2-90374

Recombinant Monoclonal Antibody
Novus Biologicals, part of Bio-Techne
Catalog #
Availability
Size / Price
Qty
Loading...
NBP2-90374-100ul
NBP2-90374-50ul
Conjugate
Catalog #

Key Product Details

Species Reactivity

Mouse

Applications

Immunohistochemistry, Immunohistochemistry-Paraffin

Label

Unconjugated

Antibody Source

Recombinant Monoclonal Rabbit IgG Clone # 008 expressed in HEK293

Format

Azide and BSA Free

Concentration

Please see the vial label for concentration. If unlisted please contact technical services.

Product Specifications

Immunogen

This antibody was obtained from a rabbit immunized with purified, recombinant Mouse Growth Hormone R (Accession#: NP_034414.2; Met1-Gln273).

Clonality

Monoclonal

Host

Rabbit

Isotype

IgG

Description

This antibody can be stored at 2C-8C for one month without detectable loss of activity. Antibody products are stable for twelve months from date of receipt when stored at -20C to -80C. Avoid repeated freeze-thaw cycles.

Scientific Data Images for Growth Hormone R Antibody (008) - Azide and BSA Free

Immunohistochemistry-Paraffin: Growth Hormone R Antibody (008) [NBP2-90374]

Immunohistochemistry-Paraffin: Growth Hormone R Antibody (008) [NBP2-90374]

Immunohistochemistry-Paraffin: Growth Hormone R Antibody (008) [NBP2-90374] - Staining of mouse GHR in mouse kidney with rabbit monoclonal antibody (1:100).
Immunohistochemistry-Paraffin: Growth Hormone R Antibody (008) [NBP2-90374]

Immunohistochemistry-Paraffin: Growth Hormone R Antibody (008) [NBP2-90374]

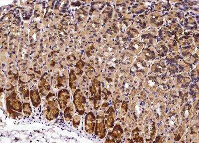
Immunohistochemistry-Paraffin: Growth Hormone R Antibody (008) [NBP2-90374] - Staining of mouse GHR in mouse stomach with rabbit monoclonal antibody (1:100).

Applications for Growth Hormone R Antibody (008) - Azide and BSA Free

Application
Recommended Usage

Immunohistochemistry-Paraffin

1:50-1:200

Formulation, Preparation, and Storage

Purification

Protein A purified

Formulation

0.2 um filtered solution in PBS

Format

Azide and BSA Free

Preservative

No Preservative

Concentration

Please see the vial label for concentration. If unlisted please contact technical services.

Shipping

The product is shipped with polar packs. Upon receipt, store it immediately at the temperature recommended below.

Stability & Storage

Store at 4C short term. Aliquot and store at -20C long term. Avoid freeze-thaw cycles.

Background: Growth Hormone R/GHR

Growth hormone receptor encodes a protein that is a transmembrane receptor for growth hormone. Binding of growth hormone to the receptor leads to receptor dimerization and the activation of an intra- and intercellular signal transduction pathway leading to growth. A common alternate allele of this gene, called GHRd3, lacks exon three and has been well-characterized. Mutations in this gene have been associated with Laron syndrome, also known as the growth hormone insensitivity syndrome (GHIS), a disorder characterized by short stature. Other splice variants, including one encoding a soluble form of the protein (GHRtr), have been observed but have not been thoroughly characterized.

Long Name

Growth Hormone Receptor

Alternate Names

GHR

Gene Symbol

GHR

Additional Growth Hormone R/GHR Products

Product Documents for Growth Hormone R Antibody (008) - Azide and BSA Free

Certificate of Analysis

To download a Certificate of Analysis, please enter a lot number in the search box below.

Product Specific Notices for Growth Hormone R Antibody (008) - Azide and BSA Free

This product is for research use only and is not approved for use in humans or in clinical diagnosis. Primary Antibodies are guaranteed for 1 year from date of receipt.

Loading...
Loading...
Loading...
Loading...