Skip to main content

GRK3 Antibody - BSA Free

Novus Biologicals, part of Bio-Techne | Catalog # NBP1-90008

Catalog #
Availability
Size / Price
Qty
Loading...
NBP1-90008
NBP1-90008-25ul

Key Product Details

Species Reactivity

Validated:

Human

Predicted:

Mouse (90%). Backed by our 100% Guarantee.

Applications

Immunohistochemistry, Immunohistochemistry-Paraffin, Western Blot, Immunocytochemistry/ Immunofluorescence

Label

Unconjugated

Antibody Source

Polyclonal Rabbit IgG

Format

BSA Free

Concentration

Concentrations vary lot to lot. See vial label for concentration. If unlisted please contact technical services.

Product Specifications

Immunogen

This antibody was developed against Recombinant Protein corresponding to amino acids: YEAVNADTDKIEARKRAKNKQLGHEEDYALGKDCIMHGYMLKLGNPFLTQWQRRYFYLFPNRLEWRGEGESRQNLLTMEQILSVEETQIKDKKCILFRIKGGKQFVLQCESDPEFVQWKKELNETFKEAQRLLRRAPKFLNKPRS

Reactivity Notes

Rat (89%).

Clonality

Polyclonal

Host

Rabbit

Isotype

IgG

Scientific Data Images for GRK3 Antibody - BSA Free

Immunocytochemistry/ Immunofluorescence: GRK3 Antibody [NBP1-90008]

Immunocytochemistry/ Immunofluorescence: GRK3 Antibody [NBP1-90008]

Immunocytochemistry/Immunofluorescence: GRK3 Antibody [NBP1-90008] - Immunofluorescent staining of human cell line U-251 MG shows localization to nucleus.
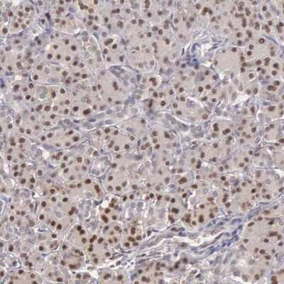
Immunohistochemistry-Paraffin: GRK3 Antibody [NBP1-90008]

Immunohistochemistry-Paraffin: GRK3 Antibody [NBP1-90008]

Immunohistochemistry-Paraffin: GRK3 Antibody [NBP1-90008] - Staining of human pancreas shows strong nuclear positivity in exocrine glandular cells.
GRK3 Antibody - BSA Free Western Blot: GRK3 Antibody - BSA Free [NBP1-90008]

Western Blot: GRK3 Antibody - BSA Free [NBP1-90008]

Lane 1: Marker [kDa] 207, 110, 79, 49, 32, 25, 17
Lane 2: Human cell line RT-4

Applications for GRK3 Antibody - BSA Free

Application
Recommended Usage

Immunocytochemistry/ Immunofluorescence

0.25-2 ug/ml

Immunohistochemistry

1:200 - 1:500

Immunohistochemistry-Paraffin

1:200 - 1:500

Western Blot

0.04-0.4 ug/ml
Application Notes
For IHC-Paraffin, HIER pH 6 retrieval is recommended. ICC/IF,Fixation Permeabilization: Use PFA/Triton X-100.

Formulation, Preparation, and Storage

Purification

Affinity purified

Formulation

PBS (pH 7.2) and 40% Glycerol

Format

BSA Free

Preservative

0.02% Sodium Azide

Concentration

Concentrations vary lot to lot. See vial label for concentration. If unlisted please contact technical services.

Shipping

The product is shipped with polar packs. Upon receipt, store it immediately at the temperature recommended below.

Stability & Storage

Store at 4C short term. Aliquot and store at -20C long term. Avoid freeze-thaw cycles.

Background: GRK3

Heterotrimeric G protein-mediated signal transduction is a dynamically regulated process with the intensity of signal decreasing over time despite the continued presence of the agonist. This phenomenon, referred to as agonistmediated desensitization, involves phosphorylation of the receptor by two classes of enzymes. The first are the second essenger-regulated kinases such as c-AMP dependent protein kinase A and protein kinase C. The second are the G protein-coupled receptor kinases (GRKs). At least seven members of the GRK family have been identified. These include rhodopsin kinase, GRK 1; two forms of beta-adrenergic receptor kinase, GRK 2 (betaARK, betaARK1) and GRK 3 (betaARK2); IT-11 (GRK 4); GRK 5, GRK 6 and GRK 7.

Long Name

G protein-coupled Receptor Kinase 3

Alternate Names

ADRBK2, BARK2, Beta-ARK-2

Gene Symbol

GRK3

Additional GRK3 Products

Product Documents for GRK3 Antibody - BSA Free

Certificate of Analysis

To download a Certificate of Analysis, please enter a lot number in the search box below.

Product Specific Notices for GRK3 Antibody - BSA Free

This product is for research use only and is not approved for use in humans or in clinical diagnosis. Primary Antibodies are guaranteed for 1 year from date of receipt.

Loading...
Loading...
Loading...
Loading...